SHCBP1 Antibody - BSA Free
Novus Biologicals, part of Bio-Techne | Catalog # NBP3-45360
Key Product Details
Species Reactivity
Human, Mouse
Applications
Immunohistochemistry, Western Blot, ELISA, Immunoprecipitation
Label
Unconjugated
Antibody Source
Polyclonal Rabbit IgG
Format
BSA Free
Concentration
Please see the vial label for concentration. If unlisted please contact technical services.
Product Specifications
Immunogen
SHC SH2-domain binding protein 1. (Uniprot# Q8NEM2)
Clonality
Polyclonal
Host
Rabbit
Isotype
IgG
Description
Novus Biologicals Rabbit SHCBP1 Antibody - BSA Free (NBP3-45360) is a polyclonal antibody validated for use in IHC, WB, ELISA and IP. All Novus Biologicals antibodies are covered by our 100% guarantee.
Scientific Data Images for SHCBP1 Antibody - BSA Free
Western Blot: SHCBP1 Antibody - BSA Free [NBP3-45360] -
Western Blot: SHCBP1 Antibody - BSA Free [NBP3-45360] - Jurkat cells were subjected to SDS PAGE followed by western blot with (SHCBP1 antibody) at dilution of 1:300Immunoprecipitation: SHCBP1 Antibody - BSA Free [NBP3-45360] -
Immunoprecipitation: SHCBP1 Antibody - BSA Free [NBP3-45360] - IP Result of anti-SHCBP1 (IP:, 4ug; Detection: 1:500) with Jurkat cells lysate 2400ug.Immunohistochemistry: SHCBP1 Antibody - BSA Free [NBP3-45360] -
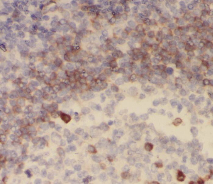
Immunohistochemistry: SHCBP1 Antibody - BSA Free [NBP3-45360] - Immunohistochemistry of paraffin-embedded human tonsillitis using (SHCBP1 antibody) at dilution of 1:50Applications for SHCBP1 Antibody - BSA Free
Application
Recommended Usage
Immunohistochemistry
1:20-1:200
Immunoprecipitation
1:200-1:1000
Western Blot
1:500-1:2000
Application Notes
Theoretical Molecular Weight is 75-85 kDa
Formulation, Preparation, and Storage
Purification
Immunogen affinity purified
Formulation
PBS, 50% Glycerol, pH (7.3)
Format
BSA Free
Preservative
0.02% Sodium Azide
Concentration
Please see the vial label for concentration. If unlisted please contact technical services.
Shipping
The product is shipped with polar packs. Upon receipt, store it immediately at the temperature recommended below.
Stability & Storage
Store at -20C. Avoid freeze-thaw cycles.
Background: SHCBP1
Alternate Names
FLJ22009, MGC26900, PAL, SHC SH2 domain-binding protein 1, SHC SH2-domain binding protein 1
Gene Symbol
SHCBP1
Additional SHCBP1 Products
Product Documents for SHCBP1 Antibody - BSA Free
Product Specific Notices for SHCBP1 Antibody - BSA Free
This product is for research use only and is not approved for use in humans or in clinical diagnosis. Primary Antibodies are guaranteed for 1 year from date of receipt.
Loading...
Loading...
Loading...
Loading...