Skip to main content

SIRT6 Antibody - BSA Free

Novus Biologicals, part of Bio-Techne | Catalog # NBP2-49668

Novus Biologicals, part of Bio-Techne
Catalog #
Availability
Size / Price
Qty
Loading...
NBP2-49668-25ul
NBP2-49668

Key Product Details

Species Reactivity

Human

Applications

Immunohistochemistry, Immunohistochemistry-Paraffin

Label

Unconjugated

Antibody Source

Polyclonal Rabbit IgG

Format

BSA Free

Concentration

Concentrations vary lot to lot. See vial label for concentration. If unlisted please contact technical services.

Product Specifications

Immunogen

This antibody was developed against a recombinant protein corresponding to amino acids: PTPKLEPKEESPTRINGSIPAGPKQEPCAQHNGSEPASPKRERPTSPAPHRPPKRVKA

Clonality

Polyclonal

Host

Rabbit

Isotype

IgG

Description

Novus Biologicals Rabbit SIRT6 Antibody - BSA Free (NBP2-49668) is a polyclonal antibody validated for use in IHC. Anti-SIRT6 Antibody: Cited in 1 publication. All Novus Biologicals antibodies are covered by our 100% guarantee.

Scientific Data Images for SIRT6 Antibody - BSA Free

Immunohistochemistry-Paraffin: SIRT6 Antibody [NBP2-49668]

Immunohistochemistry-Paraffin: SIRT6 Antibody [NBP2-49668]

Immunohistochemistry-Paraffin: SIRT6 Antibody [NBP2-49668] - Staining of human testis shows strong nuclear postivity in cells in seminiferous ducts and Leydig cells.
Immunohistochemistry-Paraffin: SIRT6 Antibody [NBP2-49668]

Immunohistochemistry-Paraffin: SIRT6 Antibody [NBP2-49668]

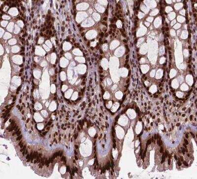
Immunohistochemistry-Paraffin: SIRT6 Antibody [NBP2-49668] - Staining of human colon shows strong nuclear positivity in glandular cells.
Immunohistochemistry-Paraffin: SIRT6 Antibody [NBP2-49668]

Immunohistochemistry-Paraffin: SIRT6 Antibody [NBP2-49668]

Immunohistochemistry-Paraffin: SIRT6 Antibody [NBP2-49668] - Staining of human lymph node shows strong nuclear positivity in germinal center cells and non-germinal center cells.

Applications for SIRT6 Antibody - BSA Free

Application
Recommended Usage

Immunohistochemistry

1:50 - 1:200
Application Notes
For IHC-Paraffin, HIER pH 6 retrieval is recommended.

Formulation, Preparation, and Storage

Purification

Affinity purified

Formulation

PBS (pH 7.2) and 40% Glycerol

Format

BSA Free

Preservative

0.02% Sodium Azide

Concentration

Concentrations vary lot to lot. See vial label for concentration. If unlisted please contact technical services.

Shipping

The product is shipped with polar packs. Upon receipt, store it immediately at the temperature recommended below.

Stability & Storage

Store at 4C short term. Aliquot and store at -20C long term. Avoid freeze-thaw cycles.

Background: SIRT6

Sirtuins regulate epigenetic gene silencing. SIRT6 (Mono-ADP-ribosyltransferase sirtuin-6)--a mouse Sir2 homolog--is a chromatin-associated nuclear ADP-ribosyltransferase protein. It appears to be involved in DNA repair and may also play a role in the ageing process.

Long Name

NAD-dependent protein deacylase sirtuin-6

Alternate Names

EC 2.3.1.286, hSIRT6, SIR2-like protein 6, SIR2L6

Gene Symbol

SIRT6

Additional SIRT6 Products

Product Documents for SIRT6 Antibody - BSA Free

Certificate of Analysis

To download a Certificate of Analysis, please enter a lot number in the search box below.

Product Specific Notices for SIRT6 Antibody - BSA Free

This product is for research use only and is not approved for use in humans or in clinical diagnosis. Primary Antibodies are guaranteed for 1 year from date of receipt.

Loading...
Loading...
Loading...
Loading...