Skip to main content

SIL1 Antibody - BSA Free

Novus Biologicals, part of Bio-Techne | Catalog # NBP2-20363

Novus Biologicals, part of Bio-Techne
Catalog #
Availability
Size / Price
Qty
Loading...
NBP2-20363

Key Product Details

Species Reactivity

Validated:

Human

Predicted:

Primate (100%). Backed by our 100% Guarantee.

Applications

Immunohistochemistry, Immunohistochemistry-Paraffin, Western Blot

Label

Unconjugated

Antibody Source

Polyclonal Rabbit IgG

Format

BSA Free

Concentration

Concentrations vary lot to lot. See vial label for concentration. If unlisted please contact technical services.

Product Specifications

Immunogen

Carrier-protein conjugated synthetic peptide encompassing a sequence within the C-terminus region of human SIL1. The exact sequence is proprietary.

Reactivity Notes

Chimpanzee (100%).

Clonality

Polyclonal

Host

Rabbit

Isotype

IgG

Theoretical MW

52 kDa.
Disclaimer note: The observed molecular weight of the protein may vary from the listed predicted molecular weight due to post translational modifications, post translation cleavages, relative charges, and other experimental factors.

Description

Novus Biologicals Rabbit SIL1 Antibody - BSA Free (NBP2-20363) is a polyclonal antibody validated for use in IHC and WB. All Novus Biologicals antibodies are covered by our 100% guarantee.

Scientific Data Images for SIL1 Antibody - BSA Free

Western Blot: SIL1 Antibody [NBP2-20363]

Western Blot: SIL1 Antibody [NBP2-20363]

Western Blot: SIL1 Antibody [NBP2-20363] - Sample (30 ug of whole cell lysate) A: A431 B: H1299 10% SDS PAGE gel, diluted at 1:1000.
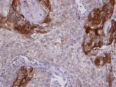
Immunohistochemistry-Paraffin: SIL1 Antibody [NBP2-20363]

Immunohistochemistry-Paraffin: SIL1 Antibody [NBP2-20363]

Immunohistochemistry-Paraffin: SIL1 Antibody [NBP2-20363] - Immunohistochemical analysis of paraffin-embedded TW2. 6 xenograft, using antibody at 1:100 dilution.

Applications for SIL1 Antibody - BSA Free

Application
Recommended Usage

Immunohistochemistry

1:100-1:1000

Immunohistochemistry-Paraffin

1:100-1:1000

Western Blot

1:500-1:3000

Formulation, Preparation, and Storage

Purification

Antigen Affinity-purified

Formulation

PBS, 10% Glycerol

Format

BSA Free

Preservative

0.01% Thimerosal

Concentration

Concentrations vary lot to lot. See vial label for concentration. If unlisted please contact technical services.

Shipping

The product is shipped with polar packs. Upon receipt, store it immediately at the temperature recommended below.

Stability & Storage

Aliquot and store at -20C or -80C. Avoid freeze-thaw cycles.

Background: SIL1

This gene encodes a resident endoplasmic reticulum (ER), N-linked glycoprotein with an N-terminal ER targeting sequence, 2 putative N-glycosylation sites, and a C-terminal ER retention signal. This protein functions as a nucleotide exchange factor for another unfolded protein response protein. Mutations in this gene have been associated with Marinesco-Sjogren syndrome. Alternate transcriptional splice variants have been characterized. [provided by RefSeq]

Alternate Names

BAPMarinesco-Sjogren syndrome, BiP-associated protein, MSS, nucleotide exchange factor SIL1, SIL1 homolog, endoplasmic reticulum chaperone (S. cerevisiae), ULG5

Gene Symbol

SIL1

UniProt

Additional SIL1 Products

Product Documents for SIL1 Antibody - BSA Free

Certificate of Analysis

To download a Certificate of Analysis, please enter a lot number in the search box below.

Product Specific Notices for SIL1 Antibody - BSA Free

This product is for research use only and is not approved for use in humans or in clinical diagnosis. Primary Antibodies are guaranteed for 1 year from date of receipt.

Loading...
Loading...
Loading...
Loading...

⚠ WARNING: This product can expose you to chemicals including mercury, which is known to the State of California to cause reproductive toxicity with developmental effects.  For more information go to www.P65Warnings.ca.gov.