Sin3A-associated protein Antibody
Novus Biologicals, part of Bio-Techne | Catalog # NBP3-28930
Key Product Details
Species Reactivity
Human
Applications
Immunohistochemistry, Western Blot, Immunoprecipitation
Label
Unconjugated
Antibody Source
Polyclonal Rabbit IgG
Concentration
Please see the vial label for concentration. If unlisted please contact technical services.
Product Specifications
Immunogen
between 325 and 375
Clonality
Polyclonal
Host
Rabbit
Isotype
IgG
Description
Novus Biologicals Rabbit Sin3A-associated protein Antibody (NBP3-28930) is a polyclonal antibody validated for use in IHC, WB and IP. All Novus Biologicals antibodies are covered by our 100% guarantee.
Scientific Data Images for Sin3A-associated protein Antibody
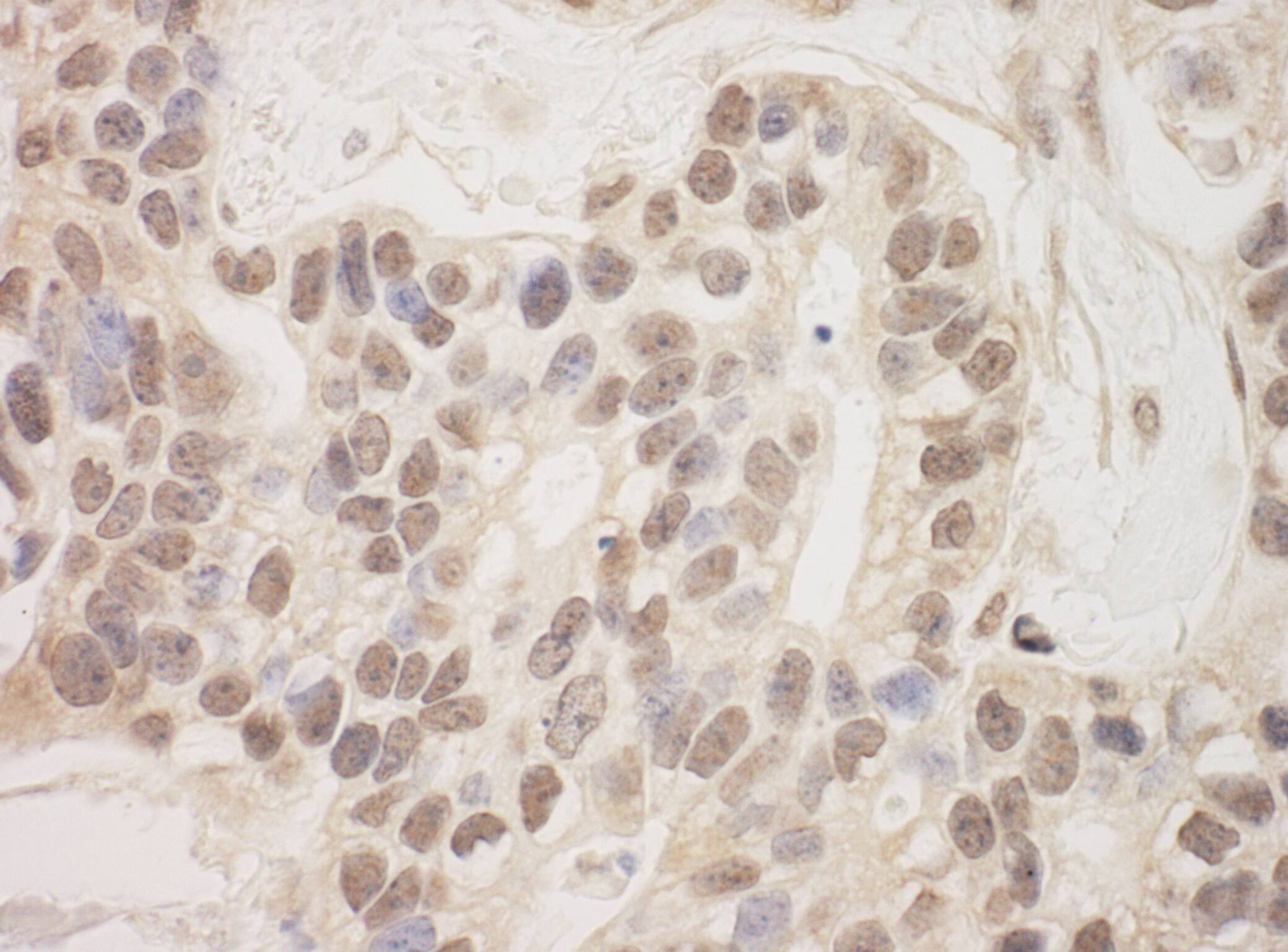
Immunohistochemistry:[NBP3-28930]-
Immunohistochemistry:[NBP3-28930]-Detection of human SAP130 by immunohistochemistry. Sample: FFPE section of human breast carcinoma. Antibody: Affinity purified rabbit anti-SAP130 used at a dilution of 1: 200. Detection: DABImmunohistochemistry:[NBP3-28930]-
Immunohistochemistry:[NBP3-28930]-Sin3A-associated protein AntibodyApplications for Sin3A-associated protein Antibody
Application
Recommended Usage
Immunohistochemistry
Optimal dilutions of this antibody should be experimentally determined.
Immunoprecipitation
Optimal dilutions of this antibody should be experimentally determined.
Western Blot
Optimal dilutions of this antibody should be experimentally determined.
Formulation, Preparation, and Storage
Purification
Affinity purified
Formulation
Tris-buffered Saline 0.1% BSA
Preservative
0.09% Sodium Azide
Concentration
Please see the vial label for concentration. If unlisted please contact technical services.
Shipping
The product is shipped with polar packs. Upon receipt, store it immediately at the temperature recommended below.
Stability & Storage
Store at 4C. Do not freeze.
Background: Sin3A-associated protein
Alternate Names
130 kDa Sin3-associated polypeptide, histone deacetylase complex subunit SAP130, mSin3A-associated protein 130, SAP130, SAP130 Sin3A-associated protein, 130kDa, Sin3-associated polypeptide p130
Gene Symbol
SAP130
Additional Sin3A-associated protein Products
Product Documents for Sin3A-associated protein Antibody
Product Specific Notices for Sin3A-associated protein Antibody
This product is for research use only and is not approved for use in humans or in clinical diagnosis. Primary Antibodies are guaranteed for 1 year from date of receipt.
Loading...
Loading...
Loading...
Loading...