Skip to main content

SHISA9 Antibody - BSA Free

Novus Biologicals, part of Bio-Techne | Catalog # NBP1-76496

Novus Biologicals, part of Bio-Techne

Key Product Details

Species Reactivity

Human, Mouse, Rat

Applications

Immunohistochemistry, Immunohistochemistry-Paraffin, Western Blot, ELISA, Immunocytochemistry/ Immunofluorescence

Label

Unconjugated

Antibody Source

Polyclonal Rabbit IgG

Format

BSA Free

Concentration

1 mg/ml

Product Specifications

Immunogen

Antibody was raised against a 22 amino acid synthetic peptide near the center of human SHISA9. The immunogen is located within amino acids 120 - 170 of SHISA9. Amino Acid Squence: NTGKPPARKDDPLHDPTKDKT

Clonality

Polyclonal

Host

Rabbit

Isotype

IgG

Scientific Data Images for SHISA9 Antibody - BSA Free

Western Blot: SHISA9 AntibodyBSA Free [NBP1-76496]

Western Blot: SHISA9 AntibodyBSA Free [NBP1-76496]

Western Blot: SHISA9 Antibody [NBP1-76496] - Rat brain tissue lysate with SHISA9 antibody at 1 ug/mL.
SHISA9 Antibody - BSA Free

Immunocytochemistry/ Immunofluorescence: SHISA9 Antibody - BSA Free [NBP1-76496] -

Immunocytochemistry/ Immunofluorescence: SHISA9 Antibody - BSA Free [NBP1-76496] - Immunofluorescence of SHISA9 in human brain tissue with SHISA9 antibody at 20 ug/mL.
SHISA9 Antibody - BSA Free

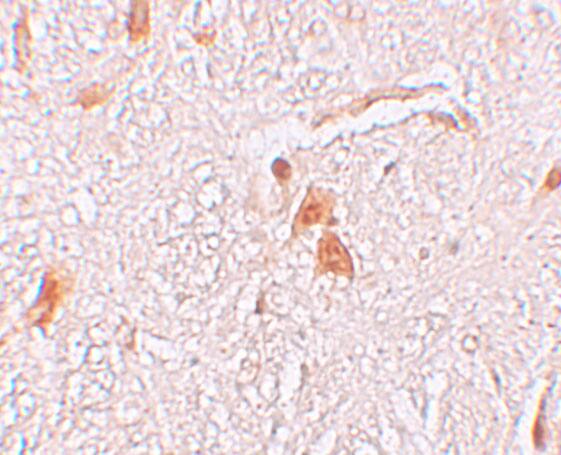
Immunohistochemistry: SHISA9 Antibody - BSA Free [NBP1-76496] -

Immunohistochemistry: SHISA9 Antibody - BSA Free [NBP1-76496] - Immunohistochemistry of SHISA9 in human brain tissue with SHISA9 antibody at 2.5 ug/mL.

Applications for SHISA9 Antibody - BSA Free

Application
Recommended Usage

ELISA

1:100-1:2000

Immunocytochemistry/ Immunofluorescence

20 ug/mL

Immunohistochemistry

2.5 ug/mL

Immunohistochemistry-Paraffin

2.5 ug/mL

Western Blot

1 ug/ml

Formulation, Preparation, and Storage

Purification

Peptide affinity purified

Formulation

PBS

Format

BSA Free

Preservative

0.02% Sodium Azide

Concentration

1 mg/ml

Shipping

The product is shipped with polar packs. Upon receipt, store it immediately at the temperature recommended below.

Stability & Storage

Store at 4C short term. Aliquot and store at -20C long term. Avoid freeze-thaw cycles.

Background: SHISA9

Shisa proteins are a recently-identified family of modulators of both FGF and Wnt signaling that block both maturation and transport to the cell surface of their respective receptors. SHISA9, also known as CKAMP44a, is a brain-specific type I transmembrane protein that associates with AMPA receptors in synaptic spines and promotes AMPA receptor desensitization at excitatory synapses. It is thought to modulate short-term plasticity at specific excitatory synapses.

Alternate Names

CKAMP44, cystine-knot AMPAR modulating protein, DKFZp686D24206, DKFZp686E24206, FLJ10015, FLJ37653, FLJ58277, FLJ99079, protein shisa-9, shisa homolog 9 (Xenopus laevis)

Gene Symbol

SHISA9

Additional SHISA9 Products

Product Documents for SHISA9 Antibody - BSA Free

Certificate of Analysis

To download a Certificate of Analysis, please enter a lot number in the search box below.

Product Specific Notices for SHISA9 Antibody - BSA Free

This product is for research use only and is not approved for use in humans or in clinical diagnosis. Primary Antibodies are guaranteed for 1 year from date of receipt.

Loading...
Loading...
Loading...
Loading...