Skip to main content

SLC39A3 Antibody - BSA Free

Novus Biologicals, part of Bio-Techne | Catalog # NBP1-76500

Novus Biologicals, part of Bio-Techne

Key Product Details

Species Reactivity

Validated:

Human, Mouse

Predicted:

Rat (94%). Backed by our 100% Guarantee.

Applications

Immunohistochemistry, Immunohistochemistry-Paraffin, Western Blot, ELISA

Label

Unconjugated

Antibody Source

Polyclonal Rabbit IgG

Format

BSA Free

Concentration

1 mg/ml

Product Specifications

Immunogen

Antibody was raised against a 16 amino acid synthetic peptide near the center of human ZIP3. The immunogen is located within amino acids 110 - 160 of ZIP3. Amino Acid Squence: NAGSDVGSDSEYESPF

Reactivity Notes

Immunogen displays the following percentage of sequence identity for non-tested species: Bovine (88%)

Clonality

Polyclonal

Host

Rabbit

Isotype

IgG

Scientific Data Images for SLC39A3 Antibody - BSA Free

Western Blot: SLC39A3 AntibodyBSA Free [NBP1-76500]

Western Blot: SLC39A3 AntibodyBSA Free [NBP1-76500]

Western Blot: SLC39A3 Antibody [NBP1-76500] - Western blot analysis of ZIP3 in mouse lung tissue lysate with ZIP3 antibody at 1 ug/mL in (A) the absence and (B) the presence of blocking peptide.
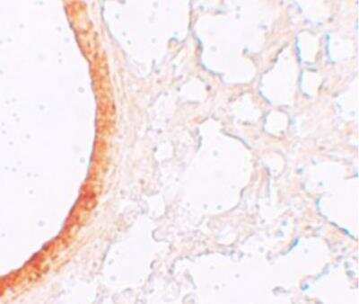
Immunohistochemistry: SLC39A3 Antibody - BSA Free [NBP1-76500]

Immunohistochemistry: SLC39A3 Antibody - BSA Free [NBP1-76500]

Immunohistochemistry: SLC39A3 Antibody [NBP1-76500] - Lung tissue.

Applications for SLC39A3 Antibody - BSA Free

Application
Recommended Usage

ELISA

1:100-1:2000

Immunohistochemistry

5 ug/ml

Immunohistochemistry-Paraffin

5 ug/ml

Western Blot

1 ug/ml

Formulation, Preparation, and Storage

Purification

Peptide affinity purified

Formulation

PBS

Format

BSA Free

Preservative

0.02% Sodium Azide

Concentration

1 mg/ml

Shipping

The product is shipped with polar packs. Upon receipt, store it immediately at the temperature recommended below.

Stability & Storage

Store at 4C short term. Aliquot and store at -20C long term. Avoid freeze-thaw cycles.

Background: SLC39A3

The zinc transporter ZIP3, also known as SLC39A3, is a member of a family of divalent ion transporters. Zinc is an essential ion for cells and plays significant roles in the growth, development, and differentiation. Similar to knock-outs of ZIP1 and ZIP2, ZIP3-null mice have no phenotypic differences compared to wild-type mice. Only when ZIP1, ZIP2, and ZIP3 genes are all eliminated and these mutant mice are fed a zinc-deficient diet do abnormalities such as reduced embryonic-membrane bound alkaline phosphatase activity and abnormal development occur, indicating that the ZIP1-3 proteins play an important, noncompensatory role when zinc is deficient. More recent studies have shown that ZIP2 and ZIP3 are down regulated in human prostate adenocarcinomatous glands, and may be important in the retention of zinc in the cellular compartment.

Alternate Names

solute carrier family 39 (zinc transporter), member 3, zinc transporter ZIP3, ZIP-3, ZIP3Solute carrier family 39 member 3, Zrt- and Irt-like protein 3

Gene Symbol

SLC39A3

Additional SLC39A3 Products

Product Documents for SLC39A3 Antibody - BSA Free

Certificate of Analysis

To download a Certificate of Analysis, please enter a lot number in the search box below.

Product Specific Notices for SLC39A3 Antibody - BSA Free

This product is for research use only and is not approved for use in humans or in clinical diagnosis. Primary Antibodies are guaranteed for 1 year from date of receipt.

Loading...
Loading...
Loading...
Loading...