Skip to main content

SIRPB2 Antibody - BSA Free

Novus Biologicals, part of Bio-Techne | Catalog # NBP2-33512

Novus Biologicals, part of Bio-Techne
Catalog #
Availability
Size / Price
Qty
Loading...
NBP2-33512-25ul
NBP2-33512

Key Product Details

Species Reactivity

Human

Applications

Immunohistochemistry, Immunohistochemistry-Paraffin, Immunocytochemistry/ Immunofluorescence

Label

Unconjugated

Antibody Source

Polyclonal Rabbit IgG

Format

BSA Free

Concentration

Concentrations vary lot to lot. See vial label for concentration. If unlisted please contact technical services.

Product Specifications

Immunogen

This antibody was developed against a recombinant protein corresponding to amino acids: GETLLLRCMVVGSCTDGMIKWVKVSTQDQQEIYNFKRGSFPGVMPMIQRTSEPLNCDYSIYIHNVTREHTGTYHCVRFDGLSEHSEMKSDEGTSVLVKGAGDPEPDLWIIQPQELVLGTTGDTVFLNCTV

Clonality

Polyclonal

Host

Rabbit

Isotype

IgG

Description

Novus Biologicals Rabbit SIRPB2 Antibody - BSA Free (NBP2-33512) is a polyclonal antibody validated for use in IHC and ICC/IF. All Novus Biologicals antibodies are covered by our 100% guarantee.

Scientific Data Images for SIRPB2 Antibody - BSA Free

Immunocytochemistry/ Immunofluorescence: SIRPB2 Antibody [NBP2-33512]

Immunocytochemistry/ Immunofluorescence: SIRPB2 Antibody [NBP2-33512]

Immunocytochemistry/Immunofluorescence: SIRPB2 Antibody [NBP2-33512] - Staining of human cell line A-431 shows localization to nuclear bodies. Antibody staining is shown in green.
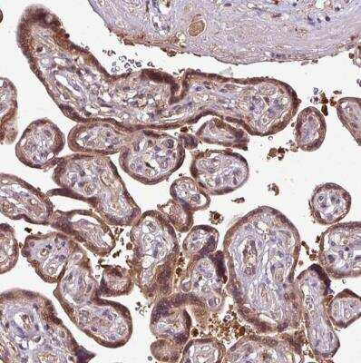
Immunohistochemistry-Paraffin: SIRPB2 Antibody [NBP2-33512]

Immunohistochemistry-Paraffin: SIRPB2 Antibody [NBP2-33512]

Immunohistochemistry-Paraffin: SIRPB2 Antibody [NBP2-33512] - Staining of human placenta shows weak to moderate membranous positivity in trophoblastic cells.
Immunohistochemistry-Paraffin: SIRPB2 Antibody [NBP2-33512]

Immunohistochemistry-Paraffin: SIRPB2 Antibody [NBP2-33512]

Immunohistochemistry-Paraffin: SIRPB2 Antibody [NBP2-33512] - Staining of human skeletal muscle shows no positivity in myocytes as expected.

Applications for SIRPB2 Antibody - BSA Free

Application
Recommended Usage

Immunocytochemistry/ Immunofluorescence

0.25-2 ug/ml

Immunohistochemistry

1:50 - 1:200

Immunohistochemistry-Paraffin

1:50 - 1:200
Application Notes
For IHC-Paraffin, HIER pH 6 retrieval is recommended. ICC/IF Fixation Permeabilization: Use PFA/Triton X-100.

Formulation, Preparation, and Storage

Purification

Affinity purified

Formulation

PBS (pH 7.2) and 40% Glycerol

Format

BSA Free

Preservative

0.02% Sodium Azide

Concentration

Concentrations vary lot to lot. See vial label for concentration. If unlisted please contact technical services.

Shipping

The product is shipped with polar packs. Upon receipt, store it immediately at the temperature recommended below.

Stability & Storage

Store at 4C short term. Aliquot and store at -20C long term. Avoid freeze-thaw cycles.

Background: SIRP beta 2

Long Name

Signal-regulatory Protein beta 2

Alternate Names

PTPN1L, PTPNS1L3

Gene Symbol

SIRPB2

UniProt

Additional SIRP beta 2 Products

Product Documents for SIRPB2 Antibody - BSA Free

Certificate of Analysis

To download a Certificate of Analysis, please enter a lot number in the search box below.

Product Specific Notices for SIRPB2 Antibody - BSA Free

This product is for research use only and is not approved for use in humans or in clinical diagnosis. Primary Antibodies are guaranteed for 1 year from date of receipt.

Loading...
Loading...
Loading...
Loading...