Skip to main content

SLC22A13 Antibody - BSA Free

Novus Biologicals, part of Bio-Techne | Catalog # NBP1-82502

Novus Biologicals, part of Bio-Techne
Catalog #
Availability
Size / Price
Qty
Loading...
NBP1-82502
NBP1-82502-25ul

Key Product Details

Validated by

Orthogonal Validation

Species Reactivity

Human

Applications

Immunohistochemistry, Immunohistochemistry-Paraffin

Label

Unconjugated

Antibody Source

Polyclonal Rabbit IgG

Format

BSA Free

Concentration

Concentrations vary lot to lot. See vial label for concentration. If unlisted please contact technical services.

Product Specifications

Immunogen

This antibody was developed against Recombinant Protein corresponding to amino acids: PETHGQGLKDTLQDLELGPHPRSPKSVPSEKETEAKGRTSSPGVAFVSSTY

Reactivity Notes

Reactivity reported in scientific literature (PMID: 24309898)

Clonality

Polyclonal

Host

Rabbit

Isotype

IgG

Scientific Data Images for SLC22A13 Antibody - BSA Free

Immunohistochemistry-Paraffin: SLC22A13 Antibody [NBP1-82502]

Immunohistochemistry-Paraffin: SLC22A13 Antibody [NBP1-82502]

Immunohistochemistry-Paraffin: SLC22A13 Antibody [NBP1-82502] - Staining of human lymph node shows low expression as expected.
Immunohistochemistry-Paraffin: SLC22A13 Antibody [NBP1-82502]

Immunohistochemistry-Paraffin: SLC22A13 Antibody [NBP1-82502]

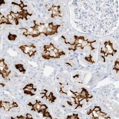
Immunohistochemistry-Paraffin: SLC22A13 Antibody [NBP1-82502] - Staining of human kidney shows high expression.
Immunohistochemistry-Paraffin: SLC22A13 Antibody [NBP1-82502]

Immunohistochemistry-Paraffin: SLC22A13 Antibody [NBP1-82502]

Immunohistochemistry-Paraffin: SLC22A13 Antibody [NBP1-82502] - Staining in human kidney and lymph node tissues using anti-SLC22A13 antibody. Corresponding SLC22A13 RNA-seq data are presented for the same tissues.

Applications for SLC22A13 Antibody - BSA Free

Application
Recommended Usage

Immunohistochemistry

1:50 - 1:200

Immunohistochemistry-Paraffin

1:50 - 1:200
Application Notes
For IHC-Paraffin, HIER pH 6 retrieval is recommended.

Formulation, Preparation, and Storage

Purification

Affinity purified

Formulation

PBS (pH 7.2) and 40% Glycerol

Format

BSA Free

Preservative

0.02% Sodium Azide

Concentration

Concentrations vary lot to lot. See vial label for concentration. If unlisted please contact technical services.

Shipping

The product is shipped with polar packs. Upon receipt, store it immediately at the temperature recommended below.

Stability & Storage

Store at 4C short term. Aliquot and store at -20C long term. Avoid freeze-thaw cycles.

Background: SLC22A13

SLC22A13, also known as ORCTL3/OCTL1, which is a member of the organic cation/anion/zwitterion transporter family, is highly expressed in the kidney, and to a weaker extent, in the brain, heart, and intestine. A functional study of Xenopus oocytes revealed that ORCTL3 functions in the uptake of urate and nicotinate. ORCTL3 may play a role in cyclosporine A-induced hyperuricemia, because cyclosporine A enhances urate uptake by ORCTL3.

Alternate Names

OAT10, OCTL1, OCTL3, ORCTL3, ORCTL-3, Organic cation transporter-like 3, organic cationic transporter-like 3, organic-cation transporter like 3, solute carrier family 22 (organic anion transporter), member 13, solute carrier family 22 member 13, solute carrier family 22, member 13

Gene Symbol

SLC22A13

Additional SLC22A13 Products

Product Documents for SLC22A13 Antibody - BSA Free

Certificate of Analysis

To download a Certificate of Analysis, please enter a lot number in the search box below.

Product Specific Notices for SLC22A13 Antibody - BSA Free

This product is for research use only and is not approved for use in humans or in clinical diagnosis. Primary Antibodies are guaranteed for 1 year from date of receipt.

Loading...
Loading...
Loading...
Loading...