SIL1 Antibody (OTI3E3)
Novus Biologicals, part of Bio-Techne | Catalog # NBP2-02377
Conjugate
Catalog #
Forumulation
Catalog #
Key Product Details
Species Reactivity
Human, Mouse, Rat
Applications
Immunohistochemistry, Immunohistochemistry-Paraffin, Western Blot, Flow Cytometry, Immunocytochemistry/ Immunofluorescence
Label
Unconjugated
Antibody Source
Monoclonal Mouse IgG1 Clone # OTI3E3
Concentration
0.56 mg/ml
Product Specifications
Immunogen
Full length human recombinant protein of human SIL1 (NP_071909) produced in HEK293T cell.
Reactivity Notes
Please note that this antibody is reactive to Mouse and derived from the same host, Mouse. Mouse-On-Mouse blocking reagent may be needed for IHC and ICC experiments to reduce high background signal. You can find these reagents under catalog numbers PK-2200-NB and MP-2400-NB. Please contact Technical Support if you have any questions.
Clonality
Monoclonal
Host
Mouse
Isotype
IgG1
Theoretical MW
52.1 kDa.
Disclaimer note: The observed molecular weight of the protein may vary from the listed predicted molecular weight due to post translational modifications, post translation cleavages, relative charges, and other experimental factors.
Disclaimer note: The observed molecular weight of the protein may vary from the listed predicted molecular weight due to post translational modifications, post translation cleavages, relative charges, and other experimental factors.
Scientific Data Images for SIL1 Antibody (OTI3E3)
Western Blot: SIL1 Antibody (OTI3E3) [NBP2-02377]
Western Blot: SIL1 Antibody (3E3) [NBP2-02377] - HEK293T cells were transfected with the pCMV6-ENTRY control (Left lane) or pCMV6-ENTRY SIL1 (Right lane) cDNA for 48 hrs and lysed. Equivalent amounts of cell lysates (5 ug per lane) were separated by SDS-PAGE and immunoblotted with anti-SIL1.
Immunocytochemistry/Immunofluorescence: SIL1 Antibody (3E3) [NBP2-02377] Staining of COS7 cells transiently transfected by pCMV6-ENTRY SIL1.
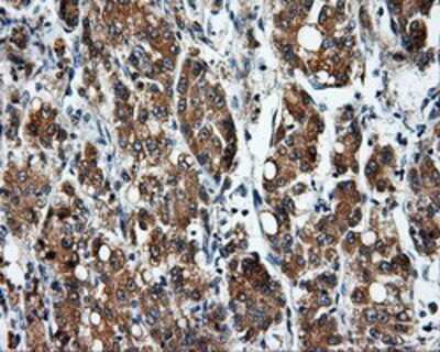
Immunohistochemistry-Paraffin: SIL1 Antibody (OTI3E3) [NBP2-02377]
Immunohistochemistry-Paraffin: SIL1 Antibody (3E3) [NBP2-02377] - Staining of paraffin-embedded liver tissue using anti-SIL1 mouse monoclonal antibody.Applications for SIL1 Antibody (OTI3E3)
Application
Recommended Usage
Flow Cytometry
1:100
Immunocytochemistry/ Immunofluorescence
1:100
Immunohistochemistry
1:100-500
Immunohistochemistry-Paraffin
1:50
Western Blot
1:2000
Formulation, Preparation, and Storage
Purification
Immunogen affinity purified
Formulation
PBS (pH 7.3), 1.0% BSA and 50% Glycerol
Preservative
0.02% Sodium Azide
Concentration
0.56 mg/ml
Shipping
The product is shipped with polar packs. Upon receipt, store it immediately at the temperature recommended below.
Stability & Storage
Store at -20C. Avoid freeze-thaw cycles.
Background: SIL1
Alternate Names
BAPMarinesco-Sjogren syndrome, BiP-associated protein, MSS, nucleotide exchange factor SIL1, SIL1 homolog, endoplasmic reticulum chaperone (S. cerevisiae), ULG5
Entrez Gene IDs
64374 (Human)
Gene Symbol
SIL1
Additional SIL1 Products
Product Documents for SIL1 Antibody (OTI3E3)
Product Specific Notices for SIL1 Antibody (OTI3E3)
This product is for research use only and is not approved for use in humans or in clinical diagnosis. Primary Antibodies are guaranteed for 1 year from date of receipt.
Loading...
Loading...
Loading...
Loading...
Loading...