SLC39A10 Antibody - BSA Free
Novus Biologicals, part of Bio-Techne | Catalog # NBP1-85080
Key Product Details
Species Reactivity
Human
Applications
Immunohistochemistry, Immunohistochemistry-Paraffin
Label
Unconjugated
Antibody Source
Polyclonal Rabbit IgG
Format
BSA Free
Concentration
Concentrations vary lot to lot. See vial label for concentration. If unlisted please contact technical services.
Product Specifications
Immunogen
This antibody was developed against Recombinant Protein corresponding to amino acids: EKETVEVSVKSDDKHMHDHNHRLRHHHRLHHHLDHNNTHHFHNDSITPSERGEPSNEPSTETNKTQEQSDVKLPKGKRKKKGRKSNENSEVITPGFP
Clonality
Polyclonal
Host
Rabbit
Isotype
IgG
Scientific Data Images for SLC39A10 Antibody - BSA Free
Immunohistochemistry-Paraffin: SLC39A10 Antibody [NBP1-85080] -
Immunohistochemistry-Paraffin: SLC39A10 Antibody [NBP1-85080] - Staining of human prostate shows strong membranous positivity in glandular cells.Immunohistochemistry-Paraffin: SLC39A10 Antibody [NBP1-85080] -
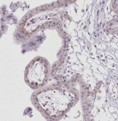
Immunohistochemistry-Paraffin: SLC39A10 Antibody [NBP1-85080] -Staining of human placenta shows moderate membranous positivity in trophoblastic cells.Immunohistochemistry-Paraffin: SLC39A10 Antibody [NBP1-85080] -
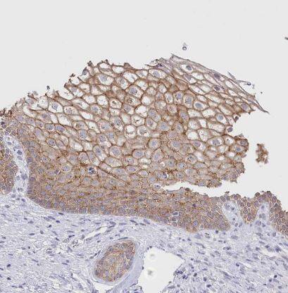
Immunohistochemistry-Paraffin: SLC39A10 Antibody [NBP1-85080] -Staining of human squamous epithelia shows strong membranous positivity in squamous epithelial cells.Applications for SLC39A10 Antibody - BSA Free
Application
Recommended Usage
Immunohistochemistry
1:50 - 1:200
Immunohistochemistry-Paraffin
1:50 - 1:200
Application Notes
For IHC-Paraffin, HIER pH 6 retrieval is recommended.
Formulation, Preparation, and Storage
Purification
Affinity purified
Formulation
PBS (pH 7.2) and 40% Glycerol
Format
BSA Free
Preservative
0.02% Sodium Azide
Concentration
Concentrations vary lot to lot. See vial label for concentration. If unlisted please contact technical services.
Shipping
The product is shipped with polar packs. Upon receipt, store it immediately at the temperature recommended below.
Stability & Storage
Store at 4C short term. Aliquot and store at -20C long term. Avoid freeze-thaw cycles.
Background: SLC39A10
Alternate Names
DKFZp564L2123, DKFZp781L10106, FLJ90515, KIAA1265, LZT-Hs2, MGC126565, MGC138428, solute carrier family 39 (metal ion transporter), member 10, solute carrier family 39 (zinc transporter), member 10, Solute carrier family 39 member 10, zinc transporter ZIP10, ZIP10, ZIP-10, Zrt- and Irt-like protein 10
Gene Symbol
SLC39A10
Additional SLC39A10 Products
Product Documents for SLC39A10 Antibody - BSA Free
Product Specific Notices for SLC39A10 Antibody - BSA Free
This product is for research use only and is not approved for use in humans or in clinical diagnosis. Primary Antibodies are guaranteed for 1 year from date of receipt.
Loading...
Loading...
Loading...
Loading...