Skip to main content

SGK1 Antibody - BSA Free

Novus Biologicals, part of Bio-Techne | Catalog # NBP1-76578

Novus Biologicals, part of Bio-Techne

Key Product Details

Species Reactivity

Validated:

Human, Mouse, Rat

Cited:

Rat

Applications

Validated:

Immunohistochemistry, Immunohistochemistry-Paraffin, Western Blot, ELISA, Immunocytochemistry/ Immunofluorescence

Cited:

Western Blot

Label

Unconjugated

Antibody Source

Polyclonal Rabbit IgG

Format

BSA Free

Concentration

1 mg/ml

Product Specifications

Immunogen

Antibody was raised against an 18 amino acid synthetic peptide near the carboxy terminus of human SGK1. The immunogen is located within amino acids 370 - 420 of SGK1. Amino Acid Squence: PNDLRHFDPEFTEEPPVPN

Reactivity Notes

Immunogen displays the following percentage of sequence identity for non-tested species: Bovine (89%), Chicken (84%), Rabbit (89%)

Specificity

SGK1 antibody is predicted to not cross-react with other SGK protein family members. At least five isoforms are known to exist

Clonality

Polyclonal

Host

Rabbit

Isotype

IgG

Description

Novus Biologicals Rabbit SGK1 Antibody - BSA Free (NBP1-76578) is a polyclonal antibody validated for use in IHC, WB, ELISA and ICC/IF. Anti-SGK1 Antibody: Cited in 1 publication. All Novus Biologicals antibodies are covered by our 100% guarantee.

Scientific Data Images for SGK1 Antibody - BSA Free

Western Blot: SGK1 AntibodyBSA Free [NBP1-76578]

Western Blot: SGK1 AntibodyBSA Free [NBP1-76578]

Western Blot: SGK1 Antibody [NBP1-76578] - Western blot analysis of SGK1 in human stomach tissue lysate with SGK1 antibody at (A) 1 and (B) 2 ug/mL.
SGK1 Antibody - BSA Free

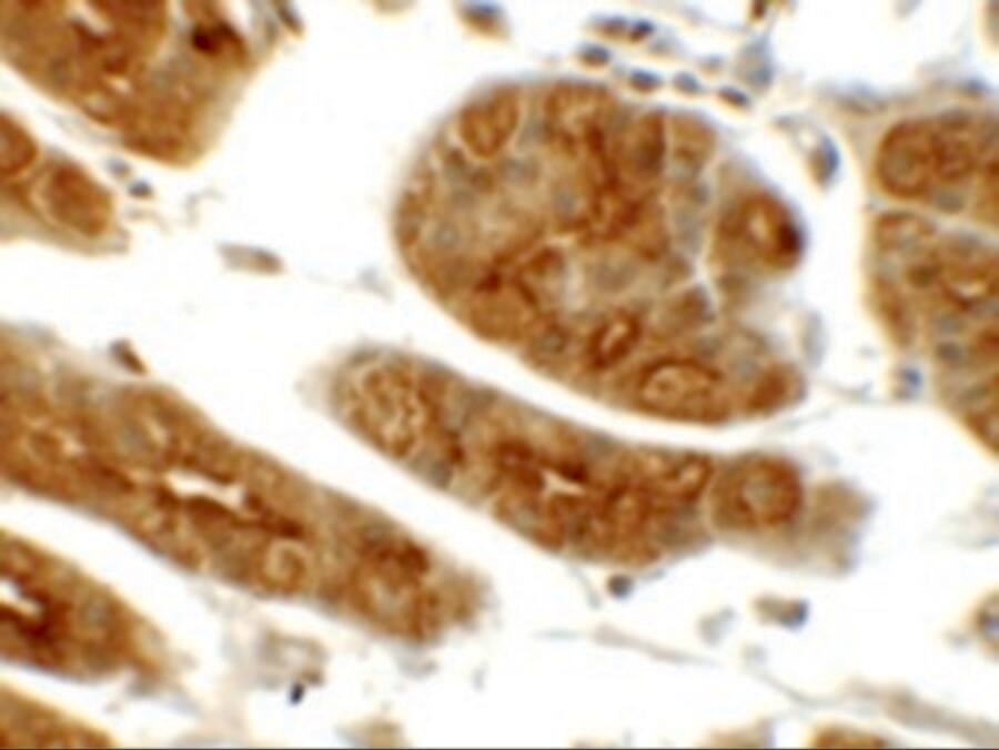
Immunohistochemistry: SGK1 Antibody - BSA Free [NBP1-76578] -

Immunohistochemistry: SGK1 Antibody - BSA Free [NBP1-76578] - Immunohistochemistry of SGK1 in human stomach tissue with SGK1 antibody at 5 ug/mL.
SGK1 Antibody - BSA Free

Immunocytochemistry/ Immunofluorescence: SGK1 Antibody - BSA Free [NBP1-76578] -

Immunocytochemistry/ Immunofluorescence: SGK1 Antibody - BSA Free [NBP1-76578] - Immunofluorescence of SGK1 in human stomach tissue with SGK1 antibody at 20 ug/mL.

Applications for SGK1 Antibody - BSA Free

Application
Recommended Usage

ELISA

1:100-1:2000

Immunocytochemistry/ Immunofluorescence

20 ug/ml

Immunohistochemistry

5 ug/ml

Immunohistochemistry-Paraffin

1:10-1:500

Western Blot

1-2 ug/ml

Formulation, Preparation, and Storage

Purification

Peptide affinity purified

Formulation

PBS

Format

BSA Free

Preservative

0.02% Sodium Azide

Concentration

1 mg/ml

Shipping

The product is shipped with polar packs. Upon receipt, store it immediately at the temperature recommended below.

Stability & Storage

Store at 4C short term. Aliquot and store at -20C long term. Avoid freeze-thaw cycles.

Background: SGK1

Serum and glucocorticoid-regulated protein kinase 1 (SGK1) is a member of the AGC family of serine/threonine kinases that plays an important role in cellular stress response and cell survival. SGK1 is transcriptionally activated by numerous stimuli, including serum, glucocorticoids, osmotic stress, and hormones. SGK1 functions as a regulator of cell survival and ion channels and transporters such as ENaC or KCNA3/Kv1.3. It phosphorylates and negatively regulates pro-apoptotic FOXO3A. SGK1 is thought to play an essential function in nephropathy and cardiovascular development.

Long Name

Serum/Glucocorticoid Regulated Kinase 1

Alternate Names

SGK

Gene Symbol

SGK1

UniProt

Additional SGK1 Products

Product Documents for SGK1 Antibody - BSA Free

Certificate of Analysis

To download a Certificate of Analysis, please enter a lot number in the search box below.

Product Specific Notices for SGK1 Antibody - BSA Free

This product is for research use only and is not approved for use in humans or in clinical diagnosis. Primary Antibodies are guaranteed for 1 year from date of receipt.

Loading...
Loading...
Loading...
Loading...