Skip to main content

SLC25A10 Antibody - BSA Free

Novus Biologicals, part of Bio-Techne | Catalog # NBP1-85214

Novus Biologicals, part of Bio-Techne
Catalog #
Availability
Size / Price
Qty
Loading...
NBP1-85214
NBP1-85214-25ul

Key Product Details

Species Reactivity

Human

Applications

Immunohistochemistry, Immunohistochemistry-Paraffin, Western Blot

Label

Unconjugated

Antibody Source

Polyclonal Rabbit IgG

Format

BSA Free

Concentration

Concentrations vary lot to lot. See vial label for concentration. If unlisted please contact technical services.

Product Specifications

Immunogen

This antibody was developed against Recombinant Protein corresponding to amino acids: SLTRFAIYETVRDRVAKGSQGPLPFHEKVLLGSVSGLAGGFVGTPADLVNVRMQNDVKLPQGQRRNYAHAL

Reactivity Notes

Immunogen displays the following percentage of sequence identity for non-tested species: Mouse (80%), Rat (80%)

Clonality

Polyclonal

Host

Rabbit

Isotype

IgG

Scientific Data Images for SLC25A10 Antibody - BSA Free

Western Blot: SLC25A10 Antibody [NBP1-85214]

Western Blot: SLC25A10 Antibody [NBP1-85214]

Western Blot: SLC25A10 Antibody [NBP1-85214] - Analysis in human cell line HepG2.
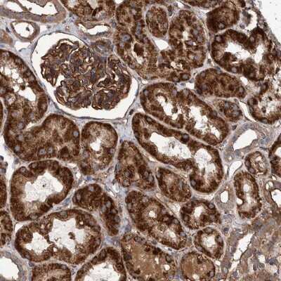
Immunohistochemistry-Paraffin: SLC25A10 Antibody [NBP1-85214]

Immunohistochemistry-Paraffin: SLC25A10 Antibody [NBP1-85214]

Immunohistochemistry-Paraffin: SLC25A10 Antibody [NBP1-85214] - Staining of human kidney shows strong cytoplasmic positivity with granular pattern in cells in tubules and cells in glomeruli.

Applications for SLC25A10 Antibody - BSA Free

Application
Recommended Usage

Immunohistochemistry

1:200 - 1:500

Immunohistochemistry-Paraffin

1:200 - 1:500

Western Blot

0.04-0.4 ug/ml
Application Notes
For IHC-Paraffin, HIER pH 6 retrieval is recommended.

Formulation, Preparation, and Storage

Purification

Affinity purified

Formulation

PBS (pH 7.2) and 40% Glycerol

Format

BSA Free

Preservative

0.02% Sodium Azide

Concentration

Concentrations vary lot to lot. See vial label for concentration. If unlisted please contact technical services.

Shipping

The product is shipped with polar packs. Upon receipt, store it immediately at the temperature recommended below.

Stability & Storage

Store at 4C short term. Aliquot and store at -20C long term. Avoid freeze-thaw cycles.

Background: SLC25A10

The mitochondrial dicarboxylate carrier protein (mDIC) belongs to superfamily of mitochondrial transporters. It has been demonstrated that the expression of mDIC leads to hyperpolarization of the mitochondria, as well as succinate uptake by the mitochondria. It is highly expressed in adipose tissue, where its expression is downregulated by insulin and upregulated by free fatty acids. mDIC is also thought to play a role in glyceroneogenesis.

Alternate Names

dicarboxylate ion carrier, DICSolute carrier family 25 member 10, member 10, mitochondrial dicarboxylate carrier, solute carrier family 25 (mitochondrial carrier; dicarboxylate transporter)

Gene Symbol

SLC25A10

Additional SLC25A10 Products

Product Documents for SLC25A10 Antibody - BSA Free

Certificate of Analysis

To download a Certificate of Analysis, please enter a lot number in the search box below.

Product Specific Notices for SLC25A10 Antibody - BSA Free

This product is for research use only and is not approved for use in humans or in clinical diagnosis. Primary Antibodies are guaranteed for 1 year from date of receipt.

Loading...
Loading...
Loading...
Loading...