Skip to main content

SIRT4 Antibody - BSA Free

Novus Biologicals, part of Bio-Techne | Catalog # NBP1-80002

Novus Biologicals, part of Bio-Techne
Catalog #
Availability
Size / Price
Qty
Loading...
NBP1-80002

Key Product Details

Species Reactivity

Human

Applications

Immunohistochemistry, Immunohistochemistry-Paraffin, Western Blot

Label

Unconjugated

Antibody Source

Polyclonal Rabbit IgG

Format

BSA Free

Concentration

0.5 mg/ml

Product Specifications

Immunogen

Synthetic peptide directed towards the middle region of human SIRT4. Peptide sequence QVPTCVQCGGHLKPDVVFFGDTVNPDKVDFVHKRVKEADSLLVVGSSLQV. The peptide sequence for this immunogen was taken from within the described region.

Clonality

Polyclonal

Host

Rabbit

Isotype

IgG

Theoretical MW

53 kDa.
Disclaimer note: The observed molecular weight of the protein may vary from the listed predicted molecular weight due to post translational modifications, post translation cleavages, relative charges, and other experimental factors.

Description

The addition of 50% glycerol is optional for those storing this antibody at -20C and not aliquoting smaller units. However, please note that glycerol may interrupt some downstream antibody applications and should be added with caution.

Scientific Data Images for SIRT4 Antibody - BSA Free

Western Blot: SIRT4 Antibody [NBP1-80002]

Western Blot: SIRT4 Antibody [NBP1-80002]

Western Blot: SIRT4 Antibody [NBP1-80002] - Reccomended Titration: 0.2 - 1 ug/ml ELISA Titer: 1:62500 Positive Control: MCF7 cell lysate
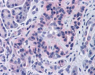
Immunohistochemistry: SIRT4 Antibody [NBP1-80002]

Immunohistochemistry: SIRT4 Antibody [NBP1-80002]

Immunohistochemistry: SIRT4 Antibody [NBP1-80002] - Staining of a pancreas crossection.
Western Blot: SIRT4 Antibody [NBP1-80002]

Western Blot: SIRT4 Antibody [NBP1-80002]

Western Blot: SIRT4 Antibody [NBP1-80002] - Antibody Titration: 1 ug/ml Human Liver.

Applications for SIRT4 Antibody - BSA Free

Application
Recommended Usage

Immunohistochemistry

1:10-1:500

Immunohistochemistry-Paraffin

1:10-1:500

Western Blot

1.0 ug/ml

Formulation, Preparation, and Storage

Purification

Affinity purified

Formulation

PBS, 2% Sucrose

Format

BSA Free

Preservative

0.09% Sodium Azide

Concentration

0.5 mg/ml

Shipping

The product is shipped with polar packs. Upon receipt, store it immediately at the temperature recommended below.

Stability & Storage

Store at 4C short term. Aliquot and store at -20C long term. Avoid freeze-thaw cycles.

Background: Sirtuin 4/SIRT4

SIRT4 encodes a member of the sirtuin family of proteins, homologs to the yeast Sir2 protein. Members of the sirtuin family are characterized by a sirtuin core domain and grouped into four classes. The functions of human sirtuins have not yet been determined; however, yeast sirtuin proteins are known to regulate epigenetic gene silencing and suppress recombination of rDNA. Studies suggest that the human sirtuins may function as intracellular regulatory proteins with mono-ADP-ribosyltransferase activity. The protein encoded by this gene is included in class IV of the sirtuin family.

Long Name

Silent Mating Type Information Regulation 4 Homolog

Alternate Names

SIR2L4, SIRT4

Gene Symbol

SIRT4

Additional Sirtuin 4/SIRT4 Products

Product Documents for SIRT4 Antibody - BSA Free

Certificate of Analysis

To download a Certificate of Analysis, please enter a lot number in the search box below.

Product Specific Notices for SIRT4 Antibody - BSA Free

This product is for research use only and is not approved for use in humans or in clinical diagnosis. Primary Antibodies are guaranteed for 1 year from date of receipt.

Loading...
Loading...
Loading...
Loading...