Skip to main content

SFRS14 Antibody

Novus Biologicals, part of Bio-Techne | Catalog # NB100-79849

Novus Biologicals, part of Bio-Techne
Catalog #
Availability
Size / Price
Qty
Loading...
NB100-79849

Key Product Details

Validated by

Independent Antibodies, Biological Validation

Species Reactivity

Human

Applications

Immunocytochemistry/ Immunofluorescence, Immunohistochemistry, Immunohistochemistry-Paraffin, Immunoprecipitation, Western Blot

Label

Unconjugated

Antibody Source

Polyclonal Rabbit IgG

Concentration

0.2 mg/ml

Product Specifications

Immunogen

The immunogen recognized by this antibody maps to a region between residue 725 and 775 of human splicing factor, arginine/serine-rich 14 using the numbering given in entry NP_055699.1 (GeneID 10147).

Clonality

Polyclonal

Host

Rabbit

Isotype

IgG

Description

Novus Biologicals Rabbit SFRS14 Antibody (NB100-79849) is a polyclonal antibody validated for use in IHC, WB, ICC/IF and IP. All Novus Biologicals antibodies are covered by our 100% guarantee.

Scientific Data Images for SFRS14 Antibody

Western Blot: SFRS14 Antibody [NB100-79849]

Western Blot: SFRS14 Antibody [NB100-79849]

Western Blot: SFRS14 Antibody [NB100-79849] - Detection of Human SFRS14 on HeLa whole cell lysate using NB100-79849. SFRS14 was also immunoprecipitated by rabbit anti-SFRS14 antibody NB100-79850.
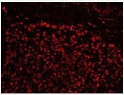
Immunocytochemistry/ Immunofluorescence: SFRS14 Antibody [NB100-79849]

Immunocytochemistry/ Immunofluorescence: SFRS14 Antibody [NB100-79849]

Immunocytochemistry/Immunofluorescence: SFRS14 Antibody [NB100-79849] - FFPE section of human prostate carcinoma. Affinity purified rabbit anti-SFRS14 used at a dilution of 1:100. Detection: Red-fluorescent goat anti-rabbit IgG highly cross-adsorbed Antibody Hilyte PlusTM 555 used at a dilution of 1:100.
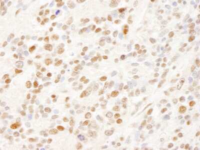
Immunohistochemistry: SFRS14 Antibody [NB100-79849]

Immunohistochemistry: SFRS14 Antibody [NB100-79849]

Immunohistochemistry: SFRS14 Antibody [NB100-79849] - Sample: FFPE section of human Ewing sarcoma. Antibody: Affinity purified rabbit anti- SFRS14 used at a dilution of 1:200 (1ug/ml). Detection: DAB

Applications for SFRS14 Antibody

Application
Recommended Usage

Immunocytochemistry/ Immunofluorescence

1:250- 1:1000

Immunohistochemistry

1:10-1:500

Immunohistochemistry-Paraffin

1:100-1:500

Immunoprecipitation

2-5 mcg/mg lysate

Western Blot

1:2000-1:10000

Formulation, Preparation, and Storage

Purification

Immunogen affinity purified

Formulation

TBS and 0.1% BSA

Preservative

0.09% Sodium Azide

Concentration

0.2 mg/ml

Shipping

The product is shipped with polar packs. Upon receipt, store it immediately at the temperature recommended below.

Stability & Storage

Store at 4C. Do not freeze.

Background: SFRS14

SFRS14 (splicing factor arginine/serine-rich 14) is a putative alternative splicing factor. It contains two SURP motif repeats which are found among proteins involved in regulated mRNA splicing and a G-patch domain which features six highly conserved glycine residues found in several RNA-associated proteins. SFRS14 also bears an N-terminal arginine/serine-rich region found among the SR-related family of pre-mRNA processing factors.

Alternate Names

Arginine/serine-rich-splicing factor 14, DKFZp686M2322, DKFZp779L2418, KIAA0365arginine/serine-rich 14 splicing factor, putative splicing factor, arginine/serine-rich 14, SFRS14, Splicing factor, arginine/serine-rich 14FLJ21855, SRFS14, SURP and G patch domain containing 2, SURP and G-patch domain-containing protein 2

Entrez Gene IDs

10147 (Human)

Gene Symbol

SUGP2

Additional SFRS14 Products

Product Documents for SFRS14 Antibody

Certificate of Analysis

To download a Certificate of Analysis, please enter a lot number in the search box below.

Product Specific Notices for SFRS14 Antibody

This product is for research use only and is not approved for use in humans or in clinical diagnosis. Primary Antibodies are guaranteed for 1 year from date of receipt.

Loading...
Loading...
Loading...
Loading...