Skip to main content

SHKBP1 Antibody - BSA Free

Novus Biologicals, part of Bio-Techne | Catalog # NBP1-31451

Novus Biologicals, part of Bio-Techne
Catalog #
Availability
Size / Price
Qty
Loading...
NBP1-31451

Key Product Details

Species Reactivity

Validated:

Human

Predicted:

Bovine (98%), Mouse (96%), Rat (96%). Backed by our 100% Guarantee.

Applications

Immunohistochemistry, Immunohistochemistry-Paraffin, Western Blot

Label

Unconjugated

Antibody Source

Polyclonal Rabbit IgG

Format

BSA Free

Concentration

Concentrations vary lot to lot. See vial label for concentration. If unlisted please contact technical services.

Product Specifications

Immunogen

Recombinant protein encompassing a sequence within the center region of human SHKBP1. The exact sequence is proprietary.

Reactivity Notes

Xenopus laevis (82%).

Clonality

Polyclonal

Host

Rabbit

Isotype

IgG

Theoretical MW

76 kDa.
Disclaimer note: The observed molecular weight of the protein may vary from the listed predicted molecular weight due to post translational modifications, post translation cleavages, relative charges, and other experimental factors.

Scientific Data Images for SHKBP1 Antibody - BSA Free

Western Blot: SHKBP1 Antibody [NBP1-31451]

Western Blot: SHKBP1 Antibody [NBP1-31451]

Western Blot: SHKBP1 Antibody [NBP1-31451] - Sample(30 ug of whole cell lysate) A:A431 B:H1299 7.5% SDS PAGE, antibody diluted at 1:500.
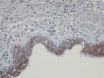
Immunohistochemistry-Paraffin: SHKBP1 Antibody [NBP1-31451]

Immunohistochemistry-Paraffin: SHKBP1 Antibody [NBP1-31451]

Immunohistochemistry-Paraffin: SHKBP1 Antibody [NBP1-31451] - Paraffin-embedded PC13 xenograft, using antibody at 1:100 dilution.

Applications for SHKBP1 Antibody - BSA Free

Application
Recommended Usage

Immunohistochemistry

1:100-1:1000

Immunohistochemistry-Paraffin

1:100-1:1000

Western Blot

1:500-1:3000

Formulation, Preparation, and Storage

Purification

Antigen Affinity-purified

Formulation

0.1M Tris, 0.1M Glycine, 10% Glycerol

Format

BSA Free

Preservative

0.01% Thimerosal

Concentration

Concentrations vary lot to lot. See vial label for concentration. If unlisted please contact technical services.

Shipping

The product is shipped with polar packs. Upon receipt, store it immediately at the temperature recommended below.

Stability & Storage

Aliquot and store at -20C or -80C. Avoid freeze-thaw cycles.

Background: SHKBP1

Alternate Names

PP203, Sb1, SH3KBP1 binding protein 1, SH3KBP1-binding protein 1

Gene Symbol

SHKBP1

Additional SHKBP1 Products

Product Documents for SHKBP1 Antibody - BSA Free

Certificate of Analysis

To download a Certificate of Analysis, please enter a lot number in the search box below.

Product Specific Notices for SHKBP1 Antibody - BSA Free

This product is for research use only and is not approved for use in humans or in clinical diagnosis. Primary Antibodies are guaranteed for 1 year from date of receipt.

Loading...
Loading...
Loading...
Loading...

⚠ WARNING: This product can expose you to chemicals including mercury, which is known to the State of California to cause reproductive toxicity with developmental effects.  For more information go to www.P65Warnings.ca.gov.