Skip to main content

SFPQ Antibody - BSA Free

Novus Biologicals, part of Bio-Techne | Catalog # NBP2-20329

Novus Biologicals, part of Bio-Techne
Catalog #
Availability
Size / Price
Qty
Loading...
NBP2-20329

Key Product Details

Species Reactivity

Validated:

Human, Mouse

Predicted:

Bovine (100%), Chimpanzee (100%), Rat (100%). Backed by our 100% Guarantee.

Applications

Immunohistochemistry, Immunohistochemistry-Paraffin, Western Blot, Immunocytochemistry/ Immunofluorescence, Immunoprecipitation

Label

Unconjugated

Antibody Source

Polyclonal Rabbit IgG

Format

BSA Free

Concentration

Concentrations vary lot to lot. See vial label for concentration. If unlisted please contact technical services.

Product Specifications

Immunogen

Recombinant protein encompassing a sequence within the center region of human SFPQ. The exact sequence is proprietary.

Reactivity Notes

Zebrafish (85%).

Localization

Nucleus matrix

Clonality

Polyclonal

Host

Rabbit

Isotype

IgG

Theoretical MW

76 kDa.
Disclaimer note: The observed molecular weight of the protein may vary from the listed predicted molecular weight due to post translational modifications, post translation cleavages, relative charges, and other experimental factors.

Description

Novus Biologicals Rabbit SFPQ Antibody - BSA Free (NBP2-20329) is a polyclonal antibody validated for use in IHC, WB, ICC/IF and IP. All Novus Biologicals antibodies are covered by our 100% guarantee.

Scientific Data Images for SFPQ Antibody - BSA Free

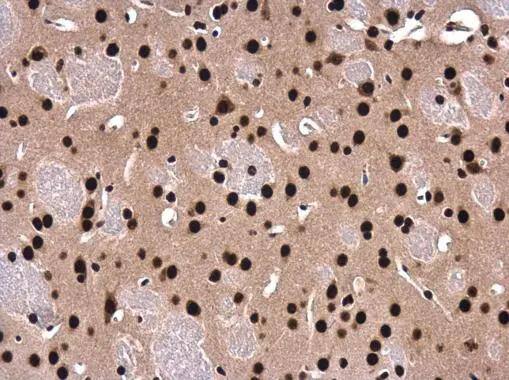
Immunohistochemistry-Paraffin: SFPQ Antibody [NBP2-20329]

Immunohistochemistry-Paraffin: SFPQ Antibody [NBP2-20329]

Immunohistochemistry-Paraffin: SFPQ Antibody [NBP2-20329] - Immunohistochemical analysis of paraffin-embedded Hela xenograft, using antibody at 1:500 dilution.
Immunohistochemistry-Paraffin: SFPQ Antibody [NBP2-20329]

Immunohistochemistry-Paraffin: SFPQ Antibody [NBP2-20329]

Immunohistochemistry-Paraffin: SFPQ Antibody [NBP2-20329] - Immunohistochemical analysis of paraffin-embedded mouse uterus, using antibody at 1:500 dilution.
SFPQ Antibody

Western Blot: SFPQ Antibody [NBP2-20329] -

Western Blot: SFPQ Antibody [NBP2-20329] - Various whole cell extracts (30 ug) were separated by 7.5% SDS-PAGE, and the membrane was blotted with SFPQ antibody [N2C1], Internal (NBP2-20329) diluted at 1:10000. The HRP-conjugated anti-rabbit IgG antibody was used to detect the primary antibody.

Applications for SFPQ Antibody - BSA Free

Application
Recommended Usage

Immunocytochemistry/ Immunofluorescence

1:100-1:1000

Immunohistochemistry

1:100-1:1000

Immunohistochemistry-Paraffin

1:100-1:1000

Immunoprecipitation

1:100-1:500

Western Blot

1:5000-1:20000

Reviewed Applications

Read 1 review rated 5 using NBP2-20329 in the following applications:

Formulation, Preparation, and Storage

Purification

Antigen Affinity-purified

Formulation

PBS, 20% Glycerol

Format

BSA Free

Preservative

0.025% Proclin 300

Concentration

Concentrations vary lot to lot. See vial label for concentration. If unlisted please contact technical services.

Shipping

The product is shipped with polar packs. Upon receipt, store it immediately at the temperature recommended below.

Stability & Storage

Aliquot and store at -20C or -80C. Avoid freeze-thaw cycles.

Background: SFPQ

PSF/SFPQ is a multifunctional protein know to participate in a variety of nuclear processes and may function to link transcription and pre-mRNA processing. PSF/SFPQ bears an RNA recognition motif (RRM) further indicating its role in post-transcriptional processes. PSF has been shown to associate with p54nrb/NonO to modulate androgen receptor-mediated transcription. Additionally, it has recently been show to associate with XRN2 and p54nrb/NonO to facilitate pre-mRNA 3' processing and transcription termination. Alternate names for PSF/SFPQ include polypyrimidine tract-binding protein-associated-splicing factor, PTB-associated-splicing factor, splicing factor proline-and glutamine-rich, and POMP100.

Alternate Names

100 kDa DNA-pairing protein, DNA-binding p52/p100 complex, 100 kDa subunit, hPOMp100, polypyrimidine tract binding protein associated, polypyrimidine tract-binding protein-associated splicing factor, Polypyrimidine tract-binding protein-associated-splicing factor, PSFPOMP100, PTB-associated splicing factor, PTB-associated-splicing factor, splicing factor proline/glutamine rich (polypyrimidine tract binding proteinassociated), splicing factor proline/glutamine rich (polypyrimidine tract-bindingprotein-associated), splicing factor proline/glutamine-rich, splicing factor, proline- and glutamine-rich

Gene Symbol

SFPQ

UniProt

Additional SFPQ Products

Product Documents for SFPQ Antibody - BSA Free

Certificate of Analysis

To download a Certificate of Analysis, please enter a lot number in the search box below.

Product Specific Notices for SFPQ Antibody - BSA Free

This product is for research use only and is not approved for use in humans or in clinical diagnosis. Primary Antibodies are guaranteed for 1 year from date of receipt.

Loading...
Loading...
Loading...
Loading...