Skip to main content

SH3D19 Antibody - BSA Free

Novus Biologicals, part of Bio-Techne | Catalog # NBP1-84203

Novus Biologicals, part of Bio-Techne
Catalog #
Availability
Size / Price
Qty
Loading...
NBP1-84203
NBP1-84203-25ul

Key Product Details

Validated by

Orthogonal Validation

Species Reactivity

Human

Applications

Immunohistochemistry, Immunohistochemistry-Paraffin

Label

Unconjugated

Antibody Source

Polyclonal Rabbit IgG

Format

BSA Free

Concentration

Concentrations vary lot to lot. See vial label for concentration. If unlisted please contact technical services.

Product Specifications

Immunogen

This antibody was developed against Recombinant Protein corresponding to amino acids: IFPANYVKVIIDIPEGGNGKRECVSSHCVKGSRCVARFEYIGEQKDELSFSEGEIIILKEYVNEEWARGEVRGRTGIFPLNFVEPVEDYPTSGANVLSTKVPLKTKKEDSGSNSQVNSLPAEWCEAL

Clonality

Polyclonal

Host

Rabbit

Isotype

IgG

Scientific Data Images for SH3D19 Antibody - BSA Free

SH3D19 Antibody - BSA Free Immunohistochemistry-Paraffin: SH3D19 Antibody - BSA Free [NBP1-84203]

Immunohistochemistry-Paraffin: SH3D19 Antibody - BSA Free [NBP1-84203]

Staining of human tonsil shows strong nuclear positivity in non-germinal center cells and cytoplasmic-nucleus positivity in squamous epithelial cells.
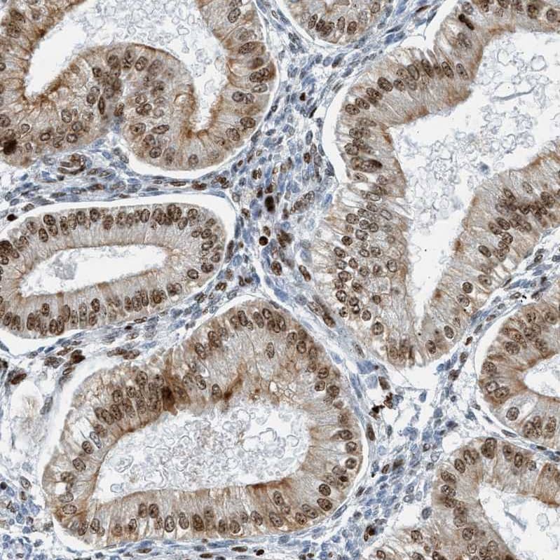
SH3D19 Antibody - BSA Free Immunohistochemistry-Paraffin: SH3D19 Antibody - BSA Free [NBP1-84203]

Immunohistochemistry-Paraffin: SH3D19 Antibody - BSA Free [NBP1-84203]

Staining of human colon shows strong cytoplasmic-nucleus positivity in glandular cells and nucleus positivity in lymphoid cells,
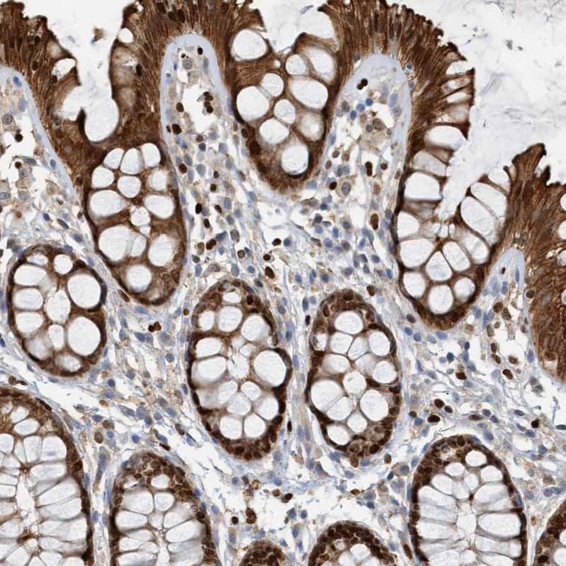
SH3D19 Antibody - BSA Free Immunohistochemistry-Paraffin: SH3D19 Antibody - BSA Free [NBP1-84203]

Immunohistochemistry-Paraffin: SH3D19 Antibody - BSA Free [NBP1-84203]

Staining of human endometrium shows moderate nuclear/cytoplasmic-nuclear/nuclear membranous positivity in glandular cells and stromal cells.

Applications for SH3D19 Antibody - BSA Free

Application
Recommended Usage

Immunohistochemistry

1:50 - 1:200

Immunohistochemistry-Paraffin

1:50 - 1:200
Application Notes
For IHC-Paraffin, HIER pH 6 retrieval is recommended.

Formulation, Preparation, and Storage

Purification

Affinity purified

Formulation

PBS (pH 7.2) and 40% Glycerol

Format

BSA Free

Preservative

0.02% Sodium Azide

Concentration

Concentrations vary lot to lot. See vial label for concentration. If unlisted please contact technical services.

Shipping

The product is shipped with polar packs. Upon receipt, store it immediately at the temperature recommended below.

Stability & Storage

Store at 4C short term. Aliquot and store at -20C long term. Avoid freeze-thaw cycles.

Background: SH3D19

SH3D19 may play a role in regulating A disintegrin and metalloproteases (ADAMs) in the signaling of EGFR-ligandshedding. May be involved in suppression of Ras-induced cellular transformation and Ras-mediated activation of ELK1

Alternate Names

ADAM binding protein Eve-1, ADAM-binding protein Eve-1, DKFZp434D0215, EBPMGC118912, EEN binding protein, EEN-binding protein, EVE1, Kryn, MGC105136, MGC118910, MGC118911, MGC118913, SH3 domain containing 19, SH3 domain protein D19, SH3 domain-containing protein 19, SH3P19

Gene Symbol

SH3D19

Additional SH3D19 Products

Product Documents for SH3D19 Antibody - BSA Free

Certificate of Analysis

To download a Certificate of Analysis, please enter a lot number in the search box below.

Product Specific Notices for SH3D19 Antibody - BSA Free

This product is for research use only and is not approved for use in humans or in clinical diagnosis. Primary Antibodies are guaranteed for 1 year from date of receipt.

Loading...
Loading...
Loading...
Loading...