Skip to main content

SIPA1 Antibody - BSA Free

Novus Biologicals, part of Bio-Techne | Catalog # NBP1-77947

Novus Biologicals, part of Bio-Techne
Catalog #
Availability
Size / Price
Qty
Loading...
NBP1-77947

Key Product Details

Species Reactivity

Human, Mouse

Applications

Immunohistochemistry, Immunohistochemistry-Paraffin, Western Blot, ELISA

Label

Unconjugated

Antibody Source

Polyclonal Rabbit IgG

Format

BSA Free

Concentration

Please see the vial label for concentration. If unlisted please contact technical services.

Product Specifications

Immunogen

This affinity purified SIPA1 Antibody was prepared from whole rabbit serum produced by repeated immunizations with a synthetic peptide corresponding to a region near the amino terminus of mouse SIPA1. (Uniprot: P46062)

Reactivity Notes

A BLAST analysis was used to suggest cross-reactivity with SIPA1 from mouse, human and rat based on a 100% homology with the immunizing sequence. Cross-reactivity with SIPA1 from other sources has not been determined.

Localization

Perinuclear region

Clonality

Polyclonal

Host

Rabbit

Isotype

IgG

Description

This product was affinity purified from monospecific antiserum by immunoaffinity chromatography

Store vial at -20C prior to opening. Aliquot contents and freeze at -20C or below for extended storage. Avoid cycles of freezing and thawing. Centrifuge product if not completely clear after standing at room temperature. This product is stable for several weeks at 4C as an undiluted liquid. Dilute only prior to immediate use.

Scientific Data Images for SIPA1 Antibody - BSA Free

Western Blot: SIPA1 Antibody [NBP1-77947]

Western Blot: SIPA1 Antibody [NBP1-77947]

Western Blot: SIPA1 Antibody [NBP1-77947] - Detection of over-expressed Sipa1 in lysates from mouse 3T3 cells transfected with Sipa1 (lane 1). Endogenous Sipa1 is detected in lane 2, which contains lysate from 3T3 cells mock-transfected with LacZGLB, although at a significantly reduced level compared to transfected cells. Lane 3 and 4 are similar to lanes 1 and 2 except the antibody was preincubated with the immunizing peptide prior to reaction with the membrane. The identity of the higher and lower molecular weight bands is unknown. The band at ~130 kDa, indicated by the arrowhead, corresponds to recombinant Sipa1. Primary antibody was used at 1:1250.
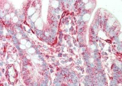
Immunohistochemistry: SIPA1 Antibody [NBP1-77947]

Immunohistochemistry: SIPA1 Antibody [NBP1-77947]

Immunohistochemistry: SIPA1 Antibody [NBP1-77947] - Tissue: small intestine. Fixation: formalin fixed paraffin embedded. Primary antibody: Anti-Sipa1 at 5 ug/mL for 1 h at RT. Secondary antibody: Peroxidase rabbit secondary antibody at 1:10,000 for 45 min at RT. Staining: Sipa-1 as precipitated red signal with hematoxylin purple nuclear counterstain.
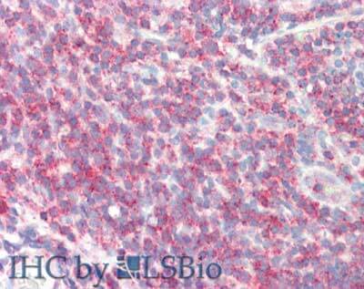
SIPA1 Antibody

Immunohistochemistry: SIPA1 Antibody [NBP1-77947] -

Immunohistochemistry: SIPA1 Antibody [NBP1-77947] - Affinity purified anti-Sipa1 antibody was used at 1.25 ug/ml to detect signal in a variety of tissues including multi-human, multi-brain and multi-cancer slides. This image shows moderate to strong positive staining of lymphocytes within human tonsil at 40X. Tissue was formalin-fixed and paraffin embedded. The image shows localization of the antibody as the precipitated red signal, with a hematoxylin purple nuclear counterstain. Personal Communication, Tina Roush, LifeSpanBiosciences, Seattle, WA.

Applications for SIPA1 Antibody - BSA Free

Application
Recommended Usage

ELISA

1:20000

Immunohistochemistry

1.25-2.5 ug/ml

Immunohistochemistry-Paraffin

1:10-1:500

Western Blot

1:1000-1:5000
Application Notes
This affinity purified antibody has been tested for use in ELISA, immunohistochemistry, and western blotting. Specific conditions for reactivity should be optimized by the end user. Expect a band approximately 130 kDa in size corresponding

Formulation, Preparation, and Storage

Purification

Immunogen affinity purified

Formulation

0.02 M Potassium Phosphate, 0.15 M Sodium Chloride, pH 7.2

Format

BSA Free

Preservative

0.01% Sodium Azide

Concentration

Please see the vial label for concentration. If unlisted please contact technical services.

Shipping

The product is shipped with polar packs. Upon receipt, store it immediately at the temperature recommended below.

Stability & Storage

Store at -20C short term. Aliquot and store at -80C long term. Avoid freeze-thaw cycles.

Background: SIPA1

Sipa1 (signal-induced proliferation associated gene 1) is a mitogen-induced GTPase activating protein (GAP). It exhibits a specific GAP activity for Ras-related regulatory proteins Rap1 and Rap2, but not for Ran or other small GTPases. This protein may also hamper mitogen-induced cell cycle progression when abnormally or prematurely expressed. Sipa1 is localized to the perinuclear region. Two alternatively spliced variants encoding the same isoform have been characterized to date.

Alternate Names

GTPase-activating protein Spa-1, MGC102688, MGC17037, p130 SPA-1, signal-induced proliferation-associated 1, signal-induced proliferation-associated protein 1, Sipa-1, SPA1signal-induced proliferation-associated gene 1

Gene Symbol

SIPA1

Additional SIPA1 Products

Product Documents for SIPA1 Antibody - BSA Free

Certificate of Analysis

To download a Certificate of Analysis, please enter a lot number in the search box below.

Product Specific Notices for SIPA1 Antibody - BSA Free

This product is for research use only and is not approved for use in humans or in clinical diagnosis. Primary Antibodies are guaranteed for 1 year from date of receipt.

Loading...
Loading...
Loading...
Loading...