SHP-2/PTPN11 Antibody (6D9) - BSA Free
Novus Biologicals, part of Bio-Techne | Catalog # NBP2-37454
Key Product Details
Species Reactivity
Human
Applications
CyTOF-ready, ELISA, Flow Cytometry, Immunocytochemistry/ Immunofluorescence, Immunohistochemistry, Immunohistochemistry-Paraffin, Western Blot
Label
Unconjugated
Antibody Source
Monoclonal Mouse IgG1 Clone # 6D9
Format
BSA Free
Concentration
1 mg/ml
Product Specifications
Immunogen
Purified recombinant fragment of human SHP-2/PTPN11 (AA: 263-329) expressed in E. Coli.
Clonality
Monoclonal
Host
Mouse
Isotype
IgG1
Theoretical MW
68.4 kDa.
Disclaimer note: The observed molecular weight of the protein may vary from the listed predicted molecular weight due to post translational modifications, post translation cleavages, relative charges, and other experimental factors.
Disclaimer note: The observed molecular weight of the protein may vary from the listed predicted molecular weight due to post translational modifications, post translation cleavages, relative charges, and other experimental factors.
Description
Novus Biologicals Mouse SHP-2/PTPN11 Antibody (6D9) - BSA Free (NBP2-37454) is a monoclonal antibody validated for use in IHC, WB, ELISA, Flow and ICC/IF. All Novus Biologicals antibodies are covered by our 100% guarantee.
Scientific Data Images for SHP-2/PTPN11 Antibody (6D9) - BSA Free
Western Blot: SHP-2/PTPN11 Antibody (6D9)BSA Free [NBP2-37454]
Western Blot: SHP-2/PTPN11 Antibody (6D9) [NBP2-37454] - Analysis using PTPN11 mAb against human PTPN11 recombinant protein. (Expected MW is 33.4 kDa)Immunocytochemistry/ Immunofluorescence: SHP-2/PTPN11 Antibody (6D9) - BSA Free [NBP2-37454]
Immunocytochemistry/Immunofluorescence: SHP-2/PTPN11 Antibody (6D9) [NBP2-37454] - Analysis of HeLa cells using PTPN11 mouse mAb (green). Blue: DRAQ5 fluorescent DNA dye.Immunohistochemistry-Paraffin: SHP-2/PTPN11 Antibody (6D9) - BSA Free [NBP2-37454]
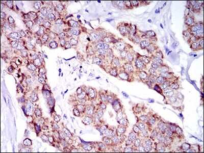
Immunohistochemistry-Paraffin: SHP-2/PTPN11 Antibody (6D9) [NBP2-37454] - Analysis of breast cancer tissues using PTPN11 mouse mAb with DAB staining.Applications for SHP-2/PTPN11 Antibody (6D9) - BSA Free
Application
Recommended Usage
ELISA
1:10000
Flow Cytometry
1:200 - 1:400
Immunocytochemistry/ Immunofluorescence
1:200 - 1:1000
Immunohistochemistry
1:200 - 1:1000
Western Blot
1:500 - 1:2000
Application Notes
This antibody is Cytof ready.
Formulation, Preparation, and Storage
Purification
Protein G purified
Formulation
PBS
Format
BSA Free
Preservative
0.05% Sodium Azide
Concentration
1 mg/ml
Shipping
The product is shipped with polar packs. Upon receipt, store it immediately at the temperature recommended below.
Stability & Storage
Store at 4C short term. Aliquot and store at -20C long term. Avoid freeze-thaw cycles.
Background: SHP-2
Long Name
Src Homology Region 2 Domain Phosphatase 2
Alternate Names
PTP1D, PTP2C, PTPN11, SH-PTP2, SHP2
Gene Symbol
PTPN11
Additional SHP-2 Products
Product Documents for SHP-2/PTPN11 Antibody (6D9) - BSA Free
Product Specific Notices for SHP-2/PTPN11 Antibody (6D9) - BSA Free
This product is for research use only and is not approved for use in humans or in clinical diagnosis. Primary Antibodies are guaranteed for 1 year from date of receipt.
Loading...
Loading...
Loading...
Loading...
Loading...