Skip to main content

SLC22A8 Antibody - BSA Free

Novus Biologicals, part of Bio-Techne | Catalog # NBP1-92396

Novus Biologicals, part of Bio-Techne
Catalog #
Availability
Size / Price
Qty
Loading...
NBP1-92396-25ul
NBP1-92396

Key Product Details

Validated by

Orthogonal Validation

Species Reactivity

Validated:

Human

Cited:

Human

Applications

Validated:

Immunohistochemistry, Immunohistochemistry-Paraffin

Cited:

Immunocytochemistry/ Immunofluorescence

Label

Unconjugated

Antibody Source

Polyclonal Rabbit IgG

Format

BSA Free

Concentration

Concentrations vary lot to lot. See vial label for concentration. If unlisted please contact technical services.

Product Specifications

Immunogen

This antibody was developed against Recombinant Protein corresponding to amino acids: KKEEGERLSLEELKLNLQKEISLAKAKYTASDLFRIPMLR

Clonality

Polyclonal

Host

Rabbit

Isotype

IgG

Description

Novus Biologicals Rabbit SLC22A8 Antibody - BSA Free (NBP1-92396) is a polyclonal antibody validated for use in IHC and ICC/IF. Anti-SLC22A8 Antibody: Cited in 1 publication. All Novus Biologicals antibodies are covered by our 100% guarantee.

Scientific Data Images for SLC22A8 Antibody - BSA Free

Immunohistochemistry-Paraffin: SLC22A8 Antibody [NBP1-92396]

Immunohistochemistry-Paraffin: SLC22A8 Antibody [NBP1-92396]

Immunohistochemistry-Paraffin: SLC22A8 Antibody [NBP1-92396] - Analysis in human kidney and tonsil tissues using NBP1-92396 antibody. Corresponding SLC22A8 RNA-seq data are presented for the same tissues.
Immunohistochemistry-Paraffin: SLC22A8 Antibody [NBP1-92396]

Immunohistochemistry-Paraffin: SLC22A8 Antibody [NBP1-92396]

Immunohistochemistry-Paraffin: SLC22A8 Antibody [NBP1-92396] - Staining of human tonsil shows no positivity in non-germinal center cells as expected.
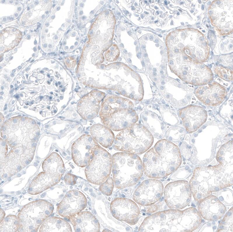
Immunohistochemistry-Paraffin: SLC22A8 Antibody [NBP1-92396]

Immunohistochemistry-Paraffin: SLC22A8 Antibody [NBP1-92396]

Immunohistochemistry-Paraffin: SLC22A8 Antibody [NBP1-92396] - Staining of human kidney shows moderate positivity in baslolateral membrane cells in tubules.

Applications for SLC22A8 Antibody - BSA Free

Application
Recommended Usage

Immunohistochemistry

1:2500 - 1:5000

Immunohistochemistry-Paraffin

1:2500 - 1:5000
Application Notes
For IHC-Paraffin, HIER pH 6 retrieval is recommended.

Formulation, Preparation, and Storage

Purification

Affinity purified

Formulation

PBS (pH 7.2) and 40% Glycerol

Format

BSA Free

Preservative

0.02% Sodium Azide

Concentration

Concentrations vary lot to lot. See vial label for concentration. If unlisted please contact technical services.

Shipping

The product is shipped with polar packs. Upon receipt, store it immediately at the temperature recommended below.

Stability & Storage

Store at 4C short term. Aliquot and store at -20C long term. Avoid freeze-thaw cycles.

Background: SLC22A8

SLC22A8 is encoded by this gene is involved in the sodium-independent transport and excretion of organic anions, some of which are potentially toxic. The encoded protein is an integral membrane protein and appears to be localized to the basolateral membrane of the kidney. [provided by RefSeq]

Alternate Names

hOAT3, MGC24086, OAT3Organic anion transporter 3, solute carrier family 22 (organic anion transporter), member 8, solute carrier family 22 member 8

Gene Symbol

SLC22A8

Additional SLC22A8 Products

Product Documents for SLC22A8 Antibody - BSA Free

Certificate of Analysis

To download a Certificate of Analysis, please enter a lot number in the search box below.

Product Specific Notices for SLC22A8 Antibody - BSA Free

This product is for research use only and is not approved for use in humans or in clinical diagnosis. Primary Antibodies are guaranteed for 1 year from date of receipt.

Loading...
Loading...
Loading...
Loading...