SLC10A3 Antibody - BSA Free
Novus Biologicals, part of Bio-Techne | Catalog # NBP3-45342
Key Product Details
Species Reactivity
Human, Mouse
Applications
Immunohistochemistry, Western Blot, ELISA, Immunocytochemistry/ Immunofluorescence
Label
Unconjugated
Antibody Source
Polyclonal Rabbit IgG
Format
BSA Free
Concentration
Please see the vial label for concentration. If unlisted please contact technical services.
Product Specifications
Immunogen
solute carrier family 10(sodium/bile acid cotransporter family), member 3. (Uniprot# P09131)
Clonality
Polyclonal
Host
Rabbit
Isotype
IgG
Description
Novus Biologicals Rabbit SLC10A3 Antibody - BSA Free (NBP3-45342) is a polyclonal antibody validated for use in IHC, WB, ELISA and ICC/IF. All Novus Biologicals antibodies are covered by our 100% guarantee.
Scientific Data Images for SLC10A3 Antibody - BSA Free
Western Blot: SLC10A3 Antibody - BSA Free [NBP3-45342] -
Western Blot: SLC10A3 Antibody - BSA Free [NBP3-45342] - Mouse liver tissue were subjected to SDS PAGE followed by western blot with (SLC10A3 antibody) at dilution of 1:500Immunohistochemistry: SLC10A3 Antibody - BSA Free [NBP3-45342] -
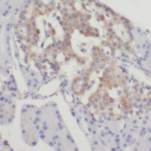
Immunohistochemistry: SLC10A3 Antibody - BSA Free [NBP3-45342] - Immunohistochemistry of paraffin-embedded human pancreas using (SLC10A3 antibody) at dilution of 1:50Applications for SLC10A3 Antibody - BSA Free
Application
Recommended Usage
Immunocytochemistry/ Immunofluorescence
1:20-1:200
Immunohistochemistry
1:20-1:200
Western Blot
1:500-1:2000
Application Notes
Theoretical Molecular Weight is 50 kDa, 44 kDa
Formulation, Preparation, and Storage
Purification
Immunogen affinity purified
Formulation
PBS, 50% Glycerol, pH (7.3)
Format
BSA Free
Preservative
0.02% Sodium Azide
Concentration
Please see the vial label for concentration. If unlisted please contact technical services.
Shipping
The product is shipped with polar packs. Upon receipt, store it immediately at the temperature recommended below.
Stability & Storage
Store at -20C. Avoid freeze-thaw cycles.
Background: SLC10A3
Alternate Names
solute carrier family 10 (sodium/bile acid cotransporter family), member 3
Gene Symbol
SLC10A3
Additional SLC10A3 Products
Product Documents for SLC10A3 Antibody - BSA Free
Product Specific Notices for SLC10A3 Antibody - BSA Free
This product is for research use only and is not approved for use in humans or in clinical diagnosis. Primary Antibodies are guaranteed for 1 year from date of receipt.
Loading...
Loading...
Loading...
Loading...