SGK3 Antibody
Novus Biologicals, part of Bio-Techne | Catalog # NBP3-12271
Key Product Details
Species Reactivity
Human, Mouse, Rat
Applications
ELISA, Immunocytochemistry/ Immunofluorescence, Immunohistochemistry, Immunohistochemistry-Paraffin, Immunoprecipitation, Western Blot
Label
Unconjugated
Antibody Source
Polyclonal Rabbit
Concentration
Please see the vial label for concentration. If unlisted please contact technical services.
Product Specifications
Immunogen
Synthetic peptide taken within amino acid region 440-490 on human Sgk3 protein.
Clonality
Polyclonal
Host
Rabbit
Description
Novus Biologicals Rabbit SGK3 Antibody (NBP3-12271) is a polyclonal antibody validated for use in IHC, WB, ELISA, ICC/IF and IP. All Novus Biologicals antibodies are covered by our 100% guarantee.
Scientific Data Images for SGK3 Antibody
Western Blot: SGK3 Antibody [NBP3-12271]
Western Blot: SGK3 Antibody [NBP3-12271] - Rat testis. Diluted 1:250 in DiluObuffer. Apparent MW is 58 KDa.Immunohistochemistry-Paraffin: SGK3 Antibody [NBP3-12271]
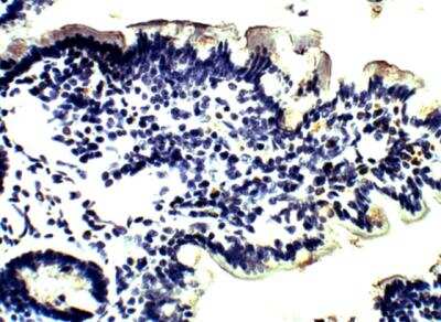
Immunohistochemistry-Paraffin: SGK3 Antibody [NBP3-12271] - Rat duodenum. 1:100 dilution in IHC blocking buffer. DAB (brown) staining and Hematoxylin QS (blue) counterstain. 40X magnification.Immunohistochemistry-Paraffin: SGK3 Antibody [NBP3-12271]
Immunohistochemistry-Paraffin: SGK3 Antibody [NBP3-12271] - Mouse Small intestine. 1:50 dilution in IHC blocking buffer. DAB (brown) staining and Hematoxylin QS (blue) counterstain. 40X magnification.Applications for SGK3 Antibody
Application
Recommended Usage
ELISA
1:10000
Immunocytochemistry/ Immunofluorescence
1:100
Immunohistochemistry
1:100
Immunohistochemistry-Paraffin
1:100
Immunoprecipitation
1:200
Western Blot
1:500
Formulation, Preparation, and Storage
Purification
Affinity purified
Formulation
Contains Tris, HCl/glycine buffer (pH 7.4-7.8), 30% glycerol, 0.5% BSA, along with cryo-protective agents, and HEPES (exact storage and stabilization buffer information is proprietary).
Preservative
0.02% Sodium Azide
Concentration
Please see the vial label for concentration. If unlisted please contact technical services.
Shipping
The product is shipped with polar packs. Upon receipt, store it immediately at the temperature recommended below.
Stability & Storage
Store at 4C short term. Store at -20C long term. Avoid freeze-thaw cycles.
Background: SGK3
Long Name
Serum/Glucocorticoid Regulated Kinase 3
Alternate Names
CISK
Gene Symbol
SGK3
Additional SGK3 Products
Product Specific Notices for SGK3 Antibody
This product is for research use only and is not approved for use in humans or in clinical diagnosis. Primary Antibodies are guaranteed for 1 year from date of receipt.
Loading...
Loading...
Loading...
Loading...