Skip to main content

SHMT2 Antibody - BSA Free

Novus Biologicals, part of Bio-Techne | Catalog # NBP1-80754

Novus Biologicals, part of Bio-Techne
Catalog #
Availability
Size / Price
Qty
Loading...
NBP1-80754
NBP1-80754-25ul

Key Product Details

Validated by

Orthogonal Validation, Independent Antibodies

Species Reactivity

Validated:

Human, Mouse, Rat

Cited:

Human

Applications

Validated:

Immunohistochemistry, Immunohistochemistry-Paraffin, Western Blot, Immunocytochemistry/ Immunofluorescence

Cited:

Western Blot, Cytometric Bead Assay Standard, IF/IHC

Label

Unconjugated

Antibody Source

Polyclonal Rabbit IgG

Format

BSA Free

Concentration

Concentrations vary lot to lot. See vial label for concentration. If unlisted please contact technical services.

Product Specifications

Immunogen

This antibody was developed against Recombinant Protein corresponding to amino acids: NTCPGDRSAITPGGLRLGAPALTSRQFREDDFRRVVDFIDEGVNIGLEVKSKTAKLQDFKSFLLKDSETSQRLANLRQRVEQFARAF

Reactivity Notes

Human reactivity reported in scientific literature (PMID: 25855294).

Clonality

Polyclonal

Host

Rabbit

Isotype

IgG

Scientific Data Images for SHMT2 Antibody - BSA Free

Immunohistochemistry-Paraffin: SHMT2 Antibody [NBP1-80754]

Immunohistochemistry-Paraffin: SHMT2 Antibody [NBP1-80754]

Immunohistochemistry-Paraffin: SHMT2 Antibody [NBP1-80754] - Staining in human liver and skeletal muscle tissues . Corresponding SHMT2 RNA-seq data are presented for the same tissues.
Immunohistochemistry-Paraffin: SHMT2 Antibody [NBP1-80754]

Immunohistochemistry-Paraffin: SHMT2 Antibody [NBP1-80754]

Immunohistochemistry-Paraffin: SHMT2 Antibody [NBP1-80754] - Staining of human duodenum, liver, lymph node and skeletal muscle using Anti-SHMT2 antibody NBP1-80754 (A) shows similar protein distribution across tissues to independent antibody NBP1-80755 (B).
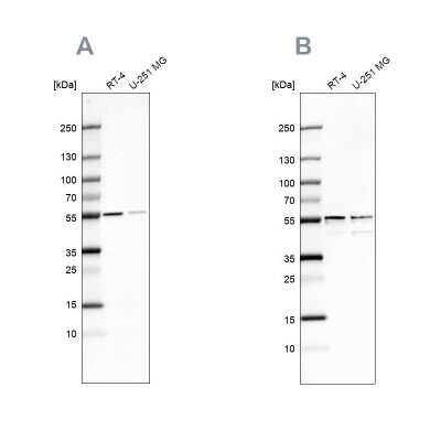
Western Blot: SHMT2 Antibody [NBP1-80754]

Western Blot: SHMT2 Antibody [NBP1-80754]

Western Blot: SHMT2 Antibody [NBP1-80754] - Analysis using Anti-SHMT2 antibody NBP1-80754 (A) shows similar pattern to independent antibody NBP1-80755 (B).

Applications for SHMT2 Antibody - BSA Free

Application
Recommended Usage

Immunocytochemistry/ Immunofluorescence

0.25-2 ug/ml

Immunohistochemistry

1:200 - 1:500

Immunohistochemistry-Paraffin

1:200 - 1:500

Western Blot

0.04-0.4 ug/ml
Application Notes
IHC reported in scientific literature (PMID: 25855294). For IHC-Paraffin, HIER pH 6 retrieval is recommended. ICC/IF Fixation Permeabilization: Use PFA/Triton X-100.

Formulation, Preparation, and Storage

Purification

Affinity purified

Formulation

PBS (pH 7.2) and 40% Glycerol

Format

BSA Free

Preservative

0.02% Sodium Azide

Concentration

Concentrations vary lot to lot. See vial label for concentration. If unlisted please contact technical services.

Shipping

The product is shipped with polar packs. Upon receipt, store it immediately at the temperature recommended below.

Stability & Storage

Store at 4C short term. Aliquot and store at -20C long term. Avoid freeze-thaw cycles.

Background: SHMT2

The SHMT2 gene encodes the mitochondrial form of a pyridoxal phosphate-dependent enzyme that catalyzes the reversible reaction of serine and tetrahydrofolate to glycine and 5,10-methylene tetrahydrofolate. The encoded product is primarily responsible for glyci

Long Name

Serine hydroxymethyltransferase, mitochondrial

Alternate Names

EC 2.1.2.1, GLY A+, GLYA, glycine auxotroph A, human complement for hamster, Glycine hydroxymethyltransferase, serine aldolase, serine hydroxymethylase, serine hydroxymethyltransferase 2 (mitochondrial), serine hydroxymethyltransferase, mitochondrial, Serine methylase, SHMT, threonine aldolase

Entrez Gene IDs

6472 (Human)

Gene Symbol

SHMT2

UniProt

Additional SHMT2 Products

Product Documents for SHMT2 Antibody - BSA Free

Certificate of Analysis

To download a Certificate of Analysis, please enter a lot number in the search box below.

Product Specific Notices for SHMT2 Antibody - BSA Free

This product is for research use only and is not approved for use in humans or in clinical diagnosis. Primary Antibodies are guaranteed for 1 year from date of receipt.

Loading...
Loading...
Loading...
Loading...