Skip to main content

SFRS14 Antibody - BSA Free

Novus Biologicals, part of Bio-Techne | Catalog # NBP1-87868

Novus Biologicals, part of Bio-Techne
Catalog #
Availability
Size / Price
Qty
Loading...
NBP1-87868
NBP1-87868-25ul

Key Product Details

Validated by

Orthogonal Validation, Independent Antibodies

Species Reactivity

Human

Applications

Immunohistochemistry, Immunohistochemistry-Paraffin, Western Blot, Immunocytochemistry/ Immunofluorescence

Label

Unconjugated

Antibody Source

Polyclonal Rabbit IgG

Format

BSA Free

Concentration

Concentrations vary lot to lot. See vial label for concentration. If unlisted please contact technical services.

Product Specifications

Immunogen

This antibody was developed against Recombinant Protein corresponding to amino acids: DQLVKRVIEGSLSPKERTLLKEDPAYWFLSDENSLEYKYYKLKLAEMQRMSENLRGADQKPTSADCAVRAMLYSRAVRNLKKKLL

Clonality

Polyclonal

Host

Rabbit

Isotype

IgG

Description

Novus Biologicals Rabbit SFRS14 Antibody - BSA Free (NBP1-87868) is a polyclonal antibody validated for use in IHC, WB and ICC/IF. All Novus Biologicals antibodies are covered by our 100% guarantee.

Scientific Data Images for SFRS14 Antibody - BSA Free

SFRS14 Antibody - BSA Free Immunocytochemistry/ Immunofluorescence: SFRS14 Antibody - BSA Free [NBP1-87868]

Immunocytochemistry/ Immunofluorescence: SFRS14 Antibody - BSA Free [NBP1-87868]

Staining of human cell line A-431 shows localization to nucleoplasm & nuclear bodies.
Western Blot: SFRS14 Antibody [NBP1-87868]

Western Blot: SFRS14 Antibody [NBP1-87868]

Western Blot: SFRS14 Antibody [NBP1-87868] - Lane 1: Marker [kDa] 250, 130, 95, 72, 55, 36, 28, 17, 10. Lane 2: Human cell line RT-4. Lane 3: Human cell line U-251MG sp
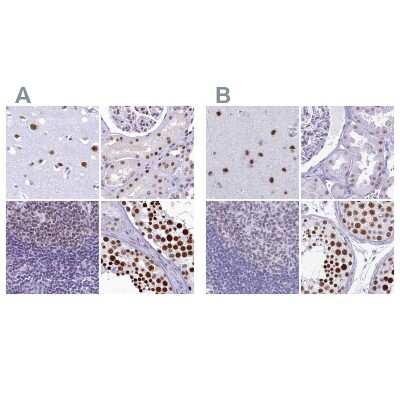
Immunohistochemistry-Paraffin: SFRS14 Antibody [NBP1-87868]

Immunohistochemistry-Paraffin: SFRS14 Antibody [NBP1-87868]

Immunohistochemistry-Paraffin: SFRS14 Antibody [NBP1-87868] - Staining in human testis and pancreas tissues using anti-SUGP2 antibody. Corresponding SUGP2 RNA-seq data are presented for the same tissues.

Applications for SFRS14 Antibody - BSA Free

Application
Recommended Usage

Immunocytochemistry/ Immunofluorescence

0.25-2 ug/ml

Immunohistochemistry

1:50 - 1:200

Immunohistochemistry-Paraffin

1:50 - 1:200

Western Blot

0.04-0.4 ug/ml
Application Notes
For IHC-Paraffin, HIER pH 6 retrieval is recommended. Immunocytochemistry/Immunofluorescence Fixation Permeabilization: Use PFA/Triton X-100.

Formulation, Preparation, and Storage

Purification

Affinity purified

Formulation

PBS (pH 7.2) and 40% Glycerol

Format

BSA Free

Preservative

0.02% Sodium Azide

Concentration

Concentrations vary lot to lot. See vial label for concentration. If unlisted please contact technical services.

Shipping

The product is shipped with polar packs. Upon receipt, store it immediately at the temperature recommended below.

Stability & Storage

Store at 4C short term. Aliquot and store at -20C long term. Avoid freeze-thaw cycles.

Background: SFRS14

SFRS14 (splicing factor arginine/serine-rich 14) is a putative alternative splicing factor. It contains two SURP motif repeats which are found among proteins involved in regulated mRNA splicing and a G-patch domain which features six highly conserved glycine residues found in several RNA-associated proteins. SFRS14 also bears an N-terminal arginine/serine-rich region found among the SR-related family of pre-mRNA processing factors. SFRS14 is also known as KIAA0365.

Alternate Names

Arginine/serine-rich-splicing factor 14, DKFZp686M2322, DKFZp779L2418, KIAA0365arginine/serine-rich 14 splicing factor, putative splicing factor, arginine/serine-rich 14, SFRS14, Splicing factor, arginine/serine-rich 14FLJ21855, SRFS14, SURP and G patch domain containing 2, SURP and G-patch domain-containing protein 2

Gene Symbol

SUGP2

Additional SFRS14 Products

Product Documents for SFRS14 Antibody - BSA Free

Certificate of Analysis

To download a Certificate of Analysis, please enter a lot number in the search box below.

Product Specific Notices for SFRS14 Antibody - BSA Free

This product is for research use only and is not approved for use in humans or in clinical diagnosis. Primary Antibodies are guaranteed for 1 year from date of receipt.

Loading...
Loading...
Loading...
Loading...