Skip to main content

SLC16A3 Antibody - BSA Free

Novus Biologicals, part of Bio-Techne | Catalog # NBP2-94186

Novus Biologicals, part of Bio-Techne
Catalog #
Availability
Size / Price
Qty
Loading...
NBP2-94186-0.02ml
NBP2-94186-0.1ml

Key Product Details

Species Reactivity

Human, Mouse, Rat

Applications

Immunohistochemistry, Immunohistochemistry-Paraffin, Western Blot, ELISA

Label

Unconjugated

Antibody Source

Polyclonal Rabbit IgG

Format

BSA Free

Concentration

Please see the vial label for concentration. If unlisted please contact technical services.

Product Specifications

Immunogen

Recombinant fusion protein containing a sequence corresponding to amino acids 410-465 of human SLC16A3 (NP_004198.1). IRKKPKEPQPEVAAAEEEKLHKPPADSGVDLREVEHFLKAEPEKNGEVVHTPETSV

Clonality

Polyclonal

Host

Rabbit

Isotype

IgG

Theoretical MW

49 kDa.
Disclaimer note: The observed molecular weight of the protein may vary from the listed predicted molecular weight due to post translational modifications, post translation cleavages, relative charges, and other experimental factors.

Description

Novus Biologicals Rabbit SLC16A3 Antibody - BSA Free (NBP2-94186) is a polyclonal antibody validated for use in IHC, WB and ELISA. All Novus Biologicals antibodies are covered by our 100% guarantee.

Scientific Data Images for SLC16A3 Antibody - BSA Free

Western Blot: SLC16A3 AntibodyAzide and BSA Free [NBP2-94186]

Western Blot: SLC16A3 AntibodyAzide and BSA Free [NBP2-94186]

Western Blot: SLC16A3 Antibody [NBP2-94186] - Western blot analysis of extracts of various cell lines, using SLC16A3 antibody (NBP2-94186) at 1:1000 dilution. Secondary antibody: HRP Goat Anti-Rabbit IgG (H+L) at 1:10000 dilution. Lysates/proteins: 25ug per lane. Blocking buffer: 3% nonfat dry milk in TBST. Detection: ECL Basic Kit. Exposure time: 30s.
Immunohistochemistry-Paraffin: SLC16A3 Antibody - Azide and BSA Free [NBP2-94186]

Immunohistochemistry-Paraffin: SLC16A3 Antibody - Azide and BSA Free [NBP2-94186]

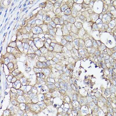
Immunohistochemistry-Paraffin: SLC16A3 Antibody [NBP2-94186] - Immunohistochemistry of paraffin-embedded human esophageal cancer using SLC16A3 Rabbit pAb (NBP2-94186) at dilution of 1:100 (40x lens). Perform high pressure antigen retrieval with 10 mM citrate buffer pH 6.0 before commencing with IHC staining protocol.
Immunohistochemistry-Paraffin: SLC16A3 Antibody - Azide and BSA Free [NBP2-94186]

Immunohistochemistry-Paraffin: SLC16A3 Antibody - Azide and BSA Free [NBP2-94186]

Immunohistochemistry-Paraffin: SLC16A3 Antibody [NBP2-94186] - Immunohistochemistry of paraffin-embedded human breast cancer using SLC16A3 Rabbit pAb (NBP2-94186) at dilution of 1:100 (40x lens). Perform high pressure antigen retrieval with 10 mM citrate buffer pH 6.0 before commencing with IHC staining protocol.

Applications for SLC16A3 Antibody - BSA Free

Application
Recommended Usage

ELISA

Recommended starting concentration is 1 μg/mL. Please optimize the concentration based on your specific assay requirements.

Immunohistochemistry

1:50 - 1:200

Western Blot

1:500 - 1:1000

Formulation, Preparation, and Storage

Purification

Affinity purified

Formulation

PBS (pH 7.3), 50% glycerol

Format

BSA Free

Preservative

0.09% Sodium Azide

Concentration

Please see the vial label for concentration. If unlisted please contact technical services.

Shipping

The product is shipped with polar packs. Upon receipt, store it immediately at the temperature recommended below.

Stability & Storage

Store at -20C. Avoid freeze-thaw cycles.

Background: SLC16A3

Monocarboxylates, such as lactate and pyruvate, play an integral role in cellular metabolism. Lactic acid is produced in large quantities as a result of glycolysis, which provides the majority of ATP to cells under normal physiological conditions. However, accumulation of lactic acid leads to a decrease in intracellular pH and cessation of glycolysis. In order for glycolysis to continue at a high rate, lactic acid must be transported out of the cell. This transport process is carried out by a family of monocarboxylate transporters (MCTs),which function as proton symports and are stereoselective for L-lactate.The MCT family consists of at least eight members, MCT1-8, which contain between 10-12 transmembrane-helical (TM) domains, with the amino and carboxy termini located in the cytoplasm. MCT1 is widely expressed and is the major form of MCTs in tumor cells and erythrocytes. MCT2 is highly expressed in liver and testis, while MCT3 and MCT4 are predominantly expressed in skeletal muscle.

Long Name

Solute Carrier Family 16 Member 3

Alternate Names

MCT3, MCT4

Gene Symbol

SLC16A3

Additional SLC16A3 Products

Product Documents for SLC16A3 Antibody - BSA Free

Certificate of Analysis

To download a Certificate of Analysis, please enter a lot number in the search box below.

Product Specific Notices for SLC16A3 Antibody - BSA Free

This product is for research use only and is not approved for use in humans or in clinical diagnosis. Primary Antibodies are guaranteed for 1 year from date of receipt.

Loading...
Loading...
Loading...
Loading...