Skip to main content

SKAP Antibody - BSA Free

Novus Biologicals, part of Bio-Techne | Catalog # NBP1-94007

Novus Biologicals, part of Bio-Techne
Catalog #
Availability
Size / Price
Qty
Loading...
NBP1-94007
NBP1-94007-25ul

Key Product Details

Validated by

Orthogonal Validation

Species Reactivity

Human

Applications

Validated:

Immunohistochemistry, Immunohistochemistry-Paraffin, Immunocytochemistry/ Immunofluorescence, Simple Western

Cited:

Western Blot, Immunocytochemistry/ Immunofluorescence

Label

Unconjugated

Antibody Source

Polyclonal Rabbit IgG

Format

BSA Free

Concentration

Concentrations vary lot to lot. See vial label for concentration. If unlisted please contact technical services.

Product Specifications

Immunogen

This antibody was developed against Recombinant Protein corresponding to amino acids: TVYSLQPPSALSGGQPADTQTRATSKSLLPVRSKEVDVSKQLHSGGPENDVTKITKLRRENGQMKATDTATRRNVRKGYKPLSKQ

Reactivity Notes

Reactivity reported in scientific literature (PMID: 23891108).

Clonality

Polyclonal

Host

Rabbit

Isotype

IgG

Scientific Data Images for SKAP Antibody - BSA Free

Immunocytochemistry/ Immunofluorescence: SKAP Antibody [NBP1-94007]

Immunocytochemistry/ Immunofluorescence: SKAP Antibody [NBP1-94007]

Immunocytochemistry/Immunofluorescence: SKAP Antibody [NBP1-94007] - Staining of human cell line A-431 shows localization to cytosol & microtubules. Antibody staining is shown in green.
Immunohistochemistry-Paraffin: SKAP Antibody [NBP1-94007]

Immunohistochemistry-Paraffin: SKAP Antibody [NBP1-94007]

Immunohistochemistry-Paraffin: SKAP Antibody [NBP1-94007] - Staining of human testis shows moderate to strong cytoplasmic positivity in cells in seminiferous ducts.
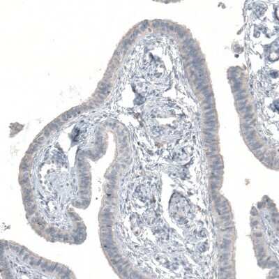
Immunohistochemistry-Paraffin: SKAP Antibody [NBP1-94007]

Immunohistochemistry-Paraffin: SKAP Antibody [NBP1-94007]

Immunohistochemistry-Paraffin: SKAP Antibody [NBP1-94007] - Staining of human Fallopian tube shows no positivity in glandular cells as expected.

Applications for SKAP Antibody - BSA Free

Application
Recommended Usage

Immunocytochemistry/ Immunofluorescence

0.25-2 ug/ml

Immunohistochemistry

1:1000 - 1:2500

Immunohistochemistry-Paraffin

1:1000 - 1:2500

Simple Western

1:20
Application Notes
For IHC-Paraffin, HIER pH 6 retrieval is recommended. ICC/IF Fixation Permeabilization: Use PFA/Triton X-100.

In Simple Western only 10 - 15 uL of the recommended dilution is used per data point.
See Simple Western Antibody Database for Simple Western validation: Tested in RT-4 and U-251MG, separated by Size, antibody dilution of 1:20, apparent MW was 34 kDa. Separated by Size-Wes, Sally Sue/Peggy Sue.

Formulation, Preparation, and Storage

Purification

Affinity purified

Formulation

PBS (pH 7.2) and 40% Glycerol

Format

BSA Free

Preservative

0.02% Sodium Azide

Concentration

Concentrations vary lot to lot. See vial label for concentration. If unlisted please contact technical services.

Shipping

The product is shipped with polar packs. Upon receipt, store it immediately at the temperature recommended below.

Stability & Storage

Store at 4C short term. Aliquot and store at -20C long term. Avoid freeze-thaw cycles.

Background: SKAP

Alternate Names

C15orf23, chromosome 15 open reading frame 23, FLJ14502, HSD11, MGC141728, MGC141729, putative TRAF4-associated factor 1, SKAP, small kinetochore associated protein, TRAF4 associated factor 1, TRAF4AF1

Gene Symbol

KNSTRN

Additional SKAP Products

Product Documents for SKAP Antibody - BSA Free

Certificate of Analysis

To download a Certificate of Analysis, please enter a lot number in the search box below.

Product Specific Notices for SKAP Antibody - BSA Free

This product is for research use only and is not approved for use in humans or in clinical diagnosis. Primary Antibodies are guaranteed for 1 year from date of receipt.

Loading...
Loading...
Loading...
Loading...