Skip to main content

SLC25A38 Antibody (PSH02-79)

Novus Biologicals, part of Bio-Techne | Catalog # NBP3-32953

Recombinant Monoclonal Antibody
Novus Biologicals, part of Bio-Techne
Catalog #
Availability
Size / Price
Qty
Loading...
NBP3-32953

Key Product Details

Species Reactivity

Human, Mouse

Applications

Immunohistochemistry, Immunohistochemistry-Paraffin, Western Blot, Immunocytochemistry/ Immunofluorescence

Label

Unconjugated

Antibody Source

Recombinant Monoclonal Rabbit IgG Clone # PSH02-79 expressed in HEK293

Concentration

1 mg/ml

Product Specifications

Immunogen

Synthetic peptide within human SLC25A38 aa 255-304 / 304. (Uniprot: Q96DW6)

Localization

Mitochondrion inner membrane.

Clonality

Monoclonal

Host

Rabbit

Isotype

IgG

Theoretical MW

34 kDa.
Disclaimer note: The observed molecular weight of the protein may vary from the listed predicted molecular weight due to post translational modifications, post translation cleavages, relative charges, and other experimental factors.

Description

Novus Biologicals Rabbit SLC25A38 Antibody (PSH02-79) (NBP3-32953) is a recombinant monoclonal antibody validated for use in IHC, WB and ICC/IF. All Novus Biologicals antibodies are covered by our 100% guarantee.

Scientific Data Images for SLC25A38 Antibody (PSH02-79)

SLC25A38 Antibody (PSH02-79)

Western Blot: SLC25A38 Antibody (PSH02-79) [NBP3-32953]

Western Blot: SLC25A38 Antibody (PSH02-79) [NBP3-32953] - Western blot analysis of SLC25A38 on different lysates with Rabbit anti-SLC25A38 antibody (NBP3-32953) at 1/1,000 dilution.

Lane 1: 293T-NT cell lysate (no heat)
Lane 2: 293T-OE-SLC25A38 cell lysate (no heat)

Lysates/proteins at 20 ug/Lane.

Predicted band size: 34 kDa
Observed band size: 34 kDa

Exposure time: 5 minutes;

4-20% SDS-PAGE gel.

Proteins were transferred to a PVDF membrane and blocked with 5% NFDM/TBST for 1 hour at room temperature. The primary antibody (NBP3-32953) at 1/1,000 dilution was used in 5% NFDM/TBST at 4C overnight. Goat Anti-Rabbit IgG - HRP Secondary Antibody at 1/50,000 dilution was used for 1 hour at room temperature.
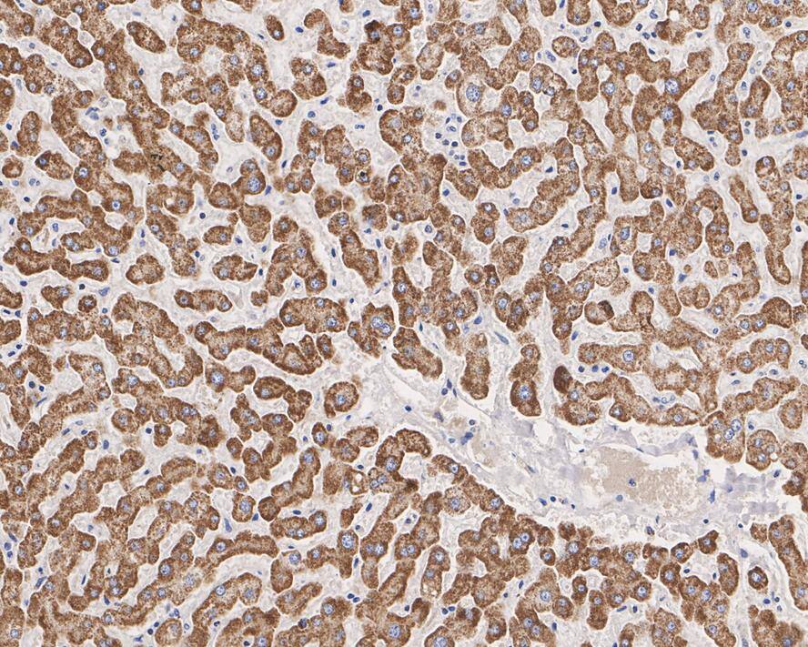
SLC25A38 Antibody (PSH02-79)

