Skip to main content

SIPA1L2 Antibody - BSA Free

Novus Biologicals, part of Bio-Techne | Catalog # NBP1-77090

Novus Biologicals, part of Bio-Techne

Key Product Details

Species Reactivity

Human, Mouse, Rat

Applications

Immunohistochemistry, Immunohistochemistry-Paraffin, Western Blot, ELISA, Immunocytochemistry/ Immunofluorescence

Label

Unconjugated

Antibody Source

Polyclonal Rabbit IgG

Format

BSA Free

Concentration

1 mg/ml

Product Specifications

Immunogen

Antibody was raised against a 19 amino acid synthetic peptide from near the amino terminus of human SIPA1L2. The immunogen is located within the first 50 amino acids of SIPA1L2. Amino Acid Squence: SKFKDPPRIMQSDDYFARK

Clonality

Polyclonal

Host

Rabbit

Isotype

IgG

Description

Novus Biologicals Rabbit SIPA1L2 Antibody - BSA Free (NBP1-77090) is a polyclonal antibody validated for use in IHC, WB, ELISA and ICC/IF. All Novus Biologicals antibodies are covered by our 100% guarantee.

Scientific Data Images for SIPA1L2 Antibody - BSA Free

Western Blot: SIPA1L2 AntibodyBSA Free [NBP1-77090]

Western Blot: SIPA1L2 AntibodyBSA Free [NBP1-77090]

Western Blot: SIPA1L2 Antibody [NBP1-77090] - Analysis of SIPA1L2 in rat brain tissue lysate with SIPA1L2 antibody at 1 ug/ml in (A) the absence and (B) the presence of blocking peptide.
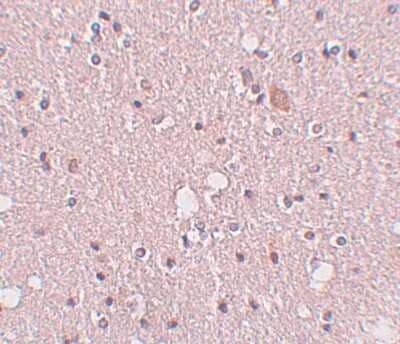
Immunohistochemistry-Paraffin: SIPA1L2 Antibody - BSA Free [NBP1-77090]

Immunohistochemistry-Paraffin: SIPA1L2 Antibody - BSA Free [NBP1-77090]

Immunohistochemistry-Paraffin: SIPA1L2 Antibody [NBP1-77090] - Human brain tissue with SIPA1L2 antibody at 5 ug/ml.
SIPA1L2 Antibody - BSA Free

Immunocytochemistry/ Immunofluorescence: SIPA1L2 Antibody - BSA Free [NBP1-77090] -

Immunocytochemistry/ Immunofluorescence: SIPA1L2 Antibody - BSA Free [NBP1-77090] - Immunofluorescence of SIPA1L2 in human brain tissue with SIPA1L2 antibody at 20 ug/mL.

Applications for SIPA1L2 Antibody - BSA Free

Application
Recommended Usage

ELISA

1:100-1:2000

Immunocytochemistry/ Immunofluorescence

20 ug/ml

Immunohistochemistry

5 ug/ml

Immunohistochemistry-Paraffin

5 ug/ml

Western Blot

0.5-1 ug/ml

Formulation, Preparation, and Storage

Purification

Peptide affinity purified

Formulation

PBS

Format

BSA Free

Preservative

0.02% Sodium Azide

Concentration

1 mg/ml

Shipping

The product is shipped with polar packs. Upon receipt, store it immediately at the temperature recommended below.

Stability & Storage

Store at 4C short term. Aliquot and store at -20C long term. Avoid freeze-thaw cycles.

Background: SIPA1L2

Signal-induced proliferation associated-like protein 2 (SIPA1L2) is a member of the SIPA1 family of RapGAPs. Little is known of the role of the SIPA1L2 protein, but recent studies of SIPA indicate that its deregulation can cause myeloproliferative stem cell disorders in mice and increased metastases in human cancers. Other studies suggest SIPA1L1 may play important roles in embryo development and control of cell proliferation. Based on the amount of homology between SIPA family members, it is likely that SIPA1L2 plays a role in embryo development and cell proliferation, possibly including oncogenesis.

Alternate Names

FLJ23632, signal-induced proliferation-associated 1 like 2, signal-induced proliferation-associated 1-like protein 2, SIPA1-like protein 2, SPA-1-like 2, SPAL2

Gene Symbol

SIPA1L2

Additional SIPA1L2 Products

Product Documents for SIPA1L2 Antibody - BSA Free

Certificate of Analysis

To download a Certificate of Analysis, please enter a lot number in the search box below.

Product Specific Notices for SIPA1L2 Antibody - BSA Free

This product is for research use only and is not approved for use in humans or in clinical diagnosis. Primary Antibodies are guaranteed for 1 year from date of receipt.

Loading...
Loading...
Loading...
Loading...