Skip to main content

SLC9A4 Antibody - BSA Free

Novus Biologicals, part of Bio-Techne | Catalog # NBP2-38280

Novus Biologicals, part of Bio-Techne
Catalog #
Availability
Size / Price
Qty
Loading...
NBP2-38280-25ul
NBP2-38280

Key Product Details

Species Reactivity

Human

Applications

Validated:

Immunohistochemistry, Immunohistochemistry-Paraffin, Immunocytochemistry/ Immunofluorescence

Cited:

IF/IHC

Label

Unconjugated

Antibody Source

Polyclonal Rabbit IgG

Format

BSA Free

Concentration

Concentrations vary lot to lot. See vial label for concentration. If unlisted please contact technical services.

Product Specifications

Immunogen

This antibody was developed against a recombinant protein corresponding to amino acids: KQAIEMVETGILSSTAFSIPHQAQRIQGIKRLSPEDVESIRDILTSNMYQVRQRT

Reactivity Notes

Immunogen displays the following percentage of sequence identity for non-tested species: Mouse (82%), Rat (80%)

Clonality

Polyclonal

Host

Rabbit

Isotype

IgG

Scientific Data Images for SLC9A4 Antibody - BSA Free

Immunocytochemistry/ Immunofluorescence: SLC9A4 Antibody [NBP2-38280]

Immunocytochemistry/ Immunofluorescence: SLC9A4 Antibody [NBP2-38280]

Immunocytochemistry/Immunofluorescence: SLC9A4 Antibody [NBP2-38280] - Staining of human cell line RT4 shows localization to nucleoplasm & plasma membrane. Antibody staining is shown in green.
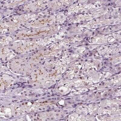
Immunohistochemistry-Paraffin: SLC9A4 Antibody [NBP2-38280]

Immunohistochemistry-Paraffin: SLC9A4 Antibody [NBP2-38280]

Immunohistochemistry-Paraffin: SLC9A4 Antibody [NBP2-38280] - Staining of human stomach shows moderate membranous positivity in glandular cells.

Applications for SLC9A4 Antibody - BSA Free

Application
Recommended Usage

Immunocytochemistry/ Immunofluorescence

0.25-2 ug/ml

Immunohistochemistry

1:2500 - 1:5000

Immunohistochemistry-Paraffin

1:2500 - 1:5000
Application Notes
For IHC-Paraffin, HIER pH 6 retrieval is recommended. ICC/IF Fixation Permeabilization: Use PFA/Triton X-100.

Formulation, Preparation, and Storage

Purification

Affinity purified

Formulation

PBS (pH 7.2) and 40% Glycerol

Format

BSA Free

Preservative

0.02% Sodium Azide

Concentration

Concentrations vary lot to lot. See vial label for concentration. If unlisted please contact technical services.

Shipping

The product is shipped with polar packs. Upon receipt, store it immediately at the temperature recommended below.

Stability & Storage

Store at 4C short term. Aliquot and store at -20C long term. Avoid freeze-thaw cycles.

Background: SLC9A4

SLC9A4 is involved in pH regulation to eliminate acids generated by active metabolism or to counter adverseenvironmental conditions. Major proton extruding system driven by the inward sodium ion chemical gradient. Plays animportant role in signal transduction. May

Long Name

Sodium/hydrogen exchanger 4

Alternate Names

NHE-4, NHE4

Gene Symbol

SLC9A4

UniProt

Additional SLC9A4 Products

Product Documents for SLC9A4 Antibody - BSA Free

Certificate of Analysis

To download a Certificate of Analysis, please enter a lot number in the search box below.

Product Specific Notices for SLC9A4 Antibody - BSA Free

This product is for research use only and is not approved for use in humans or in clinical diagnosis. Primary Antibodies are guaranteed for 1 year from date of receipt.

Loading...
Loading...
Loading...
Loading...