Skip to main content

SHMT2 Antibody - BSA Free

Novus Biologicals, part of Bio-Techne | Catalog # NBP1-80755

Novus Biologicals, part of Bio-Techne
Catalog #
Availability
Size / Price
Qty
Loading...
NBP1-80755-25ul
NBP1-80755

Key Product Details

Validated by

Orthogonal Validation, Independent Antibodies

Species Reactivity

Validated:

Human, Mouse, Rat

Cited:

Human

Applications

Validated:

Immunohistochemistry, Immunohistochemistry-Paraffin, Western Blot, Immunocytochemistry/ Immunofluorescence

Cited:

Western Blot, Immunocytochemistry/ Immunofluorescence

Label

Unconjugated

Antibody Source

Polyclonal Rabbit IgG

Format

BSA Free

Concentration

Concentrations vary lot to lot. See vial label for concentration. If unlisted please contact technical services.

Product Specifications

Immunogen

This antibody was developed against Recombinant Protein corresponding to amino acids: GQLVRMAIRAQHSNAAQTQTGEANRGWTGQESLSDSDPEMWELLQREKDRQCRGLELIASENFCSRAALEAL

Reactivity Notes

Reactivity reported in scientific literature (PMID: 24498411).

Clonality

Polyclonal

Host

Rabbit

Isotype

IgG

Description

Novus Biologicals Rabbit SHMT2 Antibody - BSA Free (NBP1-80755) is a polyclonal antibody validated for use in IHC, WB and ICC/IF. Anti-SHMT2 Antibody: Cited in 4 publications. All Novus Biologicals antibodies are covered by our 100% guarantee.

Scientific Data Images for SHMT2 Antibody - BSA Free

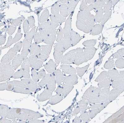
Immunohistochemistry-Paraffin: SHMT2 Antibody [NBP1-80755]

Immunohistochemistry-Paraffin: SHMT2 Antibody [NBP1-80755]

Immunohistochemistry-Paraffin: SHMT2 Antibody [NBP1-80755] - Analysis in human liver and skeletal muscle tissues using NBP1-80755 antibody. Corresponding SHMT2 RNA-seq data are presented for the same tissues.
Immunohistochemistry-Paraffin: SHMT2 Antibody [NBP1-80755]

Immunohistochemistry-Paraffin: SHMT2 Antibody [NBP1-80755]

Immunohistochemistry-Paraffin: SHMT2 Antibody [NBP1-80755] - Staining of human duodenum, liver, lymph node and skeletal muscle using Anti-SHMT2 antibody NBP1-80755 (A) shows similar protein distribution across tissues to independent antibody NBP1-80754 (B).
Western Blot: SHMT2 Antibody [NBP1-80755]

Western Blot: SHMT2 Antibody [NBP1-80755]

Western Blot: SHMT2 Antibody [NBP1-80755] - Analysis using Anti-SHMT2 antibody NBP1-80755 (A) shows similar pattern to independent antibody NBP1-80754 (B).

Applications for SHMT2 Antibody - BSA Free

Application
Recommended Usage

Immunocytochemistry/ Immunofluorescence

0.25-2 ug/ml

Immunohistochemistry

1:500 - 1:1000

Immunohistochemistry-Paraffin

1:500 - 1:1000

Western Blot

0.04 - 0.4 ug/ml
Application Notes
For IHC-Paraffin, HIER pH 6 retrieval is recommended. ICC/IF, Fixation Permeabilization: Use PFA/Triton X-100.

Formulation, Preparation, and Storage

Purification

Affinity purified

Formulation

PBS (pH 7.2) and 40% Glycerol

Format

BSA Free

Preservative

0.02% Sodium Azide

Concentration

Concentrations vary lot to lot. See vial label for concentration. If unlisted please contact technical services.

Shipping

The product is shipped with polar packs. Upon receipt, store it immediately at the temperature recommended below.

Stability & Storage

Store at 4C short term. Aliquot and store at -20C long term. Avoid freeze-thaw cycles.

Background: SHMT2

The SHMT2 gene encodes the mitochondrial form of a pyridoxal phosphate-dependent enzyme that catalyzes the reversible reaction of serine and tetrahydrofolate to glycine and 5,10-methylene tetrahydrofolate. The encoded product is primarily responsible for glyci

Long Name

Serine hydroxymethyltransferase, mitochondrial

Alternate Names

EC 2.1.2.1, GLY A+, GLYA, glycine auxotroph A, human complement for hamster, Glycine hydroxymethyltransferase, serine aldolase, serine hydroxymethylase, serine hydroxymethyltransferase 2 (mitochondrial), serine hydroxymethyltransferase, mitochondrial, Serine methylase, SHMT, threonine aldolase

Entrez Gene IDs

6472 (Human)

Gene Symbol

SHMT2

UniProt

Additional SHMT2 Products

Product Documents for SHMT2 Antibody - BSA Free

Certificate of Analysis

To download a Certificate of Analysis, please enter a lot number in the search box below.

Product Specific Notices for SHMT2 Antibody - BSA Free

This product is for research use only and is not approved for use in humans or in clinical diagnosis. Primary Antibodies are guaranteed for 1 year from date of receipt.

Loading...
Loading...
Loading...
Loading...