SH3YL1 Antibody - BSA Free
Novus Biologicals, part of Bio-Techne | Catalog # NBP2-20349
Key Product Details
Species Reactivity
Validated:
Human
Predicted:
Bovine (90%), Porcine (91%), Primate (99%). Backed by our 100% Guarantee.
Applications
Immunohistochemistry, Immunohistochemistry-Paraffin, Western Blot
Label
Unconjugated
Antibody Source
Polyclonal Rabbit IgG
Format
BSA Free
Concentration
Concentrations vary lot to lot. See vial label for concentration. If unlisted please contact technical services.
Product Specifications
Immunogen
Recombinant protein encompassing a sequence within the center region of human SH3YL1. The exact sequence is proprietary.
Reactivity Notes
Chimpanzee (99%), Mouse (87%), Rat (89%).
Clonality
Polyclonal
Host
Rabbit
Isotype
IgG
Theoretical MW
37 kDa.
Disclaimer note: The observed molecular weight of the protein may vary from the listed predicted molecular weight due to post translational modifications, post translation cleavages, relative charges, and other experimental factors.
Disclaimer note: The observed molecular weight of the protein may vary from the listed predicted molecular weight due to post translational modifications, post translation cleavages, relative charges, and other experimental factors.
Scientific Data Images for SH3YL1 Antibody - BSA Free
Western Blot: SH3YL1 Antibody [NBP2-20349]
Western Blot: SH3YL1 Antibody [NBP2-20349] - Sample (30 ug of whole cell lysate) A: NT2D1 B: PC-3 C: U87-MG D: SK-N-SH 10% SDS PAGE gel, diluted at 1:1000.Immunohistochemistry: SH3YL1 Antibody [NBP2-20349] -
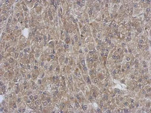
Immunohistochemical analysis of paraffin-embedded U87 xenograft, using SH3YL1(NBP2-20349) antibody at 1:500 dilution. br>Antigen Retrieval: Trilogy(TM) (EDTA based, pH 8.0) buffer, 15minApplications for SH3YL1 Antibody - BSA Free
Application
Recommended Usage
Immunohistochemistry
1:100-1:1000
Immunohistochemistry-Paraffin
1:100-1:1000
Western Blot
1:500-1:3000
Formulation, Preparation, and Storage
Purification
Antigen Affinity-purified
Formulation
0.1M Tris, 0.1M Glycine, 20% Glycerol
Format
BSA Free
Preservative
0.01% Thimerosal
Concentration
Concentrations vary lot to lot. See vial label for concentration. If unlisted please contact technical services.
Shipping
The product is shipped with polar packs. Upon receipt, store it immediately at the temperature recommended below.
Stability & Storage
Aliquot and store at -20C or -80C. Avoid freeze-thaw cycles.
Background: SH3YL1
Alternate Names
DKFZp586F1318, FLJ39121, RAY, SH3 domain containing, Ysc84-like 1 (S. cerevisiae), SH3 domain-containing YSC84-like protein 1
Gene Symbol
SH3YL1
UniProt
Additional SH3YL1 Products
Product Documents for SH3YL1 Antibody - BSA Free
Product Specific Notices for SH3YL1 Antibody - BSA Free
This product is for research use only and is not approved for use in humans or in clinical diagnosis. Primary Antibodies are guaranteed for 1 year from date of receipt.
Loading...
Loading...
Loading...
Loading...
⚠ WARNING: This product can expose you to chemicals including mercury, which is known to the State of California to cause reproductive toxicity with developmental effects. For more information go to www.P65Warnings.ca.gov.