SLC16A14 Antibody - BSA Free
Novus Biologicals, part of Bio-Techne | Catalog # NBP1-83542
Key Product Details
Species Reactivity
Human
Applications
Immunohistochemistry, Immunohistochemistry-Paraffin, Immunocytochemistry/ Immunofluorescence
Label
Unconjugated
Antibody Source
Polyclonal Rabbit IgG
Format
BSA Free
Concentration
Concentrations vary lot to lot. See vial label for concentration. If unlisted please contact technical services.
Product Specifications
Immunogen
This antibody was developed against Recombinant Protein corresponding to amino acids: YTSHEDIGYDFEDGPKDKKTLKPHPNIDGG
Clonality
Polyclonal
Host
Rabbit
Isotype
IgG
Scientific Data Images for SLC16A14 Antibody - BSA Free
Immunocytochemistry/ Immunofluorescence: SLC16A14 Antibody [NBP1-83542]
Immunocytochemistry/Immunofluorescence: SLC16A14 Antibody [NBP1-83542] - Staining of human cell line U-251 MG shows localization to endoplasmic reticulum. Antibody staining is shown in green.Immunohistochemistry-Paraffin: SLC16A14 Antibody [NBP1-83542]
Immunohistochemistry-Paraffin: SLC16A14 Antibody [NBP1-83542] - Staining of human Fallopian tube shows strong membranous and cytoplasmic positivity in glandular cells.Immunohistochemistry-Paraffin: SLC16A14 Antibody [NBP1-83542]
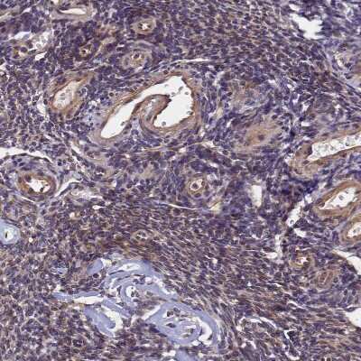
Immunohistochemistry-Paraffin: SLC16A14 Antibody [NBP1-83542] - Staining of human duodenum shows moderate cytoplasmic positivity in glandular cells.Applications for SLC16A14 Antibody - BSA Free
Application
Recommended Usage
Immunocytochemistry/ Immunofluorescence
0.25-2 ug/ml
Immunohistochemistry
1:200 - 1:500
Immunohistochemistry-Paraffin
1:200 - 1:500
Application Notes
For IHC-Paraffin, HIER pH 6 retrieval is recommended. ICC/IF Fixation Permeabilization: Use PFA/Triton X-100.
Formulation, Preparation, and Storage
Purification
Affinity purified
Formulation
PBS (pH 7.2) and 40% Glycerol
Format
BSA Free
Preservative
0.02% Sodium Azide
Concentration
Concentrations vary lot to lot. See vial label for concentration. If unlisted please contact technical services.
Shipping
The product is shipped with polar packs. Upon receipt, store it immediately at the temperature recommended below.
Stability & Storage
Store at 4C short term. Aliquot and store at -20C long term. Avoid freeze-thaw cycles.
Background: SLC16A14
Alternate Names
MCT 14, MCT14member 14, monocarboxylate transporter 14, Solute carrier family 16 member 14, solute carrier family 16, member 14 (monocarboxylic acid transporter 14)
Gene Symbol
SLC16A14
Additional SLC16A14 Products
Product Documents for SLC16A14 Antibody - BSA Free
Product Specific Notices for SLC16A14 Antibody - BSA Free
This product is for research use only and is not approved for use in humans or in clinical diagnosis. Primary Antibodies are guaranteed for 1 year from date of receipt.
Loading...
Loading...
Loading...
Loading...