Skip to main content

SGK1 Antibody (SC05-71)

Novus Biologicals, part of Bio-Techne | Catalog # NBP2-67561

Recombinant Monoclonal Antibody.
Novus Biologicals, part of Bio-Techne
Catalog #
Availability
Size / Price
Qty
Loading...
NBP2-67561

Key Product Details

Species Reactivity

Human, Mouse, Rat

Applications

Flow Cytometry, Immunohistochemistry-Paraffin, Immunoprecipitation, Western Blot

Label

Unconjugated

Antibody Source

Recombinant Monoclonal Rabbit IgG Clone # SC05-71 expressed in HEK293

Concentration

1 mg/ml

Product Specifications

Immunogen

Synthetic peptide within human SGK1 aa 40-80. (SwissProt: O00141 Human; SwissProt: Q9WVC6 Mouse; SwissProt: Q06226 Rat)

Localization

Cytoplasm, Nucleus, Cell membrane, Mitochondrion.

Clonality

Monoclonal

Host

Rabbit

Isotype

IgG

Description

Novus Biologicals Rabbit SGK1 Antibody (SC05-71) (NBP2-67561) is a recombinant monoclonal antibody validated for use in IHC, WB, Flow and IP. All Novus Biologicals antibodies are covered by our 100% guarantee.

Scientific Data Images for SGK1 Antibody (SC05-71)

Western Blot: SGK1 Antibody (SC05-71) [NBP2-67561]

Western Blot: SGK1 Antibody (SC05-71) [NBP2-67561]

Western Blot: SGK1 Antibody (SC05-71) [NBP2-67561] - Western blot analysis of SGK1 on human kidney tissue lysates. Proteins were transferred to a PVDF membrane and blocked with 5% BSA in PBS for 1 hour at room temperature. The primary antibody (1/500) was used in 5% BSA at room temperature for 2 hours. Goat
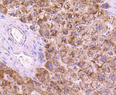
Immunohistochemistry-Paraffin: SGK1 Antibody (SC05-71) [NBP2-67561]

Immunohistochemistry-Paraffin: SGK1 Antibody (SC05-71) [NBP2-67561]

Immunohistochemistry-Paraffin: SGK1 Antibody (SC05-71) [NBP2-67561] - Analysis of paraffin-embedded mouse liver tissue using anti-SGK1 antibody. Counter stained with hematoxylin.
Flow Cytometry: SGK1 Antibody (SC05-71) [NBP2-67561]

Flow Cytometry: SGK1 Antibody (SC05-71) [NBP2-67561]

Flow Cytometry: SGK1 Antibody (SC05-71) [NBP2-67561] - Flow cytometric analysis of SGK1 was done on 293 cells. The cells were fixed, permeabilized and stained with the primary antibody (1/50) (red). After incubation of the primary antibody at room temperature for an hour, the cells were stained with a Alexa Fluor 488-conjugated Goat anti-Rabbit IgG Secondary antibody at 1/1000 dilution for 30 minutes. Unlabeled sample was used as a control (cells without incubation with primary antibody; black).

Applications for SGK1 Antibody (SC05-71)

Application
Recommended Usage

Flow Cytometry

1:50-1:100

Immunohistochemistry-Paraffin

1:50-1:200

Western Blot

1:1000

Formulation, Preparation, and Storage

Purification

Protein A purified

Formulation

TBS (pH7.4), 0.05% BSA, 40% Glycerol

Preservative

0.05% Sodium Azide

Concentration

1 mg/ml

Shipping

The product is shipped with polar packs. Upon receipt, store it immediately at the temperature recommended below.

Stability & Storage

Store at 4C short term. Aliquot and store at -20C long term. Avoid freeze-thaw cycles.

Background: SGK1

SGK1 encodes a serine/threonine protein kinase that is highly similar to the rat serum-and glucocorticoid-induced protein kinase (SGK). This gene was identified in a screen of hepatocellular genes regulated in response to cellular hydration or swelling. Cellular hydration is a catabolic signal, stimulating glycogenolysis and proteolysis, and inhibiting protein and glycogen synthesis. This kinase has been shown to be important in activating certain potassium, sodium, and chloride channels. Expression of this gene in hepatocytes is stimulated by transforming growth factor-beta (TGF-beta) which participates in the pathophysiology of diabetic complications. Since both TGF-beta expression and SGK expression are elevated in diabetic nephropathy, this suggests an involvement of SGK in the development of this condition.

Long Name

Serum/Glucocorticoid Regulated Kinase 1

Alternate Names

SGK

Gene Symbol

SGK1

Additional SGK1 Products

Product Documents for SGK1 Antibody (SC05-71)

Certificate of Analysis

To download a Certificate of Analysis, please enter a lot number in the search box below.

Product Specific Notices for SGK1 Antibody (SC05-71)

This product is for research use only and is not approved for use in humans or in clinical diagnosis. Primary Antibodies are guaranteed for 1 year from date of receipt.

Loading...
Loading...
Loading...
Loading...
Loading...