Immunohistochemistry: SLC25A38 Antibody (PSH02-79) [NBP3-32953]

Immunohistochemistry: SLC25A38 Antibody (PSH02-79) [NBP3-32953] - Immunohistochemical analysis of paraffin-embedded human liver tissue with Rabbit anti-SLC25A38 antibody (NBP3-32953) at 1/1,000 dilution.

The section was pre-treated using heat mediated antigen retrieval with Tris-EDTA buffer (pH 9.0) for 20 minutes. The tissues were blocked in 1% BSA for 20 minutes at room temperature, washed with ddH2O and PBS, and then probed with the primary antibody (NBP3-32953) at 1/1,000 dilution for 1 hour at room temperature. The detection was performed using an HRP conjugated compact polymer system. DAB was used as the chromogen. Tissues were counterstained with hematoxylin and mounted with DPX.
SLC25A38 Antibody (PSH02-79)

Immunocytochemistry/ Immunofluorescence: SLC25A38 Antibody (PSH02-79) [NBP3-32953]

Immunocytochemistry/ Immunofluorescence: SLC25A38 Antibody (PSH02-79) [NBP3-32953] - Immunocytochemistry analysis of 293T transfacted with or without SLC25A38 cells labeling SLC25A38 with Rabbit anti-SLC25A38 antibody (NBP3-32953) at 1/250 dilution.

Cells were fixed in 4% paraformaldehyde for 20 minutes at room temperature, permeabilized with 0.1% Triton X-100 in PBS for 5 minutes at room temperature, then blocked with 1% BSA in 10% negative goat serum for 1 hour at room temperature. Cells were then incubated with Rabbit anti-SLC25A38 antibody (NBP3-32953) at 1/250 dilution in 1% BSA in PBST overnight at 4 ℃. Goat Anti-Rabbit IgG H&L (iFluor™ 488) was used as the secondary antibody at 1/1,000 dilution. PBS instead of the primary antibody was used as the secondary antibody only control. Nuclear DNA was labelled in blue with DAPI.

Beta tubulin (red) was stained at 1/100 dilution overnight at +4℃. Goat Anti-Mouse IgG H&L (iFluor™ 594) was used as the secondary antibody at 1/1,000 dilution.

Applications for SLC25A38 Antibody (PSH02-79)

Application
Recommended Usage

Immunocytochemistry/ Immunofluorescence

1:250

Immunohistochemistry-Paraffin

1:200-1:1000

Western Blot

1:1000

Formulation, Preparation, and Storage

Purification

Protein A purified

Formulation

PBS (pH7.4), 0.1% BSA and 40% Glycerol

Preservative

0.05% Sodium Azide

Concentration

1 mg/ml

Shipping

The product is shipped with polar packs. Upon receipt, store it immediately at the temperature recommended below.

Stability & Storage

Store at 4C short term. Aliquot and store at -20C long term. Avoid freeze-thaw cycles.

Background: SLC25A38

SLC25A38 belongs to the SLC25 family of mitochondrial carrier proteins (Haitina et al., 2006 [PubMed 16949250]).[supplied by OMIM]

Alternate Names

FLJ20551, FLJ22703, solute carrier family 25 member 38, solute carrier family 25, member 38

Gene Symbol

SLC25A38

Additional SLC25A38 Products

Product Documents for SLC25A38 Antibody (PSH02-79)

Certificate of Analysis

To download a Certificate of Analysis, please enter a lot number in the search box below.

Product Specific Notices for SLC25A38 Antibody (PSH02-79)

This product is for research use only and is not approved for use in humans or in clinical diagnosis. Primary Antibodies are guaranteed for 1 year from date of receipt.

Loading...
Loading...
Loading...
Loading...