Skip to main content

SLC25A25 Antibody - BSA Free

Novus Biologicals, part of Bio-Techne | Catalog # NBP1-82886

Novus Biologicals, part of Bio-Techne
Catalog #
Availability
Size / Price
Qty
Loading...
NBP1-82886
NBP1-82886-25ul

Key Product Details

Species Reactivity

Human, Mouse, Rat

Applications

Immunohistochemistry, Immunohistochemistry-Paraffin, Western Blot

Label

Unconjugated

Antibody Source

Polyclonal Rabbit IgG

Format

BSA Free

Concentration

Concentrations vary lot to lot. See vial label for concentration. If unlisted please contact technical services.

Product Specifications

Immunogen

This antibody was developed against Recombinant Protein corresponding to amino acids: LRLVFKSLDKKNDGRIDAQEIMQSLRDLGVKISEQQAEKILKSMDKNGTMTIDWNEWRDYHLLHPVENIPEIILYWKHSTIFDVGENLT

Clonality

Polyclonal

Host

Rabbit

Isotype

IgG

Scientific Data Images for SLC25A25 Antibody - BSA Free

Western Blot: SLC25A25 Antibody [NBP1-82886]

Western Blot: SLC25A25 Antibody [NBP1-82886]

Western Blot: SLC25A25 Antibody [NBP1-82886] - Analysis in rat cell line NBT-II and mouse cell line NIH-3T3.
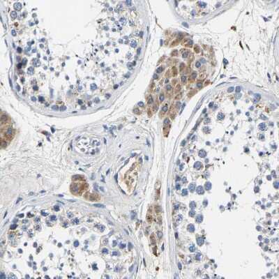
Immunohistochemistry-Paraffin: SLC25A25 Antibody [NBP1-82886]

Immunohistochemistry-Paraffin: SLC25A25 Antibody [NBP1-82886]

Immunohistochemistry-Paraffin: SLC25A25 Antibody [NBP1-82886] - Staining of human testis shows moderate cytoplasmic positivity in Leydig cells.
Western Blot: SLC25A25 Antibody [NBP1-82886]

Western Blot: SLC25A25 Antibody [NBP1-82886]

Western Blot: SLC25A25 Antibody [NBP1-82886] - Analysis in human cell line SCLC-21H.

Applications for SLC25A25 Antibody - BSA Free

Application
Recommended Usage

Immunohistochemistry

1:20 - 1:50

Immunohistochemistry-Paraffin

1:20-1:50

Western Blot

0.04 - 0.4 ug/ml
Application Notes
For IHC-Paraffin, HIER pH 6 retrieval is recommended.

Formulation, Preparation, and Storage

Purification

Affinity purified

Formulation

PBS (pH 7.2) and 40% Glycerol

Format

BSA Free

Preservative

0.02% Sodium Azide

Concentration

Concentrations vary lot to lot. See vial label for concentration. If unlisted please contact technical services.

Shipping

The product is shipped with polar packs. Upon receipt, store it immediately at the temperature recommended below.

Stability & Storage

Store at 4C short term. Aliquot and store at -20C long term. Avoid freeze-thaw cycles.

Background: SLC25A25

Calcium-dependent mitochondrial solute carrier. Mitochondrial solute carriers shuttle metabolites,nucleotides, and cofactors through the mitochondrial inner membrane. May act as a ATP-Mg/Pi exchanger that mediatesthe transport of Mg-ATP in exchange for phosphate, catalyzing the net uptake or efflux of adenine nucleotides into orfrom the mitochondria

Alternate Names

APC3, calcium-binding mitochondrial carrier protein SCaMC-2, KIAA1896RP11-395P17.4, MCSC, MCSC3, MGC105138, MGC119514, MGC119515, MGC119516, MGC119517, Mitochondrial ATP-Mg/Pi carrier protein 3, Mitochondrial Ca(2+)-dependent solute carrier protein 3, mitochondrial Ca2+-dependent solute carrier, PCSCL, SCAMC2, SCAMC-2, short calcium-binding mitochondrial carrier 2, small calcium-binding mitochondrial carrier 2, Small calcium-binding mitochondrial carrier protein 2, solute carrier family 25 (mitochondrial carrier; phosphate carrier), member 25, Solute carrier family 25 member 25, solute carrier family 25, member 25

Gene Symbol

SLC25A25

Additional SLC25A25 Products

Product Documents for SLC25A25 Antibody - BSA Free

Certificate of Analysis

To download a Certificate of Analysis, please enter a lot number in the search box below.

Product Specific Notices for SLC25A25 Antibody - BSA Free

This product is for research use only and is not approved for use in humans or in clinical diagnosis. Primary Antibodies are guaranteed for 1 year from date of receipt.

Loading...
Loading...
Loading...
Loading...