Skip to main content

SIK1/Snf1lk Antibody - BSA Free

Novus Biologicals, part of Bio-Techne | Catalog # NBP1-76571

Novus Biologicals, part of Bio-Techne

Key Product Details

Species Reactivity

Human

Applications

Immunohistochemistry, Immunohistochemistry-Paraffin, Western Blot, ELISA

Label

Unconjugated

Antibody Source

Polyclonal Rabbit IgG

Format

BSA Free

Concentration

1 mg/ml

Product Specifications

Immunogen

Antibody was raised against an 18 amino acid synthetic peptide near the center of human SIK1. The immunogen is located within amino acids 340 - 390 of SIK1. Amino Acid Squence: ARPGPARQPRPRSSDLS

Specificity

Two isoforms of SIK1 are known to exist; this antibody will detect both isoforms. SIK1 antibody is predicted to not cross-react with other SIK protein family members.

Clonality

Polyclonal

Host

Rabbit

Isotype

IgG

Scientific Data Images for SIK1/Snf1lk Antibody - BSA Free

Western Blot: SIK1/Snf1lk AntibodyBSA Free [NBP1-76571]

Western Blot: SIK1/Snf1lk AntibodyBSA Free [NBP1-76571]

Western Blot: SIK1/Snf1lk Antibody [NBP1-76571] - Human small intestine tissue lysate with SIK1/Snf1lk antibody at 1 ug/mL.
SIK1/Snf1lk Antibody - BSA Free

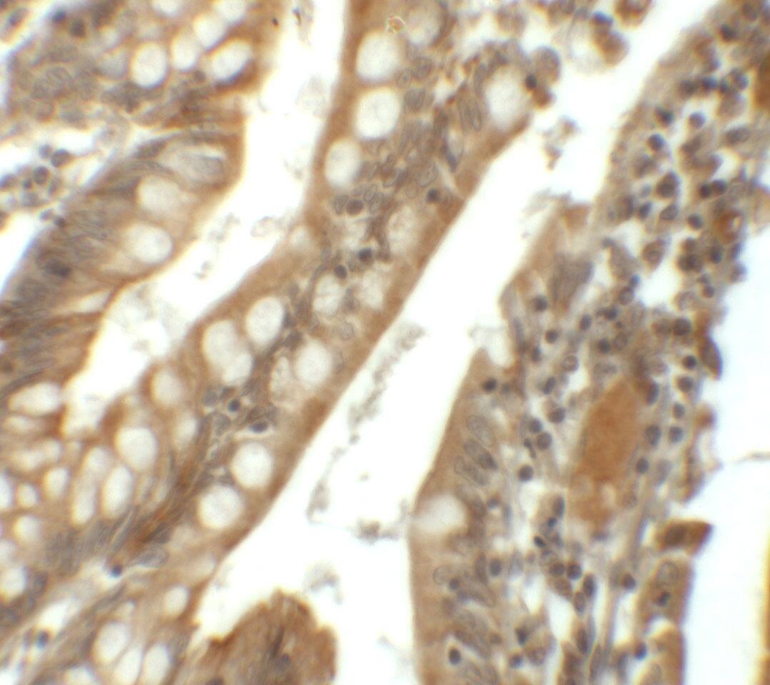
Immunohistochemistry: SIK1/Snf1lk Antibody - BSA Free [NBP1-76571] -

Immunohistochemistry: SIK1/Snf1lk Antibody - BSA Free [NBP1-76571] - Immunohistochemistry of SIK1/Snf1lk in human small intestine tissue with SIK1/Snf1lk antibody at 5 ug/mL.

Applications for SIK1/Snf1lk Antibody - BSA Free

Application
Recommended Usage

ELISA

1:100-1:2000

Immunohistochemistry

5 ug/ml

Immunohistochemistry-Paraffin

5 ug/ml

Western Blot

1 ug/ml

Formulation, Preparation, and Storage

Purification

Peptide affinity purified

Formulation

PBS

Format

BSA Free

Preservative

0.02% Sodium Azide

Concentration

1 mg/ml

Shipping

The product is shipped with polar packs. Upon receipt, store it immediately at the temperature recommended below.

Stability & Storage

Store at 4C short term. Aliquot and store at -20C long term. Avoid freeze-thaw cycles.

Background: SIK1/Snf1lk

Salt-inducible kinase 1 (SIK1), also known as SNF1LK or MSK, plays a role in histone modification and G2/M cell cycle regulation. It is a 783 amino acid protein that contains one UBA domain and belongs to the Ser/Thr protein kinase family (AMPK subfamily). Localized to both the nucleus and the cytoplasm, SIK1 is a class II HDAC kinase that uses magnesium as a cofactor to catalyze the ATP-dependent phosphorylation of target proteins and is thought to be important for the early stages of skeletal muscle growth and myocardial cell differentiation.

Long Name

Serine/threonine-protein kinase SIK1

Alternate Names

SIK-1, SIK1, SNF1LK

Gene Symbol

SIK1

Additional SIK1/Snf1lk Products

Product Documents for SIK1/Snf1lk Antibody - BSA Free

Certificate of Analysis

To download a Certificate of Analysis, please enter a lot number in the search box below.

Product Specific Notices for SIK1/Snf1lk Antibody - BSA Free

This product is for research use only and is not approved for use in humans or in clinical diagnosis. Primary Antibodies are guaranteed for 1 year from date of receipt.

Loading...
Loading...
Loading...
Loading...