Skip to main content

SLC37A2 Antibody - BSA Free

Novus Biologicals, part of Bio-Techne | Catalog # NBP1-77132

Novus Biologicals, part of Bio-Techne

Key Product Details

Species Reactivity

Human, Mouse, Rat

Applications

Immunohistochemistry, Immunohistochemistry-Paraffin, Western Blot, ELISA, Immunocytochemistry/ Immunofluorescence

Label

Unconjugated

Antibody Source

Polyclonal Rabbit IgG

Format

BSA Free

Concentration

1 mg/ml

Product Specifications

Immunogen

Antibody was raised against a 15 amino acid synthetic peptide near the center of human Slc37A2. The immunogen is located within amino acids 230 - 280 of Slc37A2. Amino Acid Squence: EPAENQDNPEDPGNS

Clonality

Polyclonal

Host

Rabbit

Isotype

IgG

Scientific Data Images for SLC37A2 Antibody - BSA Free

Western Blot: SLC37A2 AntibodyBSA Free [NBP1-77132]

Western Blot: SLC37A2 AntibodyBSA Free [NBP1-77132]

Western Blot: SLC37A2 Antibody [NBP1-77132] - Mouse spleen tissue lysate at 1 ug/mL in the (A) absence and (B) presence of blocking peptide.
SLC37A2 Antibody - BSA Free

Immunocytochemistry/ Immunofluorescence: SLC37A2 Antibody - BSA Free [NBP1-77132] -

Immunocytochemistry/ Immunofluorescence: SLC37A2 Antibody - BSA Free [NBP1-77132] - Immunofluorescence of SLC37A2 in rat spleen tissue with SLC37A2 antibody at 20 u/mL.
SLC37A2 Antibody - BSA Free

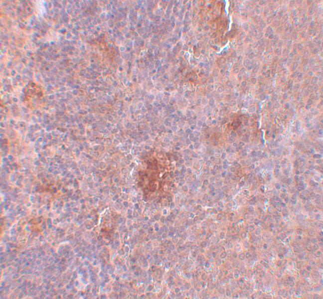
Immunohistochemistry: SLC37A2 Antibody - BSA Free [NBP1-77132] -

Immunohistochemistry: SLC37A2 Antibody - BSA Free [NBP1-77132] - Immunohistochemistry of SLC37A2 in rat spleen tissue with SLC37A2 antibody at 5 ug/mL.

Applications for SLC37A2 Antibody - BSA Free

Application
Recommended Usage

ELISA

1:100-1:2000

Immunocytochemistry/ Immunofluorescence

20 ug/ml

Immunohistochemistry

5 ug/ml

Immunohistochemistry-Paraffin

5 ug/ml

Western Blot

1 ug/ml

Formulation, Preparation, and Storage

Purification

Peptide affinity purified

Formulation

PBS

Format

BSA Free

Preservative

0.02% Sodium Azide

Concentration

1 mg/ml

Shipping

The product is shipped with polar packs. Upon receipt, store it immediately at the temperature recommended below.

Stability & Storage

Store at 4C short term. Aliquot and store at -20C long term. Avoid freeze-thaw cycles.

Background: SLC37A2

The Slc37 gene family consists of four members which have 10-12 predicted transmembrane domains and belong to the sugar-phosphate transporter superfamily. Recent experiments have demonstrated that Slc37A2 is a macrophage-specific gene selectively expressed in obese white adipose tissue. Its transcript is also expressed in spleen and thymus and the cell lines RAW264.7 and THP-1. Compared to wild-type mice, Slc37A2 mRNA is expressed at nine-fold higher levels in abdominal epididymal fat deposits of ob/ob mice, suggesting that it may be required to limit the contribution of macrophages to the inflammatory state present in obesity. Slc37A2 protein is post-translationally modified with the addition of N-linked glycans and migrates as a heterogeneous species of 50-75kDa.

Alternate Names

FLJ00171, MGC71430, pp11662, solute carrier family 37 (glycerol-3-phosphate transporter), member 2, Solute carrier family 37 member 2, SPX2, sugar phosphate exchanger 2

Gene Symbol

SLC37A2

Additional SLC37A2 Products

Product Documents for SLC37A2 Antibody - BSA Free

Certificate of Analysis

To download a Certificate of Analysis, please enter a lot number in the search box below.

Product Specific Notices for SLC37A2 Antibody - BSA Free

This product is for research use only and is not approved for use in humans or in clinical diagnosis. Primary Antibodies are guaranteed for 1 year from date of receipt.

Loading...
Loading...
Loading...
Loading...