Skip to main content

SHMT2 Antibody - BSA Free

Novus Biologicals, part of Bio-Techne | Catalog # NBP3-37977

Novus Biologicals, part of Bio-Techne
Catalog #
Availability
Size / Price
Qty
Loading...
NBP3-37977-100ul
NBP3-37977-20ul

Key Product Details

Species Reactivity

Human, Mouse, Rat

Applications

ELISA, Immunocytochemistry/ Immunofluorescence, Immunohistochemistry, Immunohistochemistry-Paraffin, Immunoprecipitation, Western Blot

Label

Unconjugated

Antibody Source

Polyclonal Rabbit IgG

Format

BSA Free

Concentration

Please see the vial label for concentration. If unlisted please contact technical services.

Product Specifications

Immunogen

Recombinant fusion protein containing a sequence corresponding to amino acids 265-504 of human SHMT2 (NP_005403.2).

Sequence:
PSPFKHADIVTTTTHKTLRGARSGLIFYRKGVKAVDPKTGREIPYTFEDRINFAVFPSLQGGPHNHAIAAVAVALKQACTPMFREYSLQVLKNARAMADALLERGYSLVSGGTDNHLVLVDLRPKGLDGARAERVLELVSITANKNTCPGDRSAITPGGLRLGAPALTSRQFREDDFRRVVDFIDEGVNIGLEVKSKTAKLQDFKSFLLKDSETSQRLANLRQRVEQFARAFPMPGFDEH

Clonality

Polyclonal

Host

Rabbit

Isotype

IgG

Theoretical MW

56 kDa.
Disclaimer note: The observed molecular weight of the protein may vary from the listed predicted molecular weight due to post translational modifications, post translation cleavages, relative charges, and other experimental factors.

Description

Novus Biologicals Rabbit SHMT2 Antibody - BSA Free (NBP3-37977) is a polyclonal antibody validated for use in IHC, WB, ELISA, ICC/IF and IP. All Novus Biologicals antibodies are covered by our 100% guarantee.

Scientific Data Images for SHMT2 Antibody - BSA Free

SHMT2 Antibody

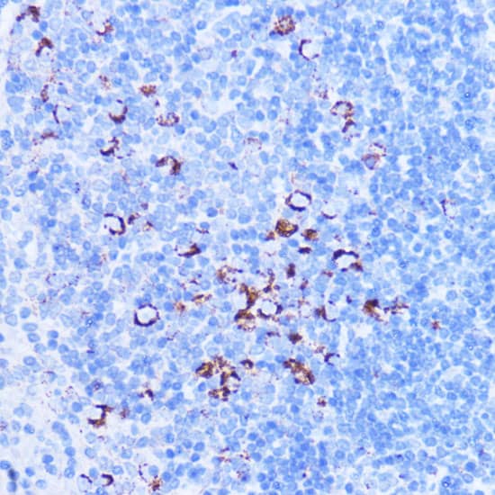
Immunohistochemistry: SHMT2 Antibody [NBP3-37977] -

Immunohistochemistry: SHMT2 Antibody [NBP3-37977] - Immunohistochemistry analysis of paraffin-embedded Rat spleen using SHMT2 Rabbit pAb at dilution of 1:100 (40x lens). Microwave antigen retrieval performed with 0.01M PBS Buffer (pH 7.2) prior to IHC staining.
SHMT2 Antibody

Immunohistochemistry: SHMT2 Antibody [NBP3-37977] -

Immunohistochemistry: SHMT2 Antibody [NBP3-37977] - Immunohistochemistry analysis of paraffin-embedded Human liver cancer using SHMT2 Rabbit pAb at dilution of 1:100 (40x lens). Microwave antigen retrieval performed with 0.01M PBS Buffer (pH 7.2) prior to IHC staining.
SHMT2 Antibody

Western Blot: SHMT2 Antibody [NBP3-37977] -

Western Blot: SHMT2 Antibody [NBP3-37977] - Western blot analysis of lysates from SW620 cells, using SHMT2 Rabbit pAb at 1:1000 dilution.
Secondary antibody: HRP-conjugated Goat anti-Rabbit IgG (H+L) at 1:10000 dilution.
Lysates/proteins: 25ug per lane.
Blocking buffer: 3% nonfat dry milk in TBST.
Detection: ECL Basic Kit.
Exposure time: 1s.

Applications for SHMT2 Antibody - BSA Free

Application
Recommended Usage

Immunocytochemistry/ Immunofluorescence

1:50 - 1:200

Immunohistochemistry-Paraffin

1:50 - 1:100

Immunoprecipitation

0.5ug - 4ug antibody for 200ug - 400ug extracts of whole cells

Western Blot

1:500 - 1:1000

Formulation, Preparation, and Storage

Purification

Affinity purified

Formulation

PBS (pH 7.3), 50% glycerol

Format

BSA Free

Preservative

0.09% Sodium Azide

Concentration

Please see the vial label for concentration. If unlisted please contact technical services.

Shipping

The product is shipped with polar packs. Upon receipt, store it immediately at the temperature recommended below.

Stability & Storage

Store at -20C. Avoid freeze-thaw cycles.

Background: SHMT2

The SHMT2 gene encodes the mitochondrial form of a pyridoxal phosphate-dependent enzyme that catalyzes the reversible reaction of serine and tetrahydrofolate to glycine and 5,10-methylene tetrahydrofolate. The encoded product is primarily responsible for glyci

Long Name

Serine hydroxymethyltransferase, mitochondrial

Alternate Names

EC 2.1.2.1, GLY A+, GLYA, glycine auxotroph A, human complement for hamster, Glycine hydroxymethyltransferase, serine aldolase, serine hydroxymethylase, serine hydroxymethyltransferase 2 (mitochondrial), serine hydroxymethyltransferase, mitochondrial, Serine methylase, SHMT, threonine aldolase

Gene Symbol

SHMT2

Additional SHMT2 Products

Product Documents for SHMT2 Antibody - BSA Free

Certificate of Analysis

To download a Certificate of Analysis, please enter a lot number in the search box below.

Product Specific Notices for SHMT2 Antibody - BSA Free

This product is for research use only and is not approved for use in humans or in clinical diagnosis. Primary Antibodies are guaranteed for 1 year from date of receipt.

Loading...
Loading...
Loading...
Loading...