Skip to main content

SKIV2L2 Antibody

Novus Biologicals, part of Bio-Techne | Catalog # NB100-1574

Novus Biologicals, part of Bio-Techne
Catalog #
Availability
Size / Price
Qty
Loading...
NB100-1574

Key Product Details

Validated by

Knockout/Knockdown

Species Reactivity

Validated:

Human, Mouse

Cited:

Human

Applications

Validated:

Immunohistochemistry, Immunohistochemistry-Paraffin, Western Blot, Immunocytochemistry, Immunoprecipitation, Knockdown Validated

Cited:

Western Blot

Label

Unconjugated

Antibody Source

Polyclonal Rabbit IgG

Concentration

0.2 mg/ml

Product Specifications

Immunogen

The immunogen recognized by this antibody maps to a region between residues 100 and 150 of human SuperKiller Viralicidic Activity 2-Like 2 using the numbering given in entry NP_056175.2 (GeneID 23517).

Clonality

Polyclonal

Host

Rabbit

Isotype

IgG

Theoretical MW

118 kDa.
Disclaimer note: The observed molecular weight of the protein may vary from the listed predicted molecular weight due to post translational modifications, post translation cleavages, relative charges, and other experimental factors.

Scientific Data Images for SKIV2L2 Antibody

Western Blot: SKIV2L2 Antibody [NB100-1574]

Western Blot: SKIV2L2 Antibody [NB100-1574]

Western Blot: SKIV2L2 Antibody [NB100-1574] - Analysis of SKIV2L2 in HeLa cell lysates treated with (1) si-control and (2) SKIV2L2 siRNA using anti-SKIV2L2 antibody. Image from verified customer review.
Western Blot: SKIV2L2 Antibody [NB100-1574]

Western Blot: SKIV2L2 Antibody [NB100-1574]

Western Blot: SKIV2L2 Antibody [NB100-1574] - Whole cell lysate (50 ug) from HeLa, 293T, Jurkat, mouse TCMK-1, and mouse NIH3T3 cells prepared using NETN lysis buffer. Antibody: Affinity purified rabbit antiSKIV2L2 antibody used for WB at 0.1 ug/ml. Detection: Chemiluminescence with an exposure time of 3 minutes.
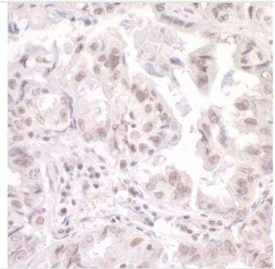
Immunohistochemistry-Paraffin: SKIV2L2 Antibody [NB100-1574]

Immunohistochemistry-Paraffin: SKIV2L2 Antibody [NB100-1574]

Immunohistochemistry-Paraffin: SKIV2L2 Antibody [NB100-1574] - FFPE section of human lung carcinoma. Antibody: Affinity purified rabbit anti-SKIV2L2 used at a dilution of 1:200 (1ug/ml). Detection: DAB

Applications for SKIV2L2 Antibody

Application
Recommended Usage

Immunocytochemistry

1:100 - 1:500

Immunohistochemistry

1:100-1:500

Immunohistochemistry-Paraffin

1:100-1:500

Immunoprecipitation

2 - 5 ug/mg lysate

Western Blot

1:2000-1:10000
Application Notes
For WB: When blotting for mouse SKIV2L2, lower dilutions of antibody and/or longer exposure times may be required. Epitope retrieval with citrate buffer pH 6.0 is recommended for FFPE tissue sections. SKIV2L2 antibody validated for WB from a verified customer review.

Reviewed Applications

Read 1 review rated 5 using NB100-1574 in the following applications:

Formulation, Preparation, and Storage

Purification

Immunogen affinity purified

Formulation

TBS and 0.1% BSA

Preservative

0.09% Sodium Azide

Concentration

0.2 mg/ml

Shipping

The product is shipped with polar packs. Upon receipt, store it immediately at the temperature recommended below.

Stability & Storage

Store at 4C. Do not freeze.

Background: SKIV2L2

SKIV2L2 is also known as hMtr4 and KIAA0052 and is part of the nuclear exosome involved in ribosomal RNA processing. Alternate designations for SKIV2L2 include superkiller viralicidic activity 2-like 2, ATP-dependent helicase SKIV2L2, KIAA0052, Dob1, and MGC142069.

Alternate Names

ATP-dependent helicase SKIV2L2, Dob1, EC 3.6.1, EC 3.6.4.13, fSAP118, KIAA0052functional spliceosome-associated protein 118, MGC142069, Mtr4superkiller viralicidic activity 2-like 2, superkiller viralicidic activity 2-like 2 (S. cerevisiae)

Entrez Gene IDs

23517 (Human); 72198 (Mouse)

Gene Symbol

MTREX

UniProt

Additional SKIV2L2 Products

Product Documents for SKIV2L2 Antibody

Certificate of Analysis

To download a Certificate of Analysis, please enter a lot number in the search box below.

Product Specific Notices for SKIV2L2 Antibody

This product is for research use only and is not approved for use in humans or in clinical diagnosis. Primary Antibodies are guaranteed for 1 year from date of receipt.

Loading...
Loading...
Loading...
Loading...