Skip to main content

SLC28A3 Antibody - BSA Free

Novus Biologicals, part of Bio-Techne | Catalog # NBP2-29615

Novus Biologicals, part of Bio-Techne
Catalog #
Availability
Size / Price
Qty
Loading...
NBP2-29615SS
NBP2-29615

Key Product Details

Species Reactivity

Validated:

Human

Predicted:

Primate (100%). Backed by our 100% Guarantee.

Applications

Immunohistochemistry, Immunohistochemistry-Paraffin, Western Blot

Label

Unconjugated

Antibody Source

Polyclonal Rabbit IgG

Format

BSA Free

Concentration

1.0 mg/ml

Product Specifications

Immunogen

A synthetic peptide made to an internal portion of the human SLC28A3 protein (between residues 30-100) [NCBI NP_071410.1]

Localization

Multipass transmembrane protein with Cytoplasmic, Helical and Extracellular domains

Clonality

Polyclonal

Host

Rabbit

Isotype

IgG

Description

Novus Biologicals Rabbit SLC28A3 Antibody - BSA Free (NBP2-29615) is a polyclonal antibody validated for use in IHC and WB. Anti-SLC28A3 Antibody: Cited in 1 publication. All Novus Biologicals antibodies are covered by our 100% guarantee.

Scientific Data Images for SLC28A3 Antibody - BSA Free

Western Blot: SLC28A3 Antibody [NBP2-29615]

Western Blot: SLC28A3 Antibody [NBP2-29615]

Western Blot: SLC28A3 Antibody [NBP2-29615] - Western blot analysis of SLC28A3 in A. PC3 cell lysate B. PC3 lysate with blocking peptide.
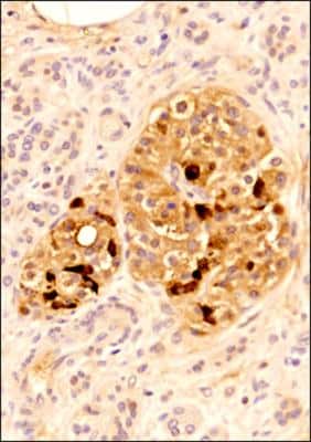
Immunohistochemistry-Paraffin: SLC28A3 Antibody [NBP2-29615]

Immunohistochemistry-Paraffin: SLC28A3 Antibody [NBP2-29615]

Immunohistochemistry-Paraffin: SLC28A3 Antibody [NBP2-29615] - IHC analysis of a formalin fixed and paraffin embedded tissue section of human pancreas using SLC28A3 antibody at 1:200 dilution. The antibody generated an expected cytoplasmic staining and the expression was mainly seen in Islet of Langerhans while the pancreatic acinar cells showed very weak staining. Inside the Islet of Langerhans, the alpha and beta cells showed moderate to high staining while the delta cells depicted very intense staining for SLC28A3 protein.

Applications for SLC28A3 Antibody - BSA Free

Application
Recommended Usage

Immunohistochemistry

5 ug/ml

Immunohistochemistry-Paraffin

5 ug/ml

Western Blot

4 ug/ml
Application Notes
SLC28A3 is a multipass membrane protein and its canonical form (Isoform 1) is 691AA long with predicted molecular weight of 76.9 kDa. This SLC28A3 antibody is not expected to detect Isoform 2 of SLC28A3, and in our testing with WB assay, this antibody detected the target band (~75kDa) with one additional/uncharacterized band (~17 kda). Because the immunogen sequence of this SLC28A3 antibody falls within the first cytoplasmic domain of SLC28A3 (see Uniprot# Q9HAS3; aa1-100, the largest cytoplasmic domain of this protein), the expected staining pattern with this antibody would be cytoplasmic in immunostaining assays.

Formulation, Preparation, and Storage

Purification

Protein A purified

Formulation

PBS

Format

BSA Free

Preservative

0.05% Sodium Azide

Concentration

1.0 mg/ml

Shipping

The product is shipped with polar packs. Upon receipt, store it immediately at the temperature recommended below.

Stability & Storage

Store at 4C short term. Aliquot and store at -20C long term. Avoid freeze-thaw cycles.

Background: SLC28A3

CRLF2 is a receptor for thymic stromal lymphopoietin (TSLP). Together with the interleukin 7 receptor (IL7R), the protein and TSLP activate STAT3, STAT5, and JAK2 pathways, which control processes such as cell proliferation and development of the hematopoietic system. Two transcript variants encoding different isoforms have been found for this gene. Recombinant human CRLF2 protein, fused to His-tag at N-terminus, was expressed in E.coli.

Alternate Names

CNT 3, CNT3concentrative Na+-nucleoside cotransporter, Concentrative Na(+)-nucleoside cotransporter 3, hCNT3, solute carrier family 28 (sodium-coupled nucleoside transporter), member 3, solute carrier family 28 member 3

Entrez Gene IDs

64078 (Human)

Gene Symbol

SLC28A3

UniProt

Additional SLC28A3 Products

Product Documents for SLC28A3 Antibody - BSA Free

Certificate of Analysis

To download a Certificate of Analysis, please enter a lot number in the search box below.

Product Specific Notices for SLC28A3 Antibody - BSA Free

This product is for research use only and is not approved for use in humans or in clinical diagnosis. Primary Antibodies are guaranteed for 1 year from date of receipt.

Loading...
Loading...
Loading...
Loading...