Skip to main content

SHP-2/PTPN11 Antibody - BSA Free

Novus Biologicals, part of Bio-Techne | Catalog # NBP1-33064

Novus Biologicals, part of Bio-Techne
Catalog #
Availability
Size / Price
Qty
Loading...
NBP1-33064

Key Product Details

Validated by

Knockout/Knockdown

Species Reactivity

Validated:

Human, Mouse, Rat

Predicted:

Bovine (98%), Chicken (98%), Rhesus Macaque (100%), Xenopus (95%). Backed by our 100% Guarantee.

Applications

Knockout Validated, Immunohistochemistry, Immunohistochemistry-Paraffin, Western Blot

Label

Unconjugated

Antibody Source

Polyclonal Rabbit IgG

Format

BSA Free

Concentration

Concentrations vary lot to lot. See vial label for concentration. If unlisted please contact technical services.

Product Specifications

Immunogen

Recombinant protein encompassing a sequence within the C-terminus region of human SHP-2/PTPN11. The exact sequence is proprietary.

Reactivity Notes

Xenopus laevis (95%).

Localization

Cytoplasm

Clonality

Polyclonal

Host

Rabbit

Isotype

IgG

Theoretical MW

68 kDa.
Disclaimer note: The observed molecular weight of the protein may vary from the listed predicted molecular weight due to post translational modifications, post translation cleavages, relative charges, and other experimental factors.

Description

Novus Biologicals Knockout (KO) Validated Rabbit SHP-2/PTPN11 Antibody - BSA Free (NBP1-33064) is a polyclonal antibody validated for use in IHC and WB. All Novus Biologicals antibodies are covered by our 100% guarantee.

Scientific Data Images for SHP-2/PTPN11 Antibody - BSA Free

Western Blot: SHP-2/PTPN11 Antibody [NBP1-33064]

Western Blot: SHP-2/PTPN11 Antibody [NBP1-33064]

Western Blot: SHP-2/PTPN11 Antibody [NBP1-33064] - Wild-type (WT) and SHP2 knockout (KO) 293T cell extracts (30 ug) were separated by 7.5% SDS-PAGE, and the membrane was blotted with SHP-2 antibody diluted at 1:500. HRP-conjugated anti-rabbit IgG antibody was used to detect the primary antibody
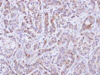
Immunohistochemistry-Paraffin: SHP-2/PTPN11 Antibody [NBP1-33064]

Immunohistochemistry-Paraffin: SHP-2/PTPN11 Antibody [NBP1-33064]

Immunohistochemistry-Paraffin: SHP-2/PTPN11 Antibody [NBP1-33064] - Paraffin-embedded BT483 xenograft.SHP2 antibody dilution: 1:500.
Western Blot: SHP-2/PTPN11 Antibody [NBP1-33064]

Western Blot: SHP-2/PTPN11 Antibody [NBP1-33064]

Western Blot: SHP-2/PTPN11 Antibody [NBP1-33064] - Sample (50 ug of whole cell lysate) A: Mouse brain 7. 5% SDS PAGE, antibody diluted at 1:500.

Applications for SHP-2/PTPN11 Antibody - BSA Free

Application
Recommended Usage

Immunohistochemistry

1:100-1:1000

Immunohistochemistry-Paraffin

1:100-1:1000

Western Blot

1:500-1:3000

Formulation, Preparation, and Storage

Purification

Antigen Affinity-purified

Formulation

PBS, 20% Glycerol

Format

BSA Free

Preservative

0.025% Proclin 300

Concentration

Concentrations vary lot to lot. See vial label for concentration. If unlisted please contact technical services.

Shipping

The product is shipped with polar packs. Upon receipt, store it immediately at the temperature recommended below.

Stability & Storage

Aliquot and store at -20C or -80C. Avoid freeze-thaw cycles.

Background: SHP-2

SHP-2 (also called PTP2C, SH-PTP2, PTP1D, SH-PTP3, Syp and PTPN11) is a protein tyrosine phosphatase (PTP) expressed in most cell types (unlike SHP-1), (1). SHP-2 is involved in t the signal transduction stimulated by EGF, PDGF and Insulin. After cell stimulation, SHP-2 (as well as SHP-1), translocates from cytosol to the plasma membrane and binds to tyrosine-phosphorylated receptors through their SH2 domains, becoming activated in the process (2). When phosphorylated, SHP-2 has been shown to bind Grb2, EGFR, PDGFR, IRS-1 via its SH2 domain (3). Over expression of SHP-2 leads to Juvenile Myelo-monocytic Leukemia and Noonan syndrome (4-5).

Long Name

Src Homology Region 2 Domain Phosphatase 2

Alternate Names

PTP1D, PTP2C, PTPN11, SH-PTP2, SHP2

Entrez Gene IDs

5781 (Human)

Gene Symbol

PTPN11

Additional SHP-2 Products

Product Documents for SHP-2/PTPN11 Antibody - BSA Free

Certificate of Analysis

To download a Certificate of Analysis, please enter a lot number in the search box below.

Product Specific Notices for SHP-2/PTPN11 Antibody - BSA Free

This product is for research use only and is not approved for use in humans or in clinical diagnosis. Primary Antibodies are guaranteed for 1 year from date of receipt.

Loading...
Loading...
Loading...
Loading...

⚠ WARNING: This product can expose you to chemicals including mercury, which is known to the State of California to cause reproductive toxicity with developmental effects.  For more information go to www.P65Warnings.ca.gov.