Skip to main content

SLC25A20 Antibody - BSA Free

Novus Biologicals, part of Bio-Techne | Catalog # NBP1-86690

Novus Biologicals, part of Bio-Techne
Catalog #
Availability
Size / Price
Qty
Loading...
NBP1-86690
NBP1-86690-25ul

Key Product Details

Species Reactivity

Validated:

Human, Mouse

Cited:

Canine

Predicted:

Rat (98%). Backed by our 100% Guarantee.

Applications

Validated:

Immunohistochemistry, Immunohistochemistry-Paraffin, Western Blot

Cited:

Western Blot, IF/IHC

Label

Unconjugated

Antibody Source

Polyclonal Rabbit IgG

Format

BSA Free

Concentration

Concentrations vary lot to lot. See vial label for concentration. If unlisted please contact technical services.

Product Specifications

Immunogen

This antibody was developed against Recombinant Protein corresponding to amino acids: TVKVRLQTQPPSLPGQPPMYSGTFDCFRKTLFREGITGLYR

Reactivity Notes

Analysis in mouse ear mesenchymal stem cells (mEMSC) adipocytes reported from a verified customer review.

Clonality

Polyclonal

Host

Rabbit

Isotype

IgG

Scientific Data Images for SLC25A20 Antibody - BSA Free

Immunohistochemistry-Paraffin: SLC25A20 Antibody [NBP1-86690]

Immunohistochemistry-Paraffin: SLC25A20 Antibody [NBP1-86690]

Immunohistochemistry-Paraffin: SLC25A20 Antibody [NBP1-86690] - Staining of human liver shows moderate cytoplasmic positivity in hepatocytes.
Immunohistochemistry-Paraffin: SLC25A20 Antibody [NBP1-86690]

Immunohistochemistry-Paraffin: SLC25A20 Antibody [NBP1-86690]

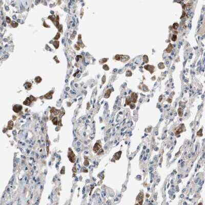
Immunohistochemistry-Paraffin: SLC25A20 Antibody [NBP1-86690] - Staining of human lung shows moderate cytoplasmic positivity in macrophages.
Immunohistochemistry-Paraffin: SLC25A20 Antibody [NBP1-86690]

Immunohistochemistry-Paraffin: SLC25A20 Antibody [NBP1-86690]

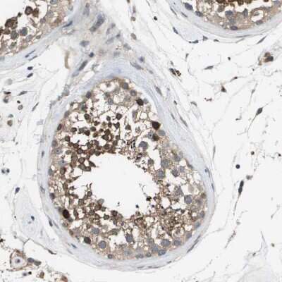
Immunohistochemistry-Paraffin: SLC25A20 Antibody [NBP1-86690] - Staining of human testis shows moderate cytoplasmic positivity in cells in seminiferous ducts.

Applications for SLC25A20 Antibody - BSA Free

Application
Recommended Usage

Immunohistochemistry

1:50 - 1:200

Immunohistochemistry-Paraffin

1:50 - 1:200

Western Blot

0.04-0.4 ug/ml
Application Notes
For IHC-Paraffin, HIER pH 6 retrieval is recommended. SLC25A20 antibody validated for WB from a verified customer review.

Reviewed Applications

Read 1 review rated 5 using NBP1-86690 in the following applications:

Formulation, Preparation, and Storage

Purification

Affinity purified

Formulation

PBS (pH 7.2) and 40% Glycerol

Format

BSA Free

Preservative

0.02% Sodium Azide

Concentration

Concentrations vary lot to lot. See vial label for concentration. If unlisted please contact technical services.

Shipping

The product is shipped with polar packs. Upon receipt, store it immediately at the temperature recommended below.

Stability & Storage

Store at 4C short term. Aliquot and store at -20C long term. Avoid freeze-thaw cycles.

Background: SLC25A20

The SLC25A20 gene product is one of several closely related mitochondrial-membrane carrier proteins that shuttle substrates between cytosol and the intramitochondrial matrix space. This protein mediates the transport of acylcarnitines into mitochondrial matrix fo

Alternate Names

CACCarnitine/acylcarnitine translocase, CACTSolute carrier family 25 member 20, mitochondrial carnitine/acylcarnitine carrier protein, solute carrier family 25 (carnitine/acylcarnitine translocase), member 20

Gene Symbol

SLC25A20

Additional SLC25A20 Products

Product Documents for SLC25A20 Antibody - BSA Free

Certificate of Analysis

To download a Certificate of Analysis, please enter a lot number in the search box below.

Product Specific Notices for SLC25A20 Antibody - BSA Free

This product is for research use only and is not approved for use in humans or in clinical diagnosis. Primary Antibodies are guaranteed for 1 year from date of receipt.

Loading...
Loading...
Loading...
Loading...