Skip to main content

SLC25A46 Antibody - BSA Free

Novus Biologicals, part of Bio-Techne | Catalog # NBP2-20392

Novus Biologicals, part of Bio-Techne
Catalog #
Availability
Size / Price
Qty
Loading...
NBP2-20392

Key Product Details

Species Reactivity

Validated:

Human

Predicted:

Mouse (92%), Rat (93%), Rhesus Macaque (100%). Backed by our 100% Guarantee.

Applications

Immunohistochemistry, Immunohistochemistry-Paraffin, Western Blot

Label

Unconjugated

Antibody Source

Polyclonal Rabbit IgG

Format

BSA Free

Concentration

Concentrations vary lot to lot. See vial label for concentration. If unlisted please contact technical services.

Product Specifications

Immunogen

Recombinant protein encompassing a sequence within the center region of human SLC25A46. The exact sequence is proprietary.

Reactivity Notes

Chicken (85%).

Localization

Mitochondrion inner membrane; Multi-pass membrane protein

Clonality

Polyclonal

Host

Rabbit

Isotype

IgG

Theoretical MW

46 kDa.
Disclaimer note: The observed molecular weight of the protein may vary from the listed predicted molecular weight due to post translational modifications, post translation cleavages, relative charges, and other experimental factors.

Description

Novus Biologicals Rabbit SLC25A46 Antibody - BSA Free (NBP2-20392) is a polyclonal antibody validated for use in IHC and WB. All Novus Biologicals antibodies are covered by our 100% guarantee.

Scientific Data Images for SLC25A46 Antibody - BSA Free

Western Blot: SLC25A46 Antibody [NBP2-20392]

Western Blot: SLC25A46 Antibody [NBP2-20392]

Western Blot: SLC25A46 Antibody [NBP2-20392] - Sample (30 ug of whole cell lysate) A: HeLa B: HeLa membrane 10% SDS PAGE gel, diluted at 1:500.
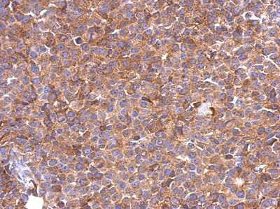
Immunohistochemistry-Paraffin: SLC25A46 Antibody [NBP2-20392]

Immunohistochemistry-Paraffin: SLC25A46 Antibody [NBP2-20392]

Immunohistochemistry-Paraffin: SLC25A46 Antibody [NBP2-20392] - Immunohistochemical analysis of paraffin-embedded Huh-7 xenograft, using antibody at 1:500 dilution.

Applications for SLC25A46 Antibody - BSA Free

Application
Recommended Usage

Immunohistochemistry

1:100-1:1000

Immunohistochemistry-Paraffin

1:100-1:1000

Western Blot

1:500-1:3000

Formulation, Preparation, and Storage

Purification

Antigen Affinity-purified

Formulation

PBS, 20% Glycerol

Format

BSA Free

Preservative

0.01% Thimerosal

Concentration

Concentrations vary lot to lot. See vial label for concentration. If unlisted please contact technical services.

Shipping

The product is shipped with polar packs. Upon receipt, store it immediately at the temperature recommended below.

Stability & Storage

Aliquot and store at -20C or -80C. Avoid freeze-thaw cycles.

Background: SLC25A46

SLC25A46 belongs to the SLC25 family of mitochondrial carrier proteins (Haitina et al., 2006 [PubMed 16949250]).[supplied by OMIM]

Alternate Names

solute carrier family 25 member 46, solute carrier family 25, member 46, TB1

Gene Symbol

SLC25A46

UniProt

Additional SLC25A46 Products

Product Documents for SLC25A46 Antibody - BSA Free

Certificate of Analysis

To download a Certificate of Analysis, please enter a lot number in the search box below.

Product Specific Notices for SLC25A46 Antibody - BSA Free

This product is for research use only and is not approved for use in humans or in clinical diagnosis. Primary Antibodies are guaranteed for 1 year from date of receipt.

Loading...
Loading...
Loading...
Loading...

⚠ WARNING: This product can expose you to chemicals including mercury, which is known to the State of California to cause reproductive toxicity with developmental effects.  For more information go to www.P65Warnings.ca.gov.