Skip to main content

SLC6A2/NET/Noradrenaline transporter Antibody - BSA Free

Novus Biologicals, part of Bio-Techne | Catalog # NBP2-62704

Catalog #
Availability
Size / Price
Qty
Loading...
NBP2-62704-25ul
NBP2-62704

Key Product Details

Validated by

Orthogonal Validation

Species Reactivity

Validated:

Human

Cited:

Human, Mouse

Applications

Validated:

Immunohistochemistry, Immunohistochemistry-Paraffin

Cited:

Immunohistochemistry-Paraffin, Western Blot

Label

Unconjugated

Antibody Source

Polyclonal Rabbit IgG

Format

BSA Free

Concentration

Concentrations vary lot to lot. See vial label for concentration. If unlisted please contact technical services.

Product Specifications

Immunogen

This antibody was developed against a recombinant protein corresponding to amino acids: MLLARMNPQVQPENNGADTGPEQPLRARKTAELLVVKERNGVQCLLA

Reactivity Notes

Mouse (85%)

Clonality

Polyclonal

Host

Rabbit

Isotype

IgG

Scientific Data Images for SLC6A2/NET/Noradrenaline transporter Antibody - BSA Free

Immunohistochemistry-Paraffin: SLC6A2/NET/Noradrenaline transporter Antibody [NBP2-62704]

Immunohistochemistry-Paraffin: SLC6A2/NET/Noradrenaline transporter Antibody [NBP2-62704]

Immunohistochemistry-Paraffin: SLC6A2/NET/Noradrenaline transporter Antibody [NBP2-62704] - Analysis in human adrenal gland and pancreas tissues using Anti-SLC6A2 antibody. Corresponding SLC6A2 RNA-seq data are presented for the same tissues.
Immunohistochemistry-Paraffin: SLC6A2/NET/Noradrenaline transporter Antibody [NBP2-62704]

Immunohistochemistry-Paraffin: SLC6A2/NET/Noradrenaline transporter Antibody [NBP2-62704]

Immunohistochemistry-Paraffin: SLC6A2/NET/Noradrenaline transporter Antibody [NBP2-62704] - Staining of human adrenal gland shows high expression.
Immunohistochemistry-Paraffin: SLC6A2/NET/Noradrenaline transporter Antibody [NBP2-62704]

Immunohistochemistry-Paraffin: SLC6A2/NET/Noradrenaline transporter Antibody [NBP2-62704]

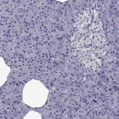
Immunohistochemistry-Paraffin: SLC6A2/NET/Noradrenaline transporter Antibody [NBP2-62704] - Staining of human pancreas shows low expression as expected.

Applications for SLC6A2/NET/Noradrenaline transporter Antibody - BSA Free

Application
Recommended Usage

Immunohistochemistry

1:2500 - 1:5000

Immunohistochemistry-Paraffin

1:2500 - 1:5000
Application Notes
For IHC-Paraffin, HIER pH 6 retrieval is recommended.

Formulation, Preparation, and Storage

Purification

Affinity purified

Formulation

PBS (pH 7.2) and 40% Glycerol

Format

BSA Free

Preservative

0.02% Sodium Azide

Concentration

Concentrations vary lot to lot. See vial label for concentration. If unlisted please contact technical services.

Shipping

The product is shipped with polar packs. Upon receipt, store it immediately at the temperature recommended below.

Stability & Storage

Store at 4C short term. Aliquot and store at -20C long term. Avoid freeze-thaw cycles.

Background: SLC6A2/NET

Norepinephrine Transporter [NET] (or noradrenaline transporter (NAT)) is a monoamine transporter that transports the neurotransmitter noradrenaline from the synapse back to its vesicles for storage until later use. It also appears to transport the neurotransmitter dopamine in the same way, but to a lesser degree. Studies have shown a decrease in NET levels in the locus coeruleus in patients diagnosed with major depression (Klimek et al., 1997). Cocaine, amphetamines and many therapeutic antidepressants, such as the SNRIs (Serotonin-norepinephrine reuptake inhibitors) and the tricyclic antidepressants (TCAs) act to raise noradrenaline. Furthermore, deficits in the NET gene have been associated with ADHD (Kim et al., 2006).

Long Name

Norepinephrine Transporter

Alternate Names

NAT1, Noradrenalin Transporter, Norepinephrine Transporter

Gene Symbol

SLC6A2

Additional SLC6A2/NET Products

Product Documents for SLC6A2/NET/Noradrenaline transporter Antibody - BSA Free

Certificate of Analysis

To download a Certificate of Analysis, please enter a lot number in the search box below.

Product Specific Notices for SLC6A2/NET/Noradrenaline transporter Antibody - BSA Free

This product is for research use only and is not approved for use in humans or in clinical diagnosis. Primary Antibodies are guaranteed for 1 year from date of receipt.

Loading...
Loading...
Loading...
Loading...