Skip to main content

SLC44A4 Antibody - BSA Free

Novus Biologicals, part of Bio-Techne | Catalog # NBP2-33476

Novus Biologicals, part of Bio-Techne
Catalog #
Availability
Size / Price
Qty
Loading...
NBP2-33476
NBP2-33476-25ul

Key Product Details

Species Reactivity

Human

Applications

Immunohistochemistry, Immunohistochemistry-Paraffin

Label

Unconjugated

Antibody Source

Polyclonal Rabbit IgG

Format

BSA Free

Concentration

Concentrations vary lot to lot. See vial label for concentration. If unlisted please contact technical services.

Product Specifications

Immunogen

This antibody was developed against a recombinant protein corresponding to amino acids: RQVLYPRNSTGAYCGMGENKDKPYLLYFNIFSCILSSNIISVAENGLQCPTPQVCVSSCPEDPWTVGKNEFSQTVGEVFYTKNRNFCLPGV

Clonality

Polyclonal

Host

Rabbit

Isotype

IgG

Scientific Data Images for SLC44A4 Antibody - BSA Free

Immunohistochemistry-Paraffin: SLC44A4 Antibody [NBP2-33476]

Immunohistochemistry-Paraffin: SLC44A4 Antibody [NBP2-33476]

Immunohistochemistry-Paraffin: SLC44A4 Antibody [NBP2-33476] - Analysis in human duodenum and skin tissues using NBP2-33476 antibody. Corresponding SLC44A4 RNA-seq data are presented for the same tissues.
Immunohistochemistry-Paraffin: SLC44A4 Antibody [NBP2-33476]

Immunohistochemistry-Paraffin: SLC44A4 Antibody [NBP2-33476]

Immunohistochemistry-Paraffin: SLC44A4 Antibody [NBP2-33476] - Staining of human prostate shows strong membranous positivity in glandular cells.
Immunohistochemistry-Paraffin: SLC44A4 Antibody [NBP2-33476]

Immunohistochemistry-Paraffin: SLC44A4 Antibody [NBP2-33476]

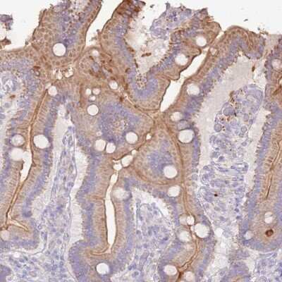
Immunohistochemistry-Paraffin: SLC44A4 Antibody [NBP2-33476] - Staining of human duodenum shows high expression.

Applications for SLC44A4 Antibody - BSA Free

Application
Recommended Usage

Immunohistochemistry

1:20 - 1:50

Immunohistochemistry-Paraffin

1:20 - 1:50
Application Notes
For IHC-Paraffin, HIER pH 6 retrieval is recommended.

Formulation, Preparation, and Storage

Purification

Affinity purified

Formulation

PBS (pH 7.2) and 40% Glycerol

Format

BSA Free

Preservative

0.02% Sodium Azide

Concentration

Concentrations vary lot to lot. See vial label for concentration. If unlisted please contact technical services.

Shipping

The product is shipped with polar packs. Upon receipt, store it immediately at the temperature recommended below.

Stability & Storage

Store at 4C short term. Aliquot and store at -20C long term. Avoid freeze-thaw cycles.

Background: SLC44A4

Alternate Names

C6orf29, Choline Transporter-Like Protein 4, Chromosome 6 Open Reading Frame 29, CTL4, NG22, Solute Carrier Family 44 Member 4, Solute Carrier Family 44, Member 4

Gene Symbol

SLC44A4

UniProt

Additional SLC44A4 Products

Product Documents for SLC44A4 Antibody - BSA Free

Certificate of Analysis

To download a Certificate of Analysis, please enter a lot number in the search box below.

Product Specific Notices for SLC44A4 Antibody - BSA Free

This product is for research use only and is not approved for use in humans or in clinical diagnosis. Primary Antibodies are guaranteed for 1 year from date of receipt.

Loading...
Loading...
Loading...
Loading...