Skip to main content

SHBG Antibody (OTI1H10)

Novus Biologicals, part of Bio-Techne | Catalog # NBP2-45825

Novus Biologicals, part of Bio-Techne

Key Product Details

Species Reactivity

Human

Applications

Immunohistochemistry, Immunohistochemistry-Paraffin, Western Blot

Label

Unconjugated

Antibody Source

Monoclonal Mouse IgG2A Clone # OTI1H10

Concentration

1 mg/ml

Product Specifications

Immunogen

Full length human recombinant protein of human SHBG(NP_001139751) produced in HEK293T cell.

Clonality

Monoclonal

Host

Mouse

Isotype

IgG2A

Theoretical MW

38.4 kDa.
Disclaimer note: The observed molecular weight of the protein may vary from the listed predicted molecular weight due to post translational modifications, post translation cleavages, relative charges, and other experimental factors.

Description

Novus Biologicals Mouse SHBG Antibody (OTI1H10) (NBP2-45825) is a monoclonal antibody validated for use in IHC and WB. All Novus Biologicals antibodies are covered by our 100% guarantee.

Scientific Data Images for SHBG Antibody (OTI1H10)

Western Blot: SHBG Antibody (OTI1H10) [NBP2-45825]

Western Blot: SHBG Antibody (OTI1H10) [NBP2-45825]

Western Blot: SHBG Antibody (1H10) [NBP2-45825] - Analysis of HEK293T cells were transfected with the pCMV6-ENTRY control (Left lane) or pCMV6-ENTRY SHBG.
Immunohistochemistry: SHBG Antibody (OTI1H10) [NBP2-45825]

Immunohistochemistry: SHBG Antibody (OTI1H10) [NBP2-45825]

Immunohistochemistry: SHBG Antibody (1H10) [NBP2-45825] - Analysis of Human lymph node tissue. (Heat-induced epitope retrieval by 10mM citric buffer, pH6.0, 120C for 3min)
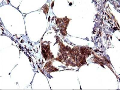
Immunohistochemistry: SHBG Antibody (OTI1H10) [NBP2-45825]

Immunohistochemistry: SHBG Antibody (OTI1H10) [NBP2-45825]

Immunohistochemistry: SHBG Antibody (1H10) [NBP2-45825] - Analysis of Adenocarcinoma of Human breast tissue. (Heat-induced epitope retrieval by 10mM citric buffer, pH6.0, 120C for 3min)

Applications for SHBG Antibody (OTI1H10)

Application
Recommended Usage

Immunohistochemistry

1:150

Western Blot

1:4000

Formulation, Preparation, and Storage

Purification

Immunogen affinity purified

Formulation

PBS (pH 7.3), 1.0% BSA and 50% Glycerol

Preservative

0.02% Sodium Azide

Concentration

1 mg/ml

Shipping

The product is shipped with polar packs. Upon receipt, store it immediately at the temperature recommended below.

Stability & Storage

Store at -20C. Avoid freeze-thaw cycles.

Background: SHBG

The gene encodes an EF hand-containing small calcium binding protein. It is an integral subunit component of Kv4/D (Shal)-type voltage-gated rapidly inactivating A-type potassium channels. Kv4 potassium channels regulate action potentials in neurons and cardiac myocytes. The coexpression of ABP with pore-forming Kv4 alpha subunits causes changes in the gating and amplitude of Kv4 currents, thus profoundly affect the intracellular trafficking and molecular properties of Kv4.2 alpha subunits. It also cause a dramatic redistribution of Kv4.2, releasing intrinsic endoplasmic reticulum retention and allowing for trafficking to the cell surface. It may regulate A-type currents, and hence neuronal excitability, in response to changes in intracellular calcium. It maps to 5q35.1 region of human chromosome. Alternative splicing results in multiple transcript variant encoding different isoforms. Isoform 1 and isoform 2 are expressed in brain and kidney.

Long Name

Sex Hormone-binding Globulin

Alternate Names

ABP

Gene Symbol

SHBG

Additional SHBG Products

Product Documents for SHBG Antibody (OTI1H10)

Certificate of Analysis

To download a Certificate of Analysis, please enter a lot number in the search box below.

Product Specific Notices for SHBG Antibody (OTI1H10)

This product is for research use only and is not approved for use in humans or in clinical diagnosis. Primary Antibodies are guaranteed for 1 year from date of receipt.

Loading...
Loading...
Loading...
Loading...