Skip to main content

Siglec-9 Antibody (OTI1D9)

Novus Biologicals, part of Bio-Techne | Catalog # NBP1-47969

Novus Biologicals, part of Bio-Techne

Key Product Details

Species Reactivity

Human, Canine, Monkey

Applications

Immunohistochemistry, Immunohistochemistry-Paraffin, Western Blot

Label

Unconjugated

Antibody Source

Monoclonal Mouse IgG1 Clone # OTI1D9

Concentration

0.7 mg/ml

Product Specifications

Immunogen

Full length human recombinant protein of human SIGLEC9 (NP_055256) produced in HEK293T cell.

Specificity

This antibody is specific for Homo sapiens sialic acid binding Ig-like lectin 9 (SIGLEC9).

Clonality

Monoclonal

Host

Mouse

Isotype

IgG1

Theoretical MW

50.1 kDa.
Disclaimer note: The observed molecular weight of the protein may vary from the listed predicted molecular weight due to post translational modifications, post translation cleavages, relative charges, and other experimental factors.

Description

Novus Biologicals Mouse Siglec-9 Antibody (OTI1D9) (NBP1-47969) is a monoclonal antibody validated for use in IHC and WB. All Novus Biologicals antibodies are covered by our 100% guarantee.

Scientific Data Images for Siglec-9 Antibody (OTI1D9)

Western Blot: Siglec-9 Antibody (OTI1D9) [NBP1-47969]

Western Blot: Siglec-9 Antibody (OTI1D9) [NBP1-47969]

Western Blot: Siglec-9 Antibody (1D9) [NBP1-47969] - Analysis of extracts (35ug) from 9 different cell lines by using anti-Siglec-9 monoclonal antibody.
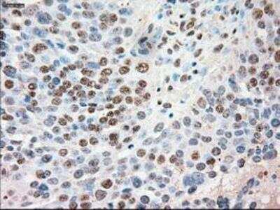
Immunohistochemistry-Paraffin: Siglec-9 Antibody (OTI1D9) [NBP1-47969]

Immunohistochemistry-Paraffin: Siglec-9 Antibody (OTI1D9) [NBP1-47969]

Immunohistochemistry-Paraffin: Siglec-9 Antibody (1D9) [NBP1-47969] - Staining of paraffin-embedded Human pancreas tissue using anti-Siglec-9 mouse monoclonal antibody.
Western Blot: Siglec-9 Antibody (OTI1D9) [NBP1-47969]

Western Blot: Siglec-9 Antibody (OTI1D9) [NBP1-47969]

Western Blot: Siglec-9 Antibody (1D9) [NBP1-47969] - HEK293T cells were transfected with the pCMV6-ENTRY control (Left lane) or pCMV6-ENTRY Siglec-9 (Right lane) cDNA for 48 hrs and lysed. Equivalent amounts of cell lysates (5 ug per lane) were separated by SDS-PAGE and immunoblotted with anti-Siglec-9.

Applications for Siglec-9 Antibody (OTI1D9)

Application
Recommended Usage

Immunohistochemistry

1:50

Immunohistochemistry-Paraffin

1:50

Western Blot

1:20000-40000

Formulation, Preparation, and Storage

Purification

Immunogen affinity purified

Formulation

PBS (pH 7.3), 1.0% BSA and 50% Glycerol

Preservative

0.02% Sodium Azide

Concentration

0.7 mg/ml

Shipping

The product is shipped with polar packs. Upon receipt, store it immediately at the temperature recommended below.

Stability & Storage

Store at -20C. Avoid freeze-thaw cycles.

Background: Siglec-9

Putative adhesion molecule that mediates sialic-acid dependent binding to cells.Preferentially binds to alpha-2,3- or alpha-2,6-linked sialic acid. The sialic acid recognition site may be masked by cis interactions with sialic acids on the same cell surface.

Long Name

Sialic Acid Binding Ig-like Lectin 9

Alternate Names

CD329, OBBP-Like, Siglec9

Entrez Gene IDs

27180 (Human)

Gene Symbol

SIGLEC9

Additional Siglec-9 Products

Product Documents for Siglec-9 Antibody (OTI1D9)

Certificate of Analysis

To download a Certificate of Analysis, please enter a lot number in the search box below.

Product Specific Notices for Siglec-9 Antibody (OTI1D9)

This product is for research use only and is not approved for use in humans or in clinical diagnosis. Primary Antibodies are guaranteed for 1 year from date of receipt.

Loading...
Loading...
Loading...
Loading...