Skip to main content

SLC1A5 Antibody (HL1988) - Azide and BSA Free

Novus Biologicals, part of Bio-Techne | Catalog # NBP3-25686

Recombinant Monoclonal Antibody
Novus Biologicals, part of Bio-Techne
Catalog #
Availability
Size / Price
Qty
Loading...
NBP3-25686

Key Product Details

Validated by

Biological Validation

Species Reactivity

Human, Mouse, Feline

Applications

Immunohistochemistry, Immunohistochemistry-Paraffin, Western Blot, Immunocytochemistry/ Immunofluorescence

Label

Unconjugated

Antibody Source

Recombinant Monoclonal Rabbit IgG Clone # HL1988 expressed in HEK293

Format

Azide and BSA Free

Concentration

Concentrations vary lot to lot. See vial label for concentration. If unlisted please contact technical services.

Product Specifications

Immunogen

Recombinant protein encompassing a sequence within the C-terminus region of human SLC1A5. The exact sequence is proprietary.

Clonality

Monoclonal

Host

Rabbit

Isotype

IgG

Theoretical MW

57 kDa.
Disclaimer note: The observed molecular weight of the protein may vary from the listed predicted molecular weight due to post translational modifications, post translation cleavages, relative charges, and other experimental factors.

Description

Novus Biologicals Rabbit SLC1A5 Antibody (HL1988) - Azide and BSA Free (NBP3-25686) is a recombinant monoclonal antibody validated for use in IHC, WB and ICC/IF. All Novus Biologicals antibodies are covered by our 100% guarantee.

Scientific Data Images for SLC1A5 Antibody (HL1988) - Azide and BSA Free

SLC1A5 Antibody (HL1988) - Azide and BSA Free

Western Blot: SLC1A5 Antibody (HL1988) - Azide and BSA Free [NBP3-25686] -

Western Blot: SLC1A5 Antibody (HL1988) - Azide and BSA Free [NBP3-25686] - Untreated (-) and treated (+) HT-29 whole cell extract (30 ug) were separated by 10% SDS-PAGE, and the membrane was blotted with SLC1A5 antibody [HL1988] (NBP3-25686) diluted at 1:2000. The HRP-conjugated anti-rabbit IgG antibody was used to detect the primary antibody.
SLC1A5 Antibody (HL1988) - Azide and BSA Free

Immunohistochemistry-Paraffin: SLC1A5 Antibody (HL1988) - Azide and BSA Free [NBP3-25686] -

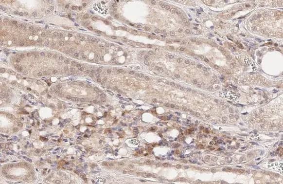
Immunohistochemistry-Paraffin: SLC1A5 Antibody (HL1988) - Azide and BSA Free [NBP3-25686] - SLC1A5 antibody [HL1988] detects SLC1A5 protein at cell membrane and cytoplasm by immunohistochemical analysis. Sample: Paraffin-embedded cat kidney. SLC1A5 stained by SLC1A5 antibody [HL1988] (NBP3-25686) diluted at 1:100. Antigen Retrieval: Citrate buffer, pH 6.0, 15 min
SLC1A5 Antibody (HL1988) - Azide and BSA Free

Immunohistochemistry-Paraffin: SLC1A5 Antibody (HL1988) - Azide and BSA Free [NBP3-25686] -

Immunohistochemistry-Paraffin: SLC1A5 Antibody (HL1988) - Azide and BSA Free [NBP3-25686] - SLC1A5 antibody [HL1988] detects SLC1A5 protein at cell membrane by immunohistochemical analysis. Sample: Paraffin-embedded mouse tissues. SLC1A5 stained by SLC1A5 antibody [HL1988] (NBP3-25686) diluted at 1:100. Antigen Retrieval: Citrate buffer, pH 6.0, 15 min

Applications for SLC1A5 Antibody (HL1988) - Azide and BSA Free

Application
Recommended Usage

Immunocytochemistry/ Immunofluorescence

Assay dependent

Immunohistochemistry

Assay dependent

Immunohistochemistry-Paraffin

Assay dependent

Western Blot

1:500-1:3000

Formulation, Preparation, and Storage

Purification

Protein A purified

Formulation

PBS

Format

Azide and BSA Free

Preservative

No Preservative

Concentration

Concentrations vary lot to lot. See vial label for concentration. If unlisted please contact technical services.

Shipping

The product is shipped with polar packs. Upon receipt, store it immediately at the temperature recommended below.

Stability & Storage

Store at 4C short term. Aliquot and store at -20C long term. Avoid freeze-thaw cycles.

Background: SLC1A5

SLC1A5 has a broad substrate specificity, a preference for zwitterionic amino acids, and a sodium-dependence. It accepts as substrates all neutral amino acids, including glutamine, asparagine, and branched-chain and aromatic amino acids, and excludes methylated

Long Name

SLC1A5

Alternate Names

AAAT, ASCT2, ATBO, baboon M7 virus receptor, M7V1, M7VS1, R16, RD114 virus receptor, RDRC

Gene Symbol

SLC1A5

Additional SLC1A5 Products

Product Documents for SLC1A5 Antibody (HL1988) - Azide and BSA Free

Certificate of Analysis

To download a Certificate of Analysis, please enter a lot number in the search box below.

Product Specific Notices for SLC1A5 Antibody (HL1988) - Azide and BSA Free

This product is for research use only and is not approved for use in humans or in clinical diagnosis. Primary Antibodies are guaranteed for 1 year from date of receipt.

Loading...
Loading...
Loading...
Loading...