Skip to main content

SLC28A2 Antibody - BSA Free

Novus Biologicals, part of Bio-Techne | Catalog # NBP2-38763

Novus Biologicals, part of Bio-Techne
Catalog #
Availability
Size / Price
Qty
Loading...
NBP2-38763-25ul
NBP2-38763

Key Product Details

Validated by

Orthogonal Validation, Independent Antibodies

Species Reactivity

Validated:

Human

Cited:

Human

Applications

Validated:

Immunohistochemistry, Immunohistochemistry-Paraffin

Cited:

IF/IHC

Label

Unconjugated

Antibody Source

Polyclonal Rabbit IgG

Format

BSA Free

Concentration

Concentrations vary lot to lot. See vial label for concentration. If unlisted please contact technical services.

Product Specifications

Immunogen

This antibody was developed against a recombinant protein corresponding to amino acids: GAEADCVSFPNTSFTNRTYETYMCCRGLFQSTSLNGTNPPSFSGPWEDKEFSAMALTNCCGFYNNTVCA

Clonality

Polyclonal

Host

Rabbit

Isotype

IgG

Scientific Data Images for SLC28A2 Antibody - BSA Free

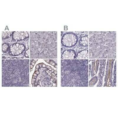
Immunohistochemistry-Paraffin: SLC28A2 Antibody [NBP2-38763]

Immunohistochemistry-Paraffin: SLC28A2 Antibody [NBP2-38763]

Immunohistochemistry-Paraffin: SLC28A2 Antibody [NBP2-38763] - Staining of human small intestine.
Immunohistochemistry-Paraffin: SLC28A2 Antibody [NBP2-38763]

Immunohistochemistry-Paraffin: SLC28A2 Antibody [NBP2-38763]

Immunohistochemistry-Paraffin: SLC28A2 Antibody [NBP2-38763] - Staining of human duodenum shows high expression.
Immunohistochemistry-Paraffin: SLC28A2 Antibody [NBP2-38763]

Immunohistochemistry-Paraffin: SLC28A2 Antibody [NBP2-38763]

Immunohistochemistry-Paraffin: SLC28A2 Antibody [NBP2-38763] - Staining of human liver shows low expression as expected.

Applications for SLC28A2 Antibody - BSA Free

Application
Recommended Usage

Immunohistochemistry

1:500 - 1:1000

Immunohistochemistry-Paraffin

1:500 - 1:1000
Application Notes
For IHC-Paraffin, HIER pH 6 retrieval is recommended.

Formulation, Preparation, and Storage

Purification

Affinity purified

Formulation

PBS (pH 7.2) and 40% Glycerol

Format

BSA Free

Preservative

0.02% Sodium Azide

Concentration

Concentrations vary lot to lot. See vial label for concentration. If unlisted please contact technical services.

Shipping

The product is shipped with polar packs. Upon receipt, store it immediately at the temperature recommended below.

Stability & Storage

Store at 4C short term. Aliquot and store at -20C long term. Avoid freeze-thaw cycles.

Background: SLC28A2

Sodium-dependent and purine-selective transporter. Exhibits the transport characteristics of the nucleoside transport system cif or N1 subtype (N1/cif) (selective for purine nucleosides and uridine). Plays a critical role in specific uptake and salvage of purine nucleosides in kidney and other tissues

Alternate Names

CNT2SPNT, Concentrative nucleoside transporter 2, FLJ21468, HCNT2, HsT17153, MGC138252, Na(+)/nucleoside cotransporter 2, sodium/nucleoside cotransporter 2, Sodium/purine nucleoside co-transporter, Sodium-coupled nucleoside transporter 2, solute carrier family 28 (sodium-coupled nucleoside transporter), member 2, Solute carrier family 28 member 2, SPNT1CNT 2

Gene Symbol

SLC28A2

UniProt

Additional SLC28A2 Products

Product Documents for SLC28A2 Antibody - BSA Free

Certificate of Analysis

To download a Certificate of Analysis, please enter a lot number in the search box below.

Product Specific Notices for SLC28A2 Antibody - BSA Free

This product is for research use only and is not approved for use in humans or in clinical diagnosis. Primary Antibodies are guaranteed for 1 year from date of receipt.

Loading...
Loading...
Loading...
Loading...