Skip to main content

SFPQ Antibody

Novus Biologicals, part of Bio-Techne | Catalog # NB100-61045

Novus Biologicals, part of Bio-Techne
Catalog #
Availability
Size / Price
Qty
Loading...
NB100-61045

Key Product Details

Validated by

Independent Antibodies, Biological Validation

Species Reactivity

Validated:

Human, Mouse

Cited:

Human

Applications

Validated:

Immunohistochemistry, Immunohistochemistry-Paraffin, Western Blot, Immunocytochemistry/ Immunofluorescence, Immunoprecipitation

Cited:

Western Blot, Immunocytochemistry/ Immunofluorescence, Immunoprecipitation

Label

Unconjugated

Antibody Source

Polyclonal Rabbit IgG

Concentration

0.2 mg/ml

Product Specifications

Immunogen

The immunogen recognized by this antibody maps to a region between residue 657 and 707 of human Polypyrimidine tract-binding protein-associated-splicing factor (Splicing factor, proline- and glutamine-rich) using the numbering given in entry NP_005057.1 (GeneID 6421).

Clonality

Polyclonal

Host

Rabbit

Isotype

IgG

Scientific Data Images for SFPQ Antibody

Western Blot: SFPQ Antibody [NB100-61045]

Western Blot: SFPQ Antibody [NB100-61045]

Western Blot: SFPQ Antibody [NB100-61045] - Detection of Human and Mouse SFPQ on HeLa whole cell lysate using NB100-61045. SFPQ was also immunoprecipitated by rabbit anti-SFPQ antibodies NB100-61043 and NB100-61044.
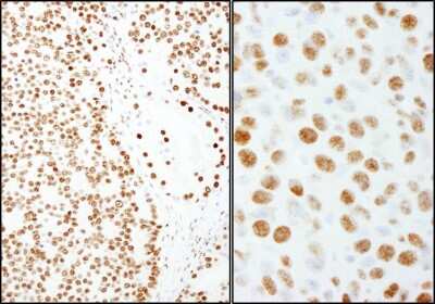
Immunohistochemistry-Paraffin: SFPQ Antibody [NB100-61045]

Immunohistochemistry-Paraffin: SFPQ Antibody [NB100-61045]

Immunohistochemistry-Paraffin: SFPQ Antibody [NB100-61045] - Sample: FFPE section of human prostate carcinoma (left) and mouse CT26 colon carcinoma (right). Antibody: Affinity purified rabbit anti- PSF/SFPQ used at a dilution of 1:500 (0.4 ug/ml). Detection: DAB

Applications for SFPQ Antibody

Application
Recommended Usage

Immunohistochemistry

1:500 - 1:2000

Immunohistochemistry-Paraffin

1:500 - 1:2000

Immunoprecipitation

2-5 ug/mg lysate

Western Blot

1:2000-1:10000
Application Notes
Immunohistochemistry 1:500 - 1:2,000. Epitope retrieval with citrate buffer pH 6.0 is recommended for FFPE tissue sections. ICC/IF reactivity reported in (PMID: 23644382).

Formulation, Preparation, and Storage

Purification

Immunogen affinity purified

Formulation

TBS and 0.1% BSA

Preservative

0.09% Sodium Azide

Concentration

0.2 mg/ml

Shipping

The product is shipped with polar packs. Upon receipt, store it immediately at the temperature recommended below.

Stability & Storage

Store at 4C. Do not freeze.

Background: SFPQ

PSF/SFPQ is a multifunctional protein know to participate in a variety of nuclear processes and may function to link transcription and pre-mRNA processing. PSF/SFPQ bears an RNA recognition motif (RRM) further indicating its role in post-transcriptional processes. PSF has been shown to associate with p54nrb/NonO to modulate androgen receptor-mediated transcription. Additionally, it has recently been show to associate with XRN2 and p54nrb/NonO to facilitate pre-mRNA 3' processing and transcription termination.

Alternate Names

100 kDa DNA-pairing protein, DNA-binding p52/p100 complex, 100 kDa subunit, hPOMp100, polypyrimidine tract binding protein associated, polypyrimidine tract-binding protein-associated splicing factor, Polypyrimidine tract-binding protein-associated-splicing factor, PSFPOMP100, PTB-associated splicing factor, PTB-associated-splicing factor, splicing factor proline/glutamine rich (polypyrimidine tract binding proteinassociated), splicing factor proline/glutamine rich (polypyrimidine tract-bindingprotein-associated), splicing factor proline/glutamine-rich, splicing factor, proline- and glutamine-rich

Entrez Gene IDs

6421 (Human); 71514 (Mouse)

Gene Symbol

SFPQ

UniProt

Additional SFPQ Products

Product Documents for SFPQ Antibody

Certificate of Analysis

To download a Certificate of Analysis, please enter a lot number in the search box below.

Product Specific Notices for SFPQ Antibody

This product is for research use only and is not approved for use in humans or in clinical diagnosis. Primary Antibodies are guaranteed for 1 year from date of receipt.

Loading...
Loading...
Loading...
Loading...