Skip to main content

SH3BP1 Antibody - BSA Free

Novus Biologicals, part of Bio-Techne | Catalog # NBP1-88827

Novus Biologicals, part of Bio-Techne
Catalog #
Availability
Size / Price
Qty
Loading...
NBP1-88827
NBP1-88827-25ul

Key Product Details

Validated by

Orthogonal Validation

Species Reactivity

Human

Applications

Immunohistochemistry, Immunohistochemistry-Paraffin, Immunocytochemistry/ Immunofluorescence

Label

Unconjugated

Antibody Source

Polyclonal Rabbit IgG

Format

BSA Free

Concentration

Concentrations vary lot to lot. See vial label for concentration. If unlisted please contact technical services.

Product Specifications

Immunogen

This antibody was developed against Recombinant Protein corresponding to amino acids: ENLSNLRYLMKFLARLAEEQEVNKMTPSNIAIVLGPNLLWPPEKEGDQAQLDAASVSSIQVVGVVEALIQSADTLFPGDINFNVSGLFSAVTLQDTVSDRLASEELPSTAVPTPATTPAPAPAPAPAPAPALASAATKERTESEVPP

Clonality

Polyclonal

Host

Rabbit

Isotype

IgG

Description

Novus Biologicals Rabbit SH3BP1 Antibody - BSA Free (NBP1-88827) is a polyclonal antibody validated for use in IHC and ICC/IF. All Novus Biologicals antibodies are covered by our 100% guarantee.

Scientific Data Images for SH3BP1 Antibody - BSA Free

Immunocytochemistry/ Immunofluorescence: SH3BP1 Antibody [NBP1-88827]

Immunocytochemistry/ Immunofluorescence: SH3BP1 Antibody [NBP1-88827]

Immunocytochemistry/Immunofluorescence: SH3BP1 Antibody [NBP1-88827] - Immunofluorescent staining of human cell line A-431 shows localization to cytosol.
Immunohistochemistry-Paraffin: SH3BP1 Antibody [NBP1-88827]

Immunohistochemistry-Paraffin: SH3BP1 Antibody [NBP1-88827]

Immunohistochemistry-Paraffin: SH3BP1 Antibody [NBP1-88827] - Staining in human spleen and kidney tissues using anti-SH3BP1 antibody. Corresponding SH3BP1 RNA-seq data are presented for the same tissues.
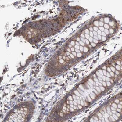
Immunohistochemistry-Paraffin: SH3BP1 Antibody [NBP1-88827]

Immunohistochemistry-Paraffin: SH3BP1 Antibody [NBP1-88827]

Immunohistochemistry-Paraffin: SH3BP1 Antibody [NBP1-88827] - Staining of human colon shows cytoplasmic positivity in glandular cells.

Applications for SH3BP1 Antibody - BSA Free

Application
Recommended Usage

Immunocytochemistry/ Immunofluorescence

0.25-2 ug/ml

Immunohistochemistry

1:20 - 1:50

Immunohistochemistry-Paraffin

1:20 - 1:50
Application Notes
For IHC-Paraffin, HIER pH 6 retrieval is recommended. Immunocytochemistry/Immunofluorescence Fixation Permeabilization: Use PFA/Triton X-100.

Formulation, Preparation, and Storage

Purification

Affinity purified

Formulation

PBS (pH 7.2) and 40% Glycerol

Format

BSA Free

Preservative

0.02% Sodium Azide

Concentration

Concentrations vary lot to lot. See vial label for concentration. If unlisted please contact technical services.

Shipping

The product is shipped with polar packs. Upon receipt, store it immediately at the temperature recommended below.

Stability & Storage

Store at 4C short term. Aliquot and store at -20C long term. Avoid freeze-thaw cycles.

Background: SH3BP1

Binds differentially to the SH3 domains of certain proteins of signal transduction pathways. This protein binds preferentially to c-Abl proto-oncogene, SRC and GRB2. Shows GAP activity for Rac-related proteins but not for Rho- or Ras-related proteins. It inhibits PDGF-induced membrane ruffling mediated by Rac (By similarity).

Alternate Names

3BP-1, ARHGAP43, SH3 domain binding protein 1, SH3 domain-binding protein 1, SH3-domain binding protein 1

Gene Symbol

SH3BP1

Additional SH3BP1 Products

Product Documents for SH3BP1 Antibody - BSA Free

Certificate of Analysis

To download a Certificate of Analysis, please enter a lot number in the search box below.

Product Specific Notices for SH3BP1 Antibody - BSA Free

This product is for research use only and is not approved for use in humans or in clinical diagnosis. Primary Antibodies are guaranteed for 1 year from date of receipt.

Loading...
Loading...
Loading...
Loading